Cell Signaling Technology Logo - Extra Large

Phospho-Dab1 (Tyr232) Antibody #3325

Filter:
  • WB

    Product Specifications

    REACTIVITY H
    SENSITIVITY Transfected Only
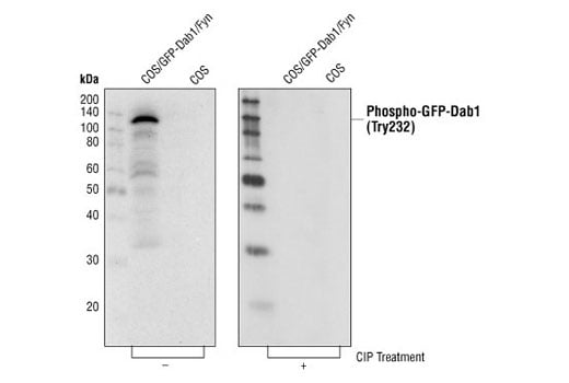
    MW (kDa) 80, 110 GFP-Dab1 fusion.
    SOURCE Rabbit
    Application Key:
    • WB-Western Blotting 
    Species Cross-Reactivity Key:
    • H-Human 

    Product Information

    Product Usage Information

    Application Dilution
    Western Blotting 1:1000

    Storage

    Supplied in 10 mM sodium HEPES (pH 7.5), 150 mM NaCl, 100 µg/ml BSA and 50% glycerol. Store at –20°C. Do not aliquot the antibody.

    Protocol

    Specificity / Sensitivity

    Phospho-Dab1 (Tyr232) Antibody detects transfected levels of Dab1 protein only when phosphorylated at tyrosine 232.

    Species Reactivity:

    Human

    The antigen sequence used to produce this antibody shares 100% sequence homology with the species listed here, but reactivity has not been tested or confirmed to work by CST. Use of this product with these species is not covered under our Product Performance Guarantee.

    Species predicted to react based on 100% sequence homology:

    Mouse, Rat

    Source / Purification

    Polyclonal antibodies are produced by immunizing animals with a synthetic peptide corresponding to residues surrounding Tyr232 of human Dab1. Antibodies are purified by protein A and peptide affinity chromatography.

    Background

    The Reelin signaling pathway plays a critical role in neuronal development. Reelin is a secreted glycoprotein that binds to the lipoprotein receptors VLDLR and ApoER2 or alpha3beta1 integrin on the surface of neurons (1,2). Activation of these receptors induces tyrosine phosphorylation of Disabled 1 (Dab1), an intracellular adaptor. It is generally believed that tyrosine phosphorylation of Dab1 by Src family tyrosine kinases is the most critical downstream event in Reelin signaling. The phosphotyrosine-binding (PTB) domain within its amino terminus enables Dab1 to recognize and bind to a conserved sequence motif within the cytoplasmic tail of the receptors. In addition, the PTB domain contains a pleckstrin homology-like subdomain that binds to phosphoinositides. The phosphoinositide-binding region within the Dab1 PTB domain is required for membrane localization and basal tyrosine phosphorylation of Dab1 independent of VLDLR and ApoER2 (3). It has been demonstrated that Src, CrkII, CrkL, and Dock1 associate with tyrosine-phosphorylated Dab1. The CrkII-Dab1 interaction requires tyrosine phosphorylation of Dab1 at residues 220 or 232 (4).

    Alternate Names

    DAB adaptor protein 1; Dab reelin signal transducer 1; Dab, reelin signal transducer, homolog 1; DAB1; DAB1, reelin adaptor protein; Disabled homolog 1; disabled homolog 1 (Drosophila); SCA37

    For Research Use Only. Not for Use in Diagnostic Procedures.
    Cell Signaling Technology is a trademark of Cell Signaling Technology, Inc.
    All other trademarks are the property of their respective owners. Visit our Trademark Information page.