Cell Signaling Technology Logo - Extra Large
Recombinant Flag
Recombinant: Superior lot-to-lot consistency, continuous supply, and animal-free manufacturing.

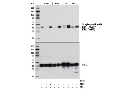
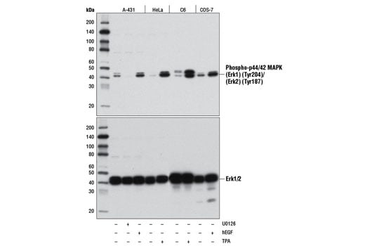
Phospho-p44/42 MAPK (Erk1) (Tyr204)/(Erk2) (Tyr187) (D1H6G) Mouse Monoclonal Antibody (BSA and Azide Free) #89967

Filter:
  • WB
  • IF
  • F

    Product Specifications

    REACTIVITY H M R Mk
    SENSITIVITY Endogenous
    MW (kDa) 42, 44
    Source/Isotype Mouse IgG2a
    Application Key:
    • WB-Western Blotting 
    • IF-Immunofluorescence 
    • F-Flow Cytometry 
    Species Cross-Reactivity Key:
    • H-Human 
    • M-Mouse 
    • R-Rat 
    • Mk-Monkey 

    Product Information

    Product Usage Information

    This product is the carrier free version of product #5726. All data were generated using the same antibody clone in the standard formulation which contains BSA and glycerol.

    This formulation is ideal for use with technologies requiring specialized or custom antibody labeling, including fluorophores, metals, lanthanides, and oligonucleotides. It is not recommended for ChIP, ChIP-seq, CUT&RUN or CUT&Tag assays. If you require a carrier free formulation for chromatin profiling, please contact us. Optimal dilutions/concentrations should be determined by the end user.

    BSA and Azide Free antibodies are quality control tested by size exclusion chromatography (SEC) to determine antibody integrity.

    Formulation

    Supplied in 1X PBS (10 mM Na2HPO4, 3 mM KCl, 2 mM KH2PO4, and 140 mM NaCl (pH 7.8)). BSA and Azide Free.

    For standard formulation of this product see product #5726

    Storage

    Store at -20°C. This product will freeze at -20°C so it is recommended to aliquot into single-use vials to avoid multiple freeze/thaw cycles. A slight precipitate may be present and can be dissolved by gently vortexing. This will not interfere with antibody performance.

    Specificity / Sensitivity

    Phospho-p44/42 MAPK (Erk1) (Tyr204)/(Erk2) (Tyr187) (D1H6G) Mouse Monoclonal Antibody (BSA and Azide Free) recognizes endogenous levels of p44/42 MAPK/Erk protein when phosphorylated at Tyr204 of p44 MAPK/Erk1 (Tyr187 of p42 MAPK/Erk2). This antibody detects dual-phosphorylated p44 MAPK/Erk1 (Thr202/Tyr204)/p42 MAPK/Erk2 (Thr185/Tyr187), but does not detect threonine mono-phosphorylated p44/42 MAPK/Erk. This antibody does not cross-react with any other MAP kinases.

    Species Reactivity:

    Human, Mouse, Rat, Monkey

    The antigen sequence used to produce this antibody shares 100% sequence homology with the species listed here, but reactivity has not been tested or confirmed to work by CST. Use of this product with these species is not covered under our Product Performance Guarantee.

    Species predicted to react based on 100% sequence homology:

    Chicken, D. melanogaster, Xenopus, Zebrafish, Bovine, C. elegans

    Source / Purification

    Monoclonal antibody is produced by immunizing animals with a synthetic phosphopeptide corresponding to residues surrounding Tyr187 of human Erk2 protein.

    Background

    Mitogen-activated protein kinases (MAPKs) are a widely conserved family of serine/threonine protein kinases involved in many cellular programs, such as cell proliferation, differentiation, motility, and death. The p44/42 MAPK (Erk1/2) signaling pathway can be activated in response to a diverse range of extracellular stimuli, including mitogens, growth factors, and cytokines (1-3), and research investigators consider it an important target in the diagnosis and treatment of cancer (4). Upon stimulation, a sequential three-part protein kinase cascade is initiated, consisting of a MAP kinase kinase kinase (MAPKKK or MAP3K), a MAP kinase kinase (MAPKK or MAP2K), and a MAP kinase (MAPK). Multiple p44/42 MAP3Ks have been identified, including members of the Raf family, as well as Mos and Tpl2/COT. MEK1 and MEK2 are the primary MAPKKs in this pathway (5,6). MEK1 and MEK2 activate p44 and p42 through phosphorylation of activation loop residues Thr202/Tyr204 and Thr185/Tyr187, respectively. Several downstream targets of p44/42 have been identified, including p90RSK (7) and the transcription factor Elk-1 (8,9). p44/42 are negatively regulated by a family of dual-specificity (Thr/Tyr) MAPK phosphatases, known as DUSPs or MKPs (10), along with MEK inhibitors, such as U0126 and PD98059.

    The "activation loop" of MAPK family members contains two phosphorylation sites, typically a threonine and a tyrosine separated by a single amino acid, designated the T-x-Y motif. Phosphorylation on both residues has been shown to be required for full activation of kinase activity, but it has been appreciated for some time that mono-phosphorylation of the T-x-Y motif occurs, resulting in partial activation of catalytic acitvity and priming for subsequent, dual-phosphorylation (11,12). The crystal structures of non-, mono-, and dual-phospho MAPK/Erk demonstrate that each phospho-isomer assumes an independent conformation (13). In addition, mono-phosphorylation of MAPK/Erk2 at Tyr187 reveals that phosphorylation at this site serves to configure the ATP binding site, while phosphorylation of both Tyr and Thr residues is required to completely stabilize the substrate binding site (14). Furthermore, T-x-Y mutational analysis of members of the Erk and p38 MAP kinases appears to suggest that mono-phosphorylation of the T-x-Y motif confers differential activity and substrate preference (15,16). Taken together, these data suggest an important and underappreciated role for Thr- and Tyr- mono-phosphorylation of the T-x-Y motif among MAP kinases.
    1. Roux, P.P. and Blenis, J. (2004) Microbiol Mol Biol Rev 68, 320-44.
    2. Baccarini, M. (2005) FEBS Lett 579, 3271-7.
    3. Meloche, S. and Pouysségur, J. (2007) Oncogene 26, 3227-39.
    4. Roberts, P.J. and Der, C.J. (2007) Oncogene 26, 3291-310.
    5. Rubinfeld, H. and Seger, R. (2005) Mol Biotechnol 31, 151-74.
    6. Murphy, L.O. and Blenis, J. (2006) Trends Biochem Sci 31, 268-75.
    7. Dalby, K.N. et al. (1998) J Biol Chem 273, 1496-505.
    8. Marais, R. et al. (1993) Cell 73, 381-93.
    9. Kortenjann, M. et al. (1994) Mol Cell Biol 14, 4815-24.
    10. Owens, D.M. and Keyse, S.M. (2007) Oncogene 26, 3203-13.
    11. Seger, R. et al. (1991) Proc Natl Acad Sci U S A 88, 6142-6.
    12. Robbins, D.J. et al. (1993) J Biol Chem 268, 5097-106.
    13. Kinoshita, T. et al. (2008) Biochem Biophys Res Commun 377, 1123-7.
    14. Prowse, C.N. et al. (2001) J Biol Chem 276, 40817-23.
    15. Zhou, B. and Zhang, Z.Y. (2002) J Biol Chem 277, 13889-99.
    16. Zhang, Y.Y. et al. (2008) J Biol Chem 283, 26591-601.

    Alternate Names

    ERK; ERK-1; ERK-2; ERK1; ERK2; ERT1; ERT2; Extracellular signal-regulated kinase 1; Extracellular signal-regulated kinase 2; extracellular signal-regulated kinase-2; extracellular signal-related kinase 1; HS44KDAP; HUMKER1A; Insulin-stimulated MAP2 kinase; MAP kinase 1; MAP kinase 2; MAP kinase 3; MAP kinase isoform p42; MAP kinase isoform p44; MAPK 1; MAPK 2; MAPK 3; MAPK1; MAPK2; MAPK3; MGC20180; Microtubule-associated protein 2 kinase; Mitogen-activated protein kinase 1; Mitogen-activated protein kinase 2; Mitogen-activated protein kinase 3; MK01; MK03; p38; p40; p41; p41mapk; p42-MAPK; P42MAPK; p44-ERK1; p44-MAPK; P44ERK1; P44MAPK; PRKM1; PRKM2; PRKM3; protein tyrosine kinase ERK2

    For Research Use Only. Not for Use in Diagnostic Procedures.
    Cell Signaling Technology is a trademark of Cell Signaling Technology, Inc.
    All other trademarks are the property of their respective owners. Visit our Trademark Information page.