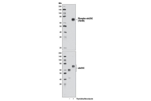
Phospho-cdc25C (Thr48) (D2H3) Rabbit Monoclonal Antibody #12028
- WB
- IP
- IF
Product Specifications
| REACTIVITY | H |
| SENSITIVITY | Endogenous |
| MW (kDa) | 75 |
| Source/Isotype | Rabbit IgG |
Application Key:
- WB-Western Blotting
- IP-Immunoprecipitation
- IF-Immunofluorescence
Species Cross-Reactivity Key:
- H-Human
Product Information
Product Usage Information
| Application | Dilution |
|---|---|
| Western Blotting | 1:1000 |
| Immunoprecipitation | 1:100 |
| Immunofluorescence (Immunocytochemistry) | 1:300 |
Storage
Protocol
Specificity / Sensitivity
Species Reactivity:
The antigen sequence used to produce this antibody shares 100% sequence homology with the species listed here, but reactivity has not been tested or confirmed to work by CST. Use of this product with these species is not covered under our Product Performance Guarantee.
Species predicted to react based on 100% sequence homology:
Source / Purification
Background
Full activation of cdc25C involves phosphorylation at more than 12 different sites by cdc2/cyclin B and Polo-like kinase, and the activity of Pin1, a peptidyl-prolyl isomerase (PPI) (6,7). Pin1 contains a WW domain that binds phospho-Ser/Thr-Pro sites and a catalytic PPI region that induces a cis/trans isomerization at phospho-Ser/Thr-Pro bonds (8). Thr48 and Thr67 of cdc25C interact directly with the WW domain of Pin1 when these sites are phosphorylated (9). Thr48 phosphorylation also mediates binding to CKS/p13SUC1 (10).
- Jessus, C. and Ozon, R. (1995) Prog. Cell Cycle Res. 1, 215-228.
- Peng, C.Y. et al. (1997) Science 277, 1501-1505.
- Kumagai, A. and Dunphy, W.G. (1999) Genes Dev. 13, 1067-1072.
- Blasina, A. et al. (1999) Curr. Biol. 9, 1-10.
- Furnari, B. et al. (1999) Mol. Biol. Cell 10, 833-845.
- Izumi, T. and Maller, J.L. (1993) Mol Biol Cell 4, 1337-50.
- Stukenberg, P.T. and Kirschner, M.W. (2001) Mol Cell 7, 1071-83.
- Yaffe, M.B. et al. (1997) Science 278, 1957-60.
- Lu, P.J. et al. (1999) Science 283, 1325-8.
- Landrieu, I. et al. (2001) J Biol Chem 276, 1434-8.
Alternate Names
CDC25; CDC25C; cell division cycle 25 homolog C (S. pombe); cell division cycle 25C; Dual specificity phosphatase Cdc25C; M-phase inducer phosphatase 3; mitosis inducer CDC25; MPIP3; phosphotyrosine phosphatase; PPP1R60; protein phosphatase 1, regulatory subunit 60
Limited Uses
Except as otherwise expressly agreed in a writing signed by a legally authorized representative of CST, the following terms apply to Products provided by CST, its affiliates or its distributors. Any Customer's terms and conditions that are in addition to, or different from, those contained herein, unless separately accepted in writing by a legally authorized representative of CST, are rejected and are of no force or effect.
Products are labeled with For Research Use Only or a similar labeling statement and have not been approved, cleared, or licensed by the FDA or other regulatory foreign or domestic entity, for any purpose. Customer shall not use any Product for any diagnostic or therapeutic purpose, or otherwise in any manner that conflicts with its labeling statement. Products sold or licensed by CST are provided for Customer as the end-user and solely for research and development uses. Any use of Product for diagnostic, prophylactic or therapeutic purposes, or any purchase of Product for resale (alone or as a component) or other commercial purpose, requires a separate license from CST. Customer shall (a) not sell, license, loan, donate or otherwise transfer or make available any Product to any third party, whether alone or in combination with other materials, or use the Products to manufacture any commercial products, (b) not copy, modify, reverse engineer, decompile, disassemble or otherwise attempt to discover the underlying structure or technology of the Products, or use the Products for the purpose of developing any products or services that would compete with CST products or services, (c) not alter or remove from the Products any trademarks, trade names, logos, patent or copyright notices or markings, (d) use the Products solely in accordance with CST Product Terms of Sale and any applicable documentation, and (e) comply with any license, terms of service or similar agreement with respect to any third party products or services used by Customer in connection with the Products.