Phospho-AMPA Receptor 1 (GluA1) (Ser845) (D10G5) Rabbit Monoclonal Antibody #8084
- WB
- IP
Product Specifications
| REACTIVITY | H M R |
| SENSITIVITY | Endogenous |
| MW (kDa) | 100 |
| Source/Isotype | Rabbit IgG |
Application Key:
- WB-Western Blotting
- IP-Immunoprecipitation
Species Cross-Reactivity Key:
- H-Human
- M-Mouse
- R-Rat
Product Information
Product Usage Information
| Application | Dilution |
|---|---|
| Western Blotting | 1:1000 |
| Immunoprecipitation | 1:50 |
Storage
Protocol
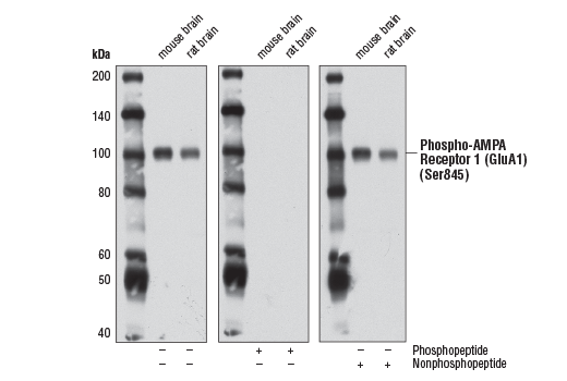
Specificity / Sensitivity
Species Reactivity:
Source / Purification
Background
The activation of PKA regulates the activity of AMPA-type glutamate receptors by phosphorylation of the subunit GluR 1 at Ser845. Furthermore, Ser845 phosphorylation is increased by activation of D1-type dopamine receptors and by inhibition of protein phosphatase 1/protein phosphatase 2A (3,4). Phosphorylation at either Ser831 or Ser845 potentiates AMPA receptor ion channel function: long-term potentiation (LTP) correlates with increased phosphorylation, while long-term depression (LTD) correlates with a dephosphorylation of GluR 1 (5). Phosphomutant mice (Ser831Ala and Ser845Ala) show deficits in LTD and LTP. Either Ser831 or Ser845 alone may support LTP, while only Ser845 is critical for LTD. Furthermore, these mice have memory deficiencies in spatial learning tasks (6,7). Assembly of the β2-adrenergic receptor, trimeric Gs protein, adenyl cyclase, PKA, GluR 1, stargazin, and PSD95 signaling complex for localized cAMP signaling is dependent on phosphorylation of GluR 1 at Ser845 (8).
- Palmer, C.L. et al. (2005) Pharmacol Rev 57, 253-77.
- Cull-Candy, S. et al. (2006) Curr Opin Neurobiol 16, 288-97.
- Roche, K.W. et al. (1996) Neuron 16, 1179-88.
- Snyder, G.L. et al. (2000) J Neurosci 20, 4480-8.
- Lee, H.K. et al. (2000) Nature 405, 955-9.
- Lee, H.K. et al. (2003) Cell 112, 631-43.
- He, K. et al. (2009) Proc Natl Acad Sci USA 106, 20033-8.
- Joiner, M.L. et al. (2010) EMBO J 29, 482-95.
Alternate Names
AMPA 1; AMPA-selective glutamate receptor 1; GluA1; GLUH1; GluR-1; GluR-A; GluR-K1; GLUR1; GLURA; glutamate ionotropic receptor AMPA type subunit 1; Glutamate receptor 1; Glutamate receptor ionotropic, AMPA 1; glutamate receptor, ionotropic, AMPA 1; GRIA1; HBGR1; MGC133252
Limited Uses
Except as otherwise expressly agreed in a writing signed by a legally authorized representative of CST, the following terms apply to Products provided by CST, its affiliates or its distributors. Any Customer's terms and conditions that are in addition to, or different from, those contained herein, unless separately accepted in writing by a legally authorized representative of CST, are rejected and are of no force or effect.
Products are labeled with For Research Use Only or a similar labeling statement and have not been approved, cleared, or licensed by the FDA or other regulatory foreign or domestic entity, for any purpose. Customer shall not use any Product for any diagnostic or therapeutic purpose, or otherwise in any manner that conflicts with its labeling statement. Products sold or licensed by CST are provided for Customer as the end-user and solely for research and development uses. Any use of Product for diagnostic, prophylactic or therapeutic purposes, or any purchase of Product for resale (alone or as a component) or other commercial purpose, requires a separate license from CST. Customer shall (a) not sell, license, loan, donate or otherwise transfer or make available any Product to any third party, whether alone or in combination with other materials, or use the Products to manufacture any commercial products, (b) not copy, modify, reverse engineer, decompile, disassemble or otherwise attempt to discover the underlying structure or technology of the Products, or use the Products for the purpose of developing any products or services that would compete with CST products or services, (c) not alter or remove from the Products any trademarks, trade names, logos, patent or copyright notices or markings, (d) use the Products solely in accordance with CST Product Terms of Sale and any applicable documentation, and (e) comply with any license, terms of service or similar agreement with respect to any third party products or services used by Customer in connection with the Products.