Cell Signaling Technology Logo - Extra Large
Recombinant Flag
Recombinant: Superior lot-to-lot consistency, continuous supply, and animal-free manufacturing.

Phospho-Glucocorticoid Receptor (Ser134) (E9R9W) Rabbit Monoclonal Antibody (BSA and Azide Free) #43495

Filter:
  • WB
  • ELISA+

    Product Specifications

    REACTIVITY H R
    SENSITIVITY Endogenous
    MW (kDa) 91, 94
    Source/Isotype Rabbit IgG
    Application Key:
    • WB-Western Blotting 
    • ELISA+-ELISA and/or ELISA-like Assays 
    Species Cross-Reactivity Key:
    • H-Human 
    • R-Rat 

    Product Information

    Product Usage Information

    This product is the carrier free version of product #85060. All data were generated using the same antibody clone in the standard formulation which contains BSA and glycerol.

    This formulation is ideal for use with technologies requiring specialized or custom antibody labeling, including fluorophores, metals, lanthanides, and oligonucleotides. It is not recommended for ChIP, ChIP-seq, CUT&RUN or CUT&Tag assays. If you require a carrier free formulation for chromatin profiling, please contact us. Optimal dilutions/concentrations should be determined by the end user.

    BSA and Azide Free antibodies are quality control tested by size exclusion chromatography (SEC) to determine antibody integrity.

    Formulation

    Supplied in 1X PBS (10 mM Na2HPO4, 3 mM KCl, 2 mM KH2PO4, and 140 mM NaCl (pH 7.8)). BSA and Azide Free.

    For standard formulation of this product see product #85060

    Storage

    Store at -20°C. This product will freeze at -20°C so it is recommended to aliquot into single-use vials to avoid multiple freeze/thaw cycles. A slight precipitate may be present and can be dissolved by gently vortexing. This will not interfere with antibody performance.

    Specificity / Sensitivity

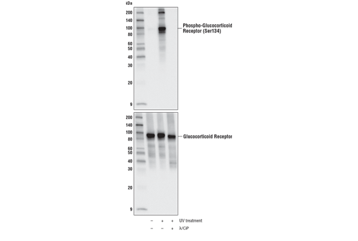
    Phospho-Glucocorticoid Receptor (Ser134) (E9R9W) Rabbit mAb (BSA and Azide Free) recognizes endogenous levels of glucocorticoid receptor protein only when phosphorylated at Ser134. In Western blot analysis, the antibody detects a 200 kDa protein of unknown identity. Rat cross-reactivity was determined by ELISA.

    Species Reactivity:

    Human, Rat

    Source / Purification

    Monoclonal antibody is produced by immunizing animals with a synthetic phospho-peptide corresponding to residues surrounding Ser134 of human glucocorticoid receptor protein.

    Background

    Glucocorticoid hormones control cellular proliferation, inflammation, and metabolism through their association with the glucocorticoid receptor (GR)/NR3C1, a member of the nuclear hormone receptor superfamily of transcription factors (1). GR is composed of several conserved structural elements, including a carboxy-terminal ligand-binding domain (which also contains residues critical for receptor dimerization and hormone-dependent gene transactivation), a neighboring hinge region containing nuclear localization signals, a central zinc-finger-containing DNA-binding domain, and an amino-terminal variable region that participates in ligand-independent gene transcription. In the absence of hormone, a significant population of GR is localized to the cytoplasm in an inactive form via its association with regulatory chaperone proteins, such as HSP90, HSP70, and FKBP52. On hormone binding, GR is released from the chaperone complex and translocates to the nucleus as a dimer to associate with specific DNA sequences termed glucocorticoid response elements (GREs), thereby enhancing or repressing transcription of specific target genes (2). It was demonstrated that GR-mediated transcriptional activation is modulated by phosphorylation (3-5). Although GR can be basally phosphorylated in the absence of hormone, it becomes hyperphosphorylated upon binding receptor agonists. It has been suggested that hormone-dependent phosphorylation of GR may determine target promoter specificity, cofactor interaction, strength and duration of receptor signaling, receptor stability, and receptor subcellular localization (3).
    Phosphorylation of GR at Ser134 by p38 MAPK occurs in response to cellular stress and is hormone independent. The phosphorylation event results in stronger association with 14-3-3ζ, which alters chromatin binding and reduces GR transcriptional activity (6).

    Alternate Names

    GCCR; GCR; GCRST; glucocorticoid nuclear receptor variant 1; Glucocorticoid receptor; GR; GRL; NR3C1; Nuclear receptor subfamily 3 group C member 1; nuclear receptor subfamily 3 group C member 1 variant hGR-B(54); nuclear receptor subfamily 3 group C member 1 variant hGR-B(77); nuclear receptor subfamily 3 group C member 1 variant hGR-B(93); nuclear receptor subfamily 3, group C, member 1 (glucocorticoid receptor)

    For Research Use Only. Not for Use in Diagnostic Procedures.
    Cell Signaling Technology is a trademark of Cell Signaling Technology, Inc.
    All other trademarks are the property of their respective owners. Visit our Trademark Information page.