Cell Signaling Technology Logo - Extra Large

Phospho-AMPK beta2 (Ser39) Antibody #82791

Filter:
  • WB
  • IP

    Product Specifications

    REACTIVITY H M R
    SENSITIVITY Endogenous
    MW (kDa) 30
    SOURCE Rabbit
    Application Key:
    • WB-Western Blotting 
    • IP-Immunoprecipitation 
    Species Cross-Reactivity Key:
    • H-Human 
    • M-Mouse 
    • R-Rat 

    Product Information

    Product Usage Information

    Application Dilution
    Western Blotting 1:1000
    Immunoprecipitation 1:100

    Storage

    Supplied in 10 mM sodium HEPES (pH 7.5), 150 mM NaCl, 100 µg/ml BSA and 50% glycerol. Store at –20°C. Do not aliquot the antibody.

    Protocol

    Specificity / Sensitivity

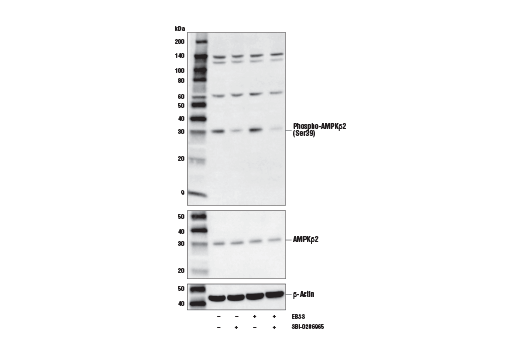
    Phospho-AMPK beta2 (Ser39) Antibody recognizes endogenous levels of AMPKβ2 protein only when phosphorylated at Ser39. Bands of unknown origin are detected at 62 and 140 kDa.

    Species Reactivity:

    Human, Mouse, Rat

    Source / Purification

    Polyclonal antibodies are produced by immunizing animals with a synthetic phospho-peptide corresponding to residues surrounding Ser39 of human AMPKβ2 protein. Antibodies are purified by protein A and peptide affinity chromatography.

    Background

    AMP-activated protein kinase (AMPK) is highly conserved from yeast to plants and animals and plays a key role in the regulation of energy homeostasis (1). AMPK is a heterotrimeric complex composed of a catalytic α subunit and regulatory β and γ subunits, each of which is encoded by two or three distinct genes (α1, 2; β1, 2; γ1, 2, 3) (2). The kinase is activated by an elevated AMP/ATP ratio due to cellular and environmental stress, such as heat shock, hypoxia, and ischemia (1). The tumor suppressor LKB1, in association with accessory proteins STRAD and MO25, phosphorylates AMPKα at Thr172 in the activation loop, and this phosphorylation is required for AMPK activation (3-5). AMPKα is also phosphorylated at Thr258 and Ser485 (for α1; Ser491 for α2). The upstream kinase and the biological significance of these phosphorylation events have yet to be elucidated (6). The β1 subunit is post-translationally modified by myristoylation and multi-site phosphorylation including Ser24/25, Ser96, Ser101, Ser108, and Ser182 (6,7). Phosphorylation at Ser108 of the β1 subunit seems to be required for AMPK activation, while phosphorylation at Ser24/25 and Ser182 affects AMPK localization (7). Several mutations in AMPKγ subunits have been identified, most of which are located in the putative AMP/ATP binding sites (CBS or Bateman domains). Mutations at these sites lead to reduction of AMPK activity and cause glycogen accumulation in heart or skeletal muscle (1,2). Accumulating evidence indicates that AMPK not only regulates the metabolism of fatty acids and glycogen, but also modulates protein synthesis and cell growth through EF2 and TSC2/mTOR pathways, as well as blood flow via eNOS/nNOS (1).~Phosphorylation of AMPKβ2 at Ser39 by the autophagy kinase ULK1 negatively regulates AMPK activity through a negative feedback loop (8).

    Alternate Names

    5'-AMP-activated protein kinase subunit beta-2; 5'-AMP-activated protein kinase, beta-2 subunit; AAKB2; AMP-activated protein kinase beta 2 non-catalytic subunit; AMPK beta 2; AMPK beta-2 chain; AMPK subunit beta-2; AMPKB2; MGC61468; PRKAB2; protein kinase AMP-activated non-catalytic subunit beta 2; protein kinase, AMP-activated, beta 2 non-catalytic subunit

    For Research Use Only. Not for Use in Diagnostic Procedures.
    Cell Signaling Technology is a trademark of Cell Signaling Technology, Inc.
    All other trademarks are the property of their respective owners. Visit our Trademark Information page.