Cell Signaling Technology Logo - Extra Large
Trial Size Available Flag
Recombinant Flag
Recombinant: Superior lot-to-lot consistency, continuous supply, and animal-free manufacturing.

PHF8 (E9R4F) Rabbit Monoclonal Antibody #37377

Filter:
  • WB
  • IP
  • F
  • ChIP

    Product Specifications

    REACTIVITY H Mk
    SENSITIVITY Endogenous
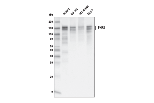
    MW (kDa) 135, 140
    Source/Isotype Rabbit IgG
    Application Key:
    • WB-Western Blotting 
    • IP-Immunoprecipitation 
    • F-Flow Cytometry 
    • ChIP-Chromatin Immunoprecipitation 
    Species Cross-Reactivity Key:
    • H-Human 
    • Mk-Monkey 

    Product Information

    Product Usage Information

    For optimal ChIP results, use 10 μl of antibody and 10 μg of chromatin (approximately 4 × 10^6 cells) per IP. This antibody has been validated using SimpleChIP® Enzymatic Chromatin IP Kits.
    Application Dilution
    Western Blotting 1:1000
    Immunoprecipitation 1:50
    Flow Cytometry (Fixed/Permeabilized) 1:100
    Chromatin IP 1:50

    Storage

    Supplied in 10 mM sodium HEPES (pH 7.5), 150 mM NaCl, 100 µg/ml BSA, 50% glycerol and less than 0.02% sodium azide. Store at –20°C. Do not aliquot the antibody.

    Protocol

    Specificity / Sensitivity

    PHF8 (E9R4F) Rabbit Monoclonal Antibody recognizes endogenous levels of total PHF8 protein.

    Species Reactivity:

    Human, Monkey

    Source / Purification

    Monoclonal antibody is produced by immunizing animals with recombinant protein containing Phe579 of human PHF8 protein.

    Background

    PHD finger protein 8 (PHF8) is a histone lysine demethylase that functions as a transcriptional activator by specifically demethylating a number of repressive histone methylation marks: mono- and di-methyl-histone H3 Lys9 (H3K9me1 and H3K9me2), di-methyl-histone H3 Lys27 (H3K27me2) and mono-methyl-histone H4 Lys20 (H4K20me1). PHF8 contains an N-terminal zinc finger-like PHD domain that binds tri-methylated histone H3 Lys4 (H3K4Me3) and a C-terminal jumonji domain that is responsible for the demethylase activity (1). Deletion and point mutations (F279S) in the jumonji domain of PHF8 are associated with the onset of X-linked mental retardation (XLMR). In addition, PHF8 is highly expressed in prostate cancer, laryngeal squamous cell carcinoma, and human non-small-cell lung cancer (NSCLC). Its expression is predictive of poor survival (2-4). Overexpression of PHF8 increases cell proliferation and cell motility, while silencing of PHF8 reduces cell proliferation, migration, and invasion (4).

    Alternate Names

    [histone H3]-dimethyl-L-lysine(36) demethylase PHF8; [histone H3]-dimethyl-L-lysine(9) demethylase PHF8; DKFZp686E0868; Histone lysine demethylase PHF8; JHDM1F; jumonji C domain-containing histone demethylase 1F; KDM7B; KIAA1111; MRXSSD; PHD finger protein 8; PHF8; ZNF422

    For Research Use Only. Not for Use in Diagnostic Procedures.
    Cell Signaling Technology is a trademark of Cell Signaling Technology, Inc.
    Alexa Fluor is a registered trademark of Life Technologies Corporation.
    All other trademarks are the property of their respective owners. Visit our Trademark Information page.