Render Target: STATIC
Render Timestamp:
5/22/2026, 7:05:46 AM EDT
5/22/2026, 11:05:46 AM UTC
Commit: 7ed46ecc04b401f23a28df741b5078df405d23e4
XML generation date: 2025-11-12 16:09:32.936
Product last modified at: 2026-03-20T08:04:58.908Z
Cell Signaling Technology Logo - Extra Large
1% for the planet logo
PDP - Template Name: Monoclonal Antibody
PDP - Template ID: *******c5e4b77
Trial Size Available Flag
Recombinant Flag
Recombinant: Superior lot-to-lot consistency, continuous supply, and animal-free manufacturing.

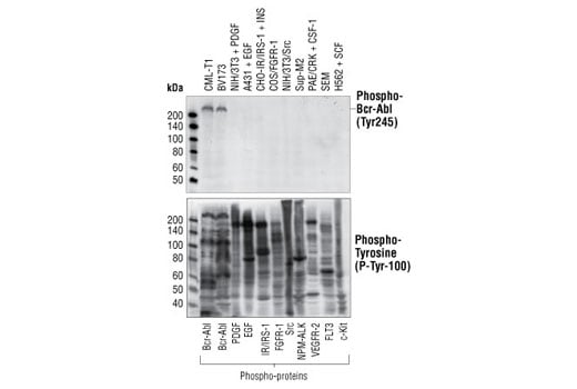
Phospho-c-Abl (Tyr245) (73E5) Rabbit Monoclonal Antibody #2868

Filter:
  • WB

    Product Specifications

    REACTIVITY H
    SENSITIVITY Endogenous
    MW (kDa) 135 (c-Abl); 210 (Bcr-Abl)
    Source/Isotype Rabbit
    Application Key:
    • WB-Western Blotting 
    Species Cross-Reactivity Key:
    • H-Human 

    Product Information

    Product Usage Information

    Application Dilution
    Western Blotting 1:1000

    Storage

    Supplied in 10 mM sodium HEPES (pH 7.5), 150 mM NaCl, 100 µg/ml BSA, 50% glycerol and less than 0.02% sodium azide. Store at –20°C. Do not aliquot the antibody.

    Protocol

    Specificity / Sensitivity

    Phospho-c-Abl (Tyr245) (73E5) Rabbit Monoclonal Antibody detects endogenous levels of c-Abl only when phosphorylated at tyrosine 245. This antibody does not cross-react with other activated protein tyrosine kinases.

    Species Reactivity:

    Human

    The antigen sequence used to produce this antibody shares 100% sequence homology with the species listed here, but reactivity has not been tested or confirmed to work by CST. Use of this product with these species is not covered under our Product Performance Guarantee.

    Species predicted to react based on 100% sequence homology:

    Mouse

    Source / Purification

    Monoclonal antibody is produced by immunizing animals with a synthetic phosphopeptide corresponding to residues surrounding Tyr245 of human c-Abl.

    Background

    The c-Abl proto-oncogene encodes a nonreceptor protein tyrosine kinase that is ubiquitously expressed and highly conserved in metazoan evolution. c-Abl protein is distributed in both the nucleus and the cytoplasm of cells. It is implicated in regulating cell proliferation, differentiation, apoptosis, cell adhesion, and stress responses (1-3). c-Abl kinase activity is increased in vivo by diverse physiological stimuli including integrin activation; PDGF stimulation; and binding to c-Jun, Nck, and RFX1 (2,4). The in vivo mechanism for regulation of c-Abl kinase activity is not completely understood. Tyr245 is located in the linker region between the SH2 and catalytic domains. This positioning is conserved among Abl family members. Phosphorylation at Tyr245 is involved in the activation of c-Abl kinase (5). In addition, phosphorylation at Tyr412, which is located in the kinase activation loop of c-Abl, is required for kinase activity (6).

    Alternate Names

    Abelson murine leukemia viral oncogene homolog 1; Abelson tyrosine-protein kinase 1; ABL; ABL proto-oncogene 1, non-receptor tyrosine kinase; ABL protooncogene 1 nonreceptor tyrosine kinase; ABL1; BCR-ABL; bcr/abl; bcr/c-abl oncogene protein; c-ABL; c-abl oncogene 1, receptor tyrosine kinase; c-ABL1; CHDSKM; JTK7; p150; Proto-oncogene c-Abl; proto-oncogene tyrosine-protein kinase ABL1; truncated ABL protooncogene 1 nonreceptor tyrosine kinase; Tyrosine-protein kinase ABL1; v-abl; v-abl Abelson murine leukemia viral oncogene homolog 1

    For Research Use Only. Not for Use in Diagnostic Procedures.
    Cell Signaling Technology is a trademark of Cell Signaling Technology, Inc.
    All other trademarks are the property of their respective owners. Visit our Trademark Information page.