Render Target: STATIC
Render Timestamp:
5/20/2026, 6:24:25 AM EDT
5/20/2026, 10:24:25 AM UTC
Commit: 7ed46ecc04b401f23a28df741b5078df405d23e4
XML generation date: 2025-11-13 17:58:31.832
Product last modified at: 2026-03-20T08:05:58.717Z
Cell Signaling Technology Logo - Extra Large
1% for the planet logo
PDP - Template Name: Polyclonal Antibody
PDP - Template ID: *******59c6464

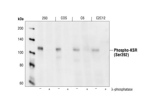
Phospho-KSR1 (Ser392) Antibody #4951

Filter:
  • WB

    Product Specifications

    REACTIVITY H M R Mk
    SENSITIVITY Endogenous
    MW (kDa) 115
    SOURCE Rabbit
    Application Key:
    • WB-Western Blotting 
    Species Cross-Reactivity Key:
    • H-Human 
    • M-Mouse 
    • R-Rat 
    • Mk-Monkey 

    Product Information

    Product Usage Information

    Application Dilution
    Western Blotting 1:1000

    Storage

    Supplied in 10 mM sodium HEPES (pH 7.5), 150 mM NaCl, 100 µg/ml BSA and 50% glycerol. Store at –20°C. Do not aliquot the antibody.

    Protocol

    Specificity / Sensitivity

    Phospho-KSR1 (Ser392) Antibody detects endogenous levels of KSR1 only when phosphorylated at serine 392. This antibody may also react with phosphorylated KSR2 at the equivalent site.

    Species Reactivity:

    Human, Mouse, Rat, Monkey

    Source / Purification

    Polyclonal antibodies are produced by immunizing animals with a synthetic phosphopeptide corresponding to residues surrounding Ser392 of mouse KSR1. Antibodies are purified by protein A and peptide affinity chromatography.

    Background

    KSR1 (kinase supressor of Ras) was identified from a genetic screen in Drosophila and C. elegans as a component of the Ras signaling pathway (1). KSR1 has a putative carboxy-terminal kinase domain that lacks a key Lys residue for phospho-group transfer. Although reports indicate that ceramide and EGF activate KSR1 (2,3), other evidence demonstrates that KSR1 regulates Raf in a kinase-independent manner (4,5). It is now widely accepted that KSR1 functions as a scaffold that binds MEK1/2 and 14-3-3 protein constitutively and binds ERK1/2 in a Ras activation-dependent manner (1,5,6). HSP70/HSP90 and p50 Cdc37 associate with the KSR1 complex to ensure its stability (5). Multiple phosphorylation sites have been identified: Ser297 and Ser392 mediate 14-3-3 binding, and putative MAPK phosphorylation sites include Thr260, Thr274 and Ser443 (6). C-TAK1 (Cdc25C-associated kinase 1) binds and phosphorylates KSR1 at Ser392 in quiescent cells (7). In response to stimuli, Ser392 is dephosphorylated by PP2A, which leads to ERK1/2 association and allows the KSR1 complex to translocate from cytosol to membrane, where the MAPK pathway is activated (8). IMP, a Ras-responsive E3 ubiquitin ligase, is also involved in interaction with KSR1 and may regulate its localization and stability (9). Very high expression levels of KSR1 inhibit MAPK signaling, whereas physiological levels promote MAPK signaling, indicating that the scaffold protein can turn signaling "on" or "off" depending on the scaffold concentration (10).

    Alternate Names

    kinase suppressor of ras; Kinase suppressor of Ras 1; KSR; KSR1; RSU2

    For Research Use Only. Not for Use in Diagnostic Procedures.
    Cell Signaling Technology is a trademark of Cell Signaling Technology, Inc.
    All other trademarks are the property of their respective owners. Visit our Trademark Information page.