Cell Signaling Technology Logo - Extra Large
Trial Size Available Flag
Recombinant Flag
Recombinant: Superior lot-to-lot consistency, continuous supply, and animal-free manufacturing.

Phospho-IRAK4 (Thr345/Ser346) (D6D7) Rabbit Monoclonal Antibody #11927

Filter:
  • WB
  • IP

    Product Specifications

    REACTIVITY H
    SENSITIVITY Endogenous
    MW (kDa) 55
    Source/Isotype Rabbit IgG
    Application Key:
    • WB-Western Blotting 
    • IP-Immunoprecipitation 
    Species Cross-Reactivity Key:
    • H-Human 

    Product Information

    Product Usage Information

    Application Dilution
    Western Blotting 1:1000
    Immunoprecipitation 1:50

    Storage

    Supplied in 10 mM sodium HEPES (pH 7.5), 150 mM NaCl, 100 µg/ml BSA, 50% glycerol and less than 0.02% sodium azide. Store at –20°C. Do not aliquot the antibody.

    Protocol

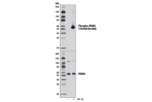
    Specificity / Sensitivity

    Phospho-IRAK4 (Thr345/Ser346) (D6D7) Rabbit Monoclonal Antibody recognizes endogenous levels of IRAK4 protein when phosphorylated at Thr345 and Ser346. This antibody shows slight reactivity with IRAK4 when singly phosphorylated at Ser346. This antibody does not cross-react with IRAK4 singly phosphorylated at Thr345.

    Species Reactivity:

    Human

    The antigen sequence used to produce this antibody shares 100% sequence homology with the species listed here, but reactivity has not been tested or confirmed to work by CST. Use of this product with these species is not covered under our Product Performance Guarantee.

    Species predicted to react based on 100% sequence homology:

    Mouse, Rat, Bovine, Dog

    Source / Purification

    Monoclonal antibody is produced by immunizing animals with a synthetic phosphopeptide corresponding to residues surrounding Thr345/Ser346 of human IRAK4 protein.

    Background

    Interleukin-1 (IL-1) receptor-associated kinase (IRAK) is a serine/threonine-specific kinase that can be coprecipitated in an IL-1-inducible manner with the IL-1 receptor (1). The mammalian family of IRAK molecules contains four members (IRAK1, IRAK2, IRAK3/IRAK-M, and IRAK4). The binding of IL-1 to IL-1 receptor type I (IL-1RI) initiates the formation of a complex that includes IL-1RI, AcP, MyD88, and IRAKs (2). IRAK undergoes autophosphorylation shortly after IL-1 stimulation. The subsequent events involve IRAK dissociation from the IL-1RI complex, its ubiquitination, and its association with two membrane-bound proteins: TAB2 and TRAF6. The resulting IRAK-TRAF6-TAB2 complex is then released into the cytoplasm where it activates protein kinase cascades, including TAK1, IKKs, and the stress-activated kinases (3).
    Upon IL-1R/Toll-Like Receptor ligation, IRAK1 and IRAK4 are rapidly recruited to the receptor by the adaptor MyD88 (4). IRAK1 is phosphorylated by IRAK4 at Thr209 and Thr387 (5), followed by sequential autohyperphosphorylation in various domains.

    Alternate Names

    IMD67; interleukin 1 receptor associated kinase 4; Interleukin-1 receptor-associated kinase 4; IPD1; IRAK-4; IRAK4; NY-REN-64; Q8TDF7; REN64; Renal carcinoma antigen NY-REN-64

    For Research Use Only. Not for Use in Diagnostic Procedures.
    Cell Signaling Technology is a trademark of Cell Signaling Technology, Inc.
    Alexa Fluor is a registered trademark of Life Technologies Corporation.
    All other trademarks are the property of their respective owners. Visit our Trademark Information page.