Cell Signaling Technology Logo - Extra Large
Recombinant Flag
Recombinant: Superior lot-to-lot consistency, continuous supply, and animal-free manufacturing.

Phospho-Jak2 (Tyr1007/1008) (C80C3) Rabbit Monoclonal Antibody (BSA and Azide Free) #77546

Filter:
  • WB
  • ELISA+

    Product Specifications

    REACTIVITY H M R
    SENSITIVITY Endogenous
    MW (kDa) 125
    Source/Isotype Rabbit IgG
    Application Key:
    • WB-Western Blotting 
    • ELISA+-ELISA and/or ELISA-like Assays 
    Species Cross-Reactivity Key:
    • H-Human 
    • M-Mouse 
    • R-Rat 

    Product Information

    Product Usage Information

    This product is the carrier free version of product #3776. All data were generated using the same antibody clone in the standard formulation which contains BSA and glycerol.

    This formulation is ideal for use with technologies requiring specialized or custom antibody labeling, including fluorophores, metals, lanthanides, and oligonucleotides. It is not recommended for ChIP, ChIP-seq, CUT&RUN or CUT&Tag assays. If you require a carrier free formulation for chromatin profiling, please contact us. Optimal dilutions/concentrations should be determined by the end user.

    BSA and Azide Free antibodies are quality control tested by size exclusion chromatography (SEC) to determine antibody integrity.

    Formulation

    Supplied in 1X PBS (10 mM Na2HPO4, 3 mM KCl, 2 mM KH2PO4, and 140 mM NaCl (pH 7.8)). BSA and Azide Free.

    For standard formulation of this product see product #3776

    Storage

    Store at -20°C. This product will freeze at -20°C so it is recommended to aliquot into single-use vials to avoid multiple freeze/thaw cycles. A slight precipitate may be present and can be dissolved by gently vortexing. This will not interfere with antibody performance.

    Specificity / Sensitivity

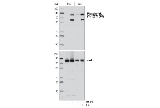
    Phospho-Jak2 (Tyr1007/1008) (C80C3) Rabbit Monoclonal Antibody (BSA and Azide Free) detects endogenous levels of Jak2 when phosphorylated at Tyr1007/1008. This antibody can also detect single phosphorylation at either 1007 or 1008. This antibody may cross-react with phospho-Jak1 and phospho-Tyk2.

    Species Reactivity:

    Human, Mouse, Rat

    The antigen sequence used to produce this antibody shares 100% sequence homology with the species listed here, but reactivity has not been tested or confirmed to work by CST. Use of this product with these species is not covered under our Product Performance Guarantee.

    Species predicted to react based on 100% sequence homology:

    Monkey, Bovine

    Source / Purification

    Monoclonal antibody is produced by immunizing animals with a synthetic phosphopeptide corresponding to a region surrounding Tyr1007/1008 of human Jak2.

    Background

    Members of the Janus family of tyrosine kinases (Jak1, Jak2, Jak3, and Tyk2) are activated by ligands binding to a number of associated cytokine receptors (1). Upon cytokine receptor activation, Jak proteins become autophosphorylated and phosphorylate their associated receptors to provide multiple binding sites for signaling proteins. These associated signaling proteins, such as Stats (2), Shc (3), insulin receptor substrates (4), and focal adhesion kinase (FAK) (5), typically contain SH2 or other phospho-tyrosine-binding domains.

    Alternate Names

    JAK-2; JAK2; Janus kinase 2; Janus kinase 2 (a protein tyrosine kinase); JTK10; Tyrosine-protein kinase JAK2

    For Research Use Only. Not for Use in Diagnostic Procedures.
    Cell Signaling Technology is a trademark of Cell Signaling Technology, Inc.
    Jak antibodies produced under license (granting certain rights including those under U.S. Patent No. 5,658,791) from Chemicon International, Inc.
    U.S. Patent No. 7,429,487, foreign equivalents, and child patents deriving therefrom.
    All other trademarks are the property of their respective owners. Visit our Trademark Information page.