Cell Signaling Technology Logo - Extra Large

Phospho-p70 S6 Kinase (Thr389) Antibody #9205

Filter:
  • WB

    Product Specifications

    REACTIVITY H M R Mk
    SENSITIVITY Endogenous
    MW (kDa) 70, 85
    SOURCE Rabbit
    Application Key:
    • WB-Western Blotting 
    Species Cross-Reactivity Key:
    • H-Human 
    • M-Mouse 
    • R-Rat 
    • Mk-Monkey 

    Product Information

    Product Usage Information

    Application Dilution
    Western Blotting 1:1000
    Simple Western™ 1:10 - 1:50

    Storage

    Supplied in 10 mM sodium HEPES (pH 7.5), 150 mM NaCl, 100 µg/ml BSA and 50% glycerol. Store at –20°C. Do not aliquot the antibody.

    Protocol

    Specificity / Sensitivity

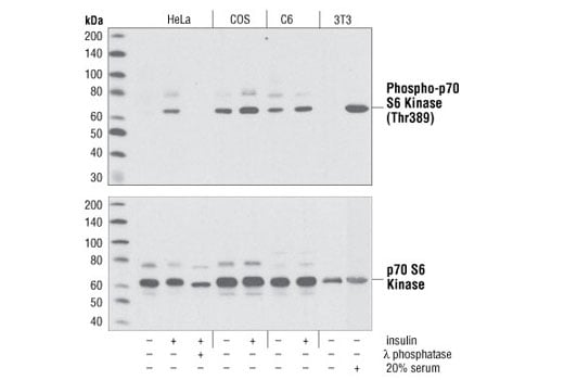
    Phospho-p70 S6 Kinase (Thr389) Antibody detects endogenous levels of p70 S6 kinase only when phosphorylated at threonine 389. This antibody also detects p85 S6 kinase when phosphorylated at the analogous site (Thr412), and possibly S6KII phosphorylated at Thr388.

    Species Reactivity:

    Human, Mouse, Rat, Monkey

    Source / Purification

    Polyclonal antibodies are produced by immunizing animals with a synthetic phosphopeptide corresponding to residues around Thr389 of human p70 S6 kinase. Antibodies are purified by protein A and peptide affinity chromatography.

    Background

    p70 S6 kinase is a mitogen activated Ser/Thr protein kinase that is required for cell growth and G1 cell cycle progression (1,2). p70 S6 kinase phosphorylates the S6 protein of the 40S ribosomal subunit and is involved in translational control of 5' oligopyrimidine tract mRNAs (1). A second isoform, p85 S6 kinase, is derived from the same gene and is identical to p70 S6 kinase except for 23 extra residues at the amino terminus, which encode a nuclear localizing signal (1). Both isoforms lie on a mitogen activated signaling pathway downstream of phosphoinositide-3 kinase (PI-3K) and the target of rapamycin, FRAP/mTOR, a pathway distinct from the Ras/MAP kinase cascade (1). The activity of p70 S6 kinase is controlled by multiple phosphorylation events located within the catalytic, linker and pseudosubstrate domains (1). Phosphorylation of Thr229 in the catalytic domain and Thr389 in the linker domain are most critical for kinase function (1). Phosphorylation of Thr389, however, most closely correlates with p70 kinase activity in vivo (3). Prior phosphorylation of Thr389 is required for the action of phosphoinositide 3-dependent protein kinase 1 (PDK1) on Thr229 (4,5). Phosphorylation of this site is stimulated by growth factors such as insulin, EGF and FGF, as well as by serum and some G-protein-coupled receptor ligands, and is blocked by wortmannin, LY294002 (PI-3K inhibitor) and rapamycin (FRAP/mTOR inhibitor) (1,6,7). Ser411, Thr421 and Ser424 lie within a Ser-Pro-rich region located in the pseudosubstrate region (1). Phosphorylation at these sites is thought to activate p70 S6 kinase via relief of pseudosubstrate suppression (1,2). Another LY294002 and rapamycin sensitive phosphorylation site, Ser371, is an in vitro substrate for mTOR and correlates well with the activity of a partially rapamycin resistant mutant p70 S6 kinase (8).

    Alternate Names

    70 kDa ribosomal protein S6 kinase 1; KS6B1; p70 ribosomal S6 kinase alpha; p70 S6 kinase alpha; p70 S6 kinase, alpha 1; p70 S6 kinase, alpha 2; p70 S6K-alpha; p70 S6KA; p70-alpha; p70-S6K; p70-S6K 1; p70(S6K)-alpha; p70S6K; P70S6K1; PS6K; ribosomal protein S6 kinase B1; Ribosomal protein S6 kinase beta-1; Ribosomal protein S6 kinase I; ribosomal protein S6 kinase, 70kDa, polypeptide 1; RPS6KB1; S6K; S6K-beta-1; S6K1; serine/threonine kinase 14 alpha; Serine/threonine-protein kinase 14A; STK14A

    For Research Use Only. Not for Use in Diagnostic Procedures.
    Cell Signaling Technology is a trademark of Cell Signaling Technology, Inc.
    All other trademarks are the property of their respective owners. Visit our Trademark Information page.