Cell Signaling Technology Logo - Extra Large

Phospho-Beclin-1 (Ser93/96) Antibody #12476

Filter:
  • WB

Inquiry Info. # 12476

Please see our recommended alternatives.

    Product Specifications

    REACTIVITY H
    SENSITIVITY Transfected Only
    MW (kDa) 60
    SOURCE Rabbit
    Application Key:
    • WB-Western Blotting 
    Species Cross-Reactivity Key:
    • H-Human 

    Product Information

    Product Usage Information

    Application Dilution
    Western Blotting 1:1000

    Storage

    Supplied in 10 mM sodium HEPES (pH 7.5), 150 mM NaCl, 100 µg/ml BSA and 50% glycerol. Store at –20°C. Do not aliquot the antibody.

    Protocol

    Specificity / Sensitivity

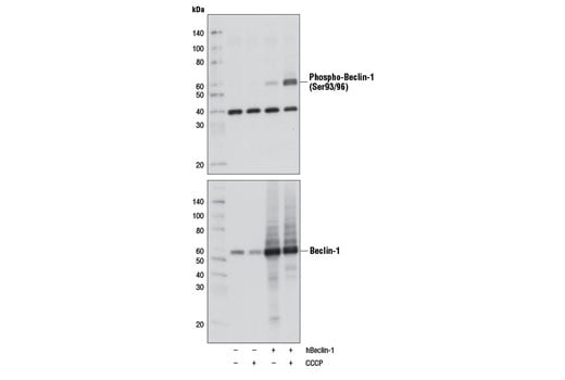
    Phospho-Beclin-1 (Ser93/96) Antibody recognizes overexpressed levels of Beclin-1 protein only when phosphorylated at Ser93 and Ser96 (Ser91 and Ser94 in mouse). This antibody may react with single phosphorylated Beclin-1 at either Ser93 or Ser96, as well as the double phosphorylated protein. This antibody cross-reacts with a protein of unknown origin at ~40 kDa.

    Species Reactivity:

    Human

    The antigen sequence used to produce this antibody shares 100% sequence homology with the species listed here, but reactivity has not been tested or confirmed to work by CST. Use of this product with these species is not covered under our Product Performance Guarantee.

    Species predicted to react based on 100% sequence homology:

    Mouse, Rat, Monkey, Bovine, Dog, Pig

    Source / Purification

    Polyclonal antibodies are produced by immunizing animals with a synthetic phosphopeptide corresponding to residues surrounding Ser93/96 of human Beclin-1 protein. Antibodies are purified by protein A and peptide affinity chromatography.

    Background

    Autophagy is a catabolic process for the autophagosomic-lysosomal degradation of proteins activated in response to nutrient deprivation and in neurodegenerative conditions (1). One of the proteins critical to this process is Beclin-1, the mammalian orthologue of the yeast autophagy protein Apg6/Vps30 (2). Beclin-1 can complement defects in yeast autophagy caused by loss of Apg6 and can also stimulate autophagy when overexpressed in mammalian cells (3). Mammalian Beclin-1 was originally isolated in a yeast two-hybrid screen for Bcl-2 interacting proteins and has been shown to interact with Bcl-2 and Bcl-xL, but not with Bax or Bak (4). While Beclin-1 is generally ubiquitously expressed, research studies have shown it is monoallelically deleted in 40-75% of sporadic human breast and ovarian cancers (5). Beclin-1 is localized within cytoplasmic structures including the mitochondria, although overexpression of Beclin-1 reveals some nuclear staining and CRM1-dependent nuclear export (6). Investigators have demonstrated that Beclin-1-/- mice die early in embryogenesis and Beclin-1-/+ mice have a high incidence of spontaneous tumors. Stem cells from the null mice demonstrate an altered autophagic response, although responses to apoptosis appeared normal (7). Researchers have also found that overexpression of Beclin-1 in virally infected neurons in vivo resulted in significant protection against Sindbis virus-induced disease and neuronal apoptosis (4).
    To induce autophagy, AMP-activated protein kinase (AMPK) directly phosphorylates Beclin-1 at conserved Ser93 and Ser96 residues in human (Ser91 and Ser94 in mouse) (8).

    Alternate Names

    ATG6; ATG6 autophagy related 6 homolog; beclin 1; beclin 1 (coiled-coil, moesin-like BCL2 interacting protein); beclin 1 (coiled-coil, moesin-like BCL2-interacting protein); beclin 1, autophagy related; Beclin-1; Beclin-1-C 35 kDa; Beclin-1-C 37 kDa; beclin1; BECN1; Coiled-coil myosin-like BCL2-interacting protein; GT197; Protein GT197; testis secretory sperm-binding protein Li 215e; VPS30

    For Research Use Only. Not for Use in Diagnostic Procedures.
    Cell Signaling Technology is a trademark of Cell Signaling Technology, Inc.
    All other trademarks are the property of their respective owners. Visit our Trademark Information page.