Cell Signaling Technology Logo - Extra Large
Recombinant Flag
Recombinant: Superior lot-to-lot consistency, continuous supply, and animal-free manufacturing.

Phospho-CASC5 (Thr943/Thr1155) (D8D4N) Rabbit Monoclonal Antibody (BSA and Azide Free) #72586

Filter:
  • WB
  • IF

    Product Specifications

    REACTIVITY H
    SENSITIVITY Endogenous
    MW (kDa) 265
    Source/Isotype Rabbit IgG
    Application Key:
    • WB-Western Blotting 
    • IF-Immunofluorescence 
    Species Cross-Reactivity Key:
    • H-Human 

    Product Information

    Product Usage Information

    This product is the carrier free version of product #40758. All data were generated using the same antibody clone in the standard formulation which contains BSA and glycerol.

    This formulation is ideal for use with technologies requiring specialized or custom antibody labeling, including fluorophores, metals, lanthanides, and oligonucleotides. It is not recommended for ChIP, ChIP-seq, CUT&RUN or CUT&Tag assays. If you require a carrier free formulation for chromatin profiling, please contact us. Optimal dilutions/concentrations should be determined by the end user.

    BSA and Azide Free antibodies are quality control tested by size exclusion chromatography (SEC) to determine antibody integrity.

    Formulation

    Supplied in 1X PBS (10 mM Na2HPO4, 3 mM KCl, 2 mM KH2PO4, and 140 mM NaCl (pH 7.8)). BSA and Azide Free.

    For standard formulation of this product see product #40758

    Storage

    Store at -20°C. This product will freeze at -20°C so it is recommended to aliquot into single-use vials to avoid multiple freeze/thaw cycles. A slight precipitate may be present and can be dissolved by gently vortexing. This will not interfere with antibody performance.

    Specificity / Sensitivity

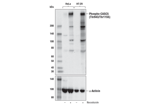
    Phospho-CASC5 (Thr943/Thr1155) (D8D4N) Rabbit Monoclonal Antibody (BSA and Azide Free) recognizes endogenous levels of CASC5 protein only when phosphorylated at Thr943 or Thr1155. The protein sequences surrounding these two sites are identical.

    Species Reactivity:

    Human

    Source / Purification

    Monoclonal antibody is produced by immunizing animals with a synthetic peptide corresponding to residues surrounding Thr943 of human CASC5 protein.

    Background

    Kinetochores are mitotic structures that form on centromeres and attach to mitotic spindle microtubules. Kinetochore attachment to microtubules regulates chromosome segregation and progression through mitosis. Unattached kinetochores signal to the spindle assembly checkpoint (SAC) machinery, arresting cells in mitosis (1). CASC5, also known as Knl1 or Blinkin, is the largest subunit of the Knl1–Mis12–Ndc80 complex (KMN) network, a structural component of kinetochores required for microtubule binding. CASC5 functions in the formation of kinetochore–microtubule attachments, chromosome segregation, and in activating the SAC. CASC5 has been implicated in human diseases, including leukemia and microcephaly (2). Activation of the SAC is regulated in part by mitotic phosphorylation of CASC5 at several sites, including Ser24, Ser60, Thr943, and Thr1155 (3,4). The sequences surrounding Thr943 and Thr1155 are identical.

    Alternate Names

    AF15q14; ALL1-fused gene from chromosome 15q14; ALL1-fused gene from chromosome 15q14 protein; Blinkin; blinkin, bub-linking kinetochore protein; Bub-linking kinetochore protein; cancer susceptibility candidate 5; Cancer susceptibility candidate gene 5 protein; Cancer/testis antigen 29; CASC5; CT29; D40; hKNL-1; hSpc105; KIAA1570; kinetochore null 1 homolog; Kinetochore scaffold 1; Kinetochore-null protein 1; KNL1; MCPH4; microcephaly, primary autosomal recessive 4; PPP1R55; Protein CASC5; Protein D40/AF15q14; protein phosphatase 1, regulatory subunit 55; Spc7

    For Research Use Only. Not for Use in Diagnostic Procedures.
    Cell Signaling Technology is a trademark of Cell Signaling Technology, Inc.
    All other trademarks are the property of their respective owners. Visit our Trademark Information page.