Cell Signaling Technology Logo - Extra Large

Phospho-Drosophila Akt (Ser505) Antibody #4054

Filter:
  • WB

Inquiry Info. # 4054

Please see our recommended alternatives.

    Product Specifications

    REACTIVITY Dm
    SENSITIVITY Endogenous
    MW (kDa) 65
    SOURCE Rabbit
    Application Key:
    • WB-Western Blotting 
    Species Cross-Reactivity Key:
    • Dm-D. melanogaster 

    Product Information

    Product Usage Information

    Application Dilution
    Western Blotting 1:1000

    Storage

    Supplied in 10 mM sodium HEPES (pH 7.5), 150 mM NaCl, 100 µg/ml BSA and 50% glycerol. Store at –20°C. Do not aliquot the antibody.

    Protocol

    Specificity / Sensitivity

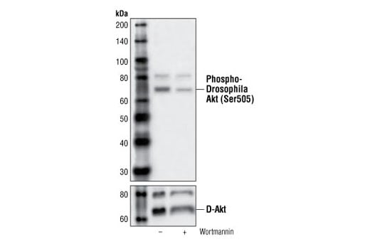
    Phospho-Drosophila Akt (Ser505) Antibody detects endogenous levels of Akt only when phosphorylated at serine 505. This antibody does not recognize drosophila Akt when phosphorylated at other sites, nor does this antibody recognize related kinases such as PKC or p70 S6 Kinase.

    Species Reactivity:

    D. melanogaster

    Source / Purification

    Polyclonal antibodies are produced by immunizing animals with a synthetic phosphopeptide corresponding to residues around Ser505 of drosophila Akt. Antibodies are purified by protein A and peptide affinity chromatography.

    Background

    Akt, also referred to as PKB or Rac, plays a critical role in controlling cell survival and apoptosis (1-3). This protein kinase is activated by insulin and various growth and survival factors to function in a wortmannin-sensitive pathway involving PI3 kinase (2,3). Akt is activated by phospholipid binding and activation loop phosphorylation at Thr308 by PDK1 (4) and by phosphorylation within the carboxy terminus at Ser473. The previously elusive PDK2 responsible for phosphorylation of Akt at Ser473 has been identified as mammalian target of rapamycin (mTOR) in a rapamycin-insensitive complex with rictor and Sin1 (5,6). Akt promotes cell survival by inhibiting apoptosis through phosphorylation and inactivation of several targets, including Bad (7), forkhead transcription factors (8), c-Raf (9), and caspase-9. PTEN phosphatase is a major negative regulator of the PI3K/Akt signaling pathway (10). LY294002 is a specific PI3 kinase inhibitor (11). Another essential Akt function is the regulation of glycogen synthesis through phosphorylation and inactivation of GSK-3α and β (12,13). Akt may also play a role in insulin stimulation of glucose transport (12). In addition to its role in survival and glycogen synthesis, Akt is involved in cell cycle regulation by preventing GSK-3β-mediated phosphorylation and degradation of cyclin D1 (14) and by negatively regulating the cyclin-dependent kinase inhibitors p27 Kip1 (15) and p21 Waf1/Cip1 (16). Akt also plays a critical role in cell growth by directly phosphorylating mTOR in a rapamycin-sensitive complex containing raptor (17). More importantly, Akt phosphorylates and inactivates tuberin (TSC2), an inhibitor of mTOR within the mTOR-raptor complex (18,19).

    Drosophila Akt (D-Akt) regulates multiple biological processes such as cell survival (20) and cell growth (21). Major sites of phosphorylation include Ser505 and Thr342. These activation sites are homologous to mammalian Ser473 and Thr308 respectively. Identified downstream targets of D-Akt include Trh (Ser665) (22) and Tsc2 (23). Like Akt, D-Akt functions in a wortmannin-sensitive pathway involving PI3 kinase (24).
    1. Franke, T.F. et al. (1997) Cell 88, 435-7.
    2. Burgering, B.M. and Coffer, P.J. (1995) Nature 376, 599-602.
    3. Franke, T.F. et al. (1995) Cell 81, 727-36.
    4. Alessi, D.R. et al. (1996) EMBO J 15, 6541-51.
    5. Sarbassov, D.D. et al. (2005) Science 307, 1098-101.
    6. Jacinto, E. et al. (2006) Cell 127, 125-37.
    7. Cardone, M.H. et al. (1998) Science 282, 1318-21.
    8. Brunet, A. et al. (1999) Cell 96, 857-68.
    9. Zimmermann, S. and Moelling, K. (1999) Science 286, 1741-4.
    10. Cantley, L.C. and Neel, B.G. (1999) Proc Natl Acad Sci USA 96, 4240-5.
    11. Vlahos, C.J. et al. (1994) J Biol Chem 269, 5241-8.
    12. Hajduch, E. et al. (2001) FEBS Lett 492, 199-203.
    13. Cross, D.A. et al. (1995) Nature 378, 785-9.
    14. Diehl, J.A. et al. (1998) Genes Dev 12, 3499-511.
    15. Gesbert, F. et al. (2000) J Biol Chem 275, 39223-30.
    16. Zhou, B.P. et al. (2001) Nat Cell Biol 3, 245-52.
    17. Navé, B.T. et al. (1999) Biochem J 344 Pt 2, 427-31.
    18. Inoki, K. et al. (2002) Nat Cell Biol 4, 648-57.
    19. Manning, B.D. et al. (2002) Mol Cell 10, 151-62.
    20. Staveley, B. E. et al. (1998) Curr Biol 8(10) , 599-602.
    21. Scanga, S. E. et al. (2000) Oncogene 19, 3971-3977.
    22. Jin, J. et al. (2001) Dev Cell 1(6) , 726-728.
    23. Potter, C. J. et al. (2002) Nature Cell Biology 4, 658-665.
    24. Linassier, C. et al. (1997) Biochem. J. 321, 849-856.

    Alternate Names

    Akt-PA; Akt-PB; Akt-PC; Akt-PD; Akt-PE; Akt1; D-Akt; dAkt kinase; dAKT1; protein kinase B; RAC serine/threonine-protein kinase; related to PKA to PKC protein kinases; related to the A and C kinases

    For Research Use Only. Not for Use in Diagnostic Procedures.
    Cell Signaling Technology is a trademark of Cell Signaling Technology, Inc.
    All other trademarks are the property of their respective owners. Visit our Trademark Information page.