Cell Signaling Technology Logo - Extra Large
Recombinant Flag
Recombinant: Superior lot-to-lot consistency, continuous supply, and animal-free manufacturing.

PGRMC1 (D6M5M) Rabbit Monoclonal Antibody (BSA and Azide Free) #39776

Filter:
  • WB
  • IHC
  • IF

    Product Specifications

    REACTIVITY H M R Mk
    SENSITIVITY Endogenous
    MW (kDa) 25
    Source/Isotype Rabbit IgG
    Application Key:
    • WB-Western Blotting 
    • IHC-Immunohistochemistry 
    • IF-Immunofluorescence 
    Species Cross-Reactivity Key:
    • H-Human 
    • M-Mouse 
    • R-Rat 
    • Mk-Monkey 

    Product Information

    Product Usage Information

    This product is the carrier free version of product #13856. All data were generated using the same antibody clone in the standard formulation which contains BSA and glycerol.

    This formulation is ideal for use with technologies requiring specialized or custom antibody labeling, including fluorophores, metals, lanthanides, and oligonucleotides. It is not recommended for ChIP, ChIP-seq, CUT&RUN or CUT&Tag assays. If you require a carrier free formulation for chromatin profiling, please contact us. Optimal dilutions/concentrations should be determined by the end user.

    BSA and Azide Free antibodies are quality control tested by size exclusion chromatography (SEC) to determine antibody integrity.

    Formulation

    Supplied in 1X PBS (10 mM Na2HPO4, 3 mM KCl, 2 mM KH2PO4, and 140 mM NaCl (pH 7.8)). BSA and Azide Free.

    For standard formulation of this product see product #13856

    Storage

    Store at -20°C. This product will freeze at -20°C so it is recommended to aliquot into single-use vials to avoid multiple freeze/thaw cycles. A slight precipitate may be present and can be dissolved by gently vortexing. This will not interfere with antibody performance.

    Specificity / Sensitivity

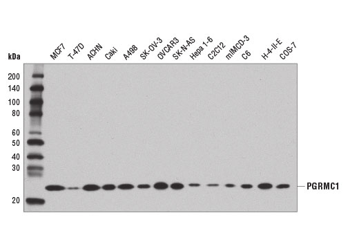
    PGRMC1 (D6M5M) Rabbit Monoclonal Antibody (BSA and Azide Free) recognizes endogenous levels of total PGRMC1 protein. This antibody does not cross-react with PGRMC2 protein.

    Species Reactivity:

    Human, Mouse, Rat, Monkey

    Source / Purification

    Monoclonal antibody is produced by immunizing animals with a synthetic peptide corresponding to residues near the amino terminus of human PGRMC1 protein.

    Background

    The progesterone receptor membrane component 1 (PGRMC1, Hpr6.6) was originally identified as a component of a progesterone-binding protein complex that also contains plasminogen activator inhibitor 1 RNA binding protein (PAIRBP1, SERBP1) (1,2). The structure of PGRMC1 protein includes a single transmembrane region and a carboxy-terminal cytochrome b5 heme-binding domain (3,4). Research studies confirm that PGRMC1 binds heme as well as binding and regulating cytochrome P450 enzymes responsible for the metabolism of clinical drugs and endogenous signaling molecules (5-7). While early research studies were equivocal on the ability of PGRMC1 to bind progesterone, studies using PGRMC1-fusion proteins clearly demonstrate that PGRMC1 binds progesterone with high affinity (2,8). Studies detailing expression of PGRMC1 in granulosa cells suggest that PGRMC1 mediates the anti-apoptotic actions of progesterone and that this protein is part of a signal transduction pathway that regulates granulosa cell function (9).

    Alternate Names

    Dap1; HPR6.6; IZA; Membrane-associated progesterone receptor component 1; mPR; PGRC1; PGRMC; PGRMC1; progesterone binding protein; progesterone receptor membrane component 1

    For Research Use Only. Not for Use in Diagnostic Procedures.
    Cell Signaling Technology is a trademark of Cell Signaling Technology, Inc.
    SignalStain is a registered trademark of Cell Signaling Technology, Inc.
    All other trademarks are the property of their respective owners. Visit our Trademark Information page.