Phospho-p90RSK (Ser380) (D5D8) Rabbit Monoclonal Antibody #12032
- WB
- IP
- F
Product Specifications
| REACTIVITY | H M R Mk |
| SENSITIVITY | Endogenous |
| MW (kDa) | 90 |
| Source/Isotype | Rabbit IgG |
Application Key:
- WB-Western Blotting
- IP-Immunoprecipitation
- F-Flow Cytometry
Species Cross-Reactivity Key:
- H-Human
- M-Mouse
- R-Rat
- Mk-Monkey
Product Information
Product Usage Information
| Application | Dilution |
|---|---|
| Western Blotting | 1:1000 |
| Immunoprecipitation | 1:100 |
| Flow Cytometry (Fixed/Permeabilized) | 1:200 - 1:800 |
Storage
For a carrier free (BSA and azide free) version of this product see product #75266.
Protocol
Specificity / Sensitivity
Species Reactivity:
The antigen sequence used to produce this antibody shares 100% sequence homology with the species listed here, but reactivity has not been tested or confirmed to work by CST. Use of this product with these species is not covered under our Product Performance Guarantee.
Species predicted to react based on 100% sequence homology:
Source / Purification
Background
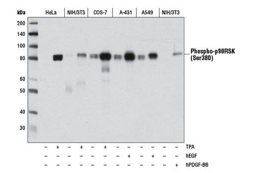
Upon mitogenic stimulation, p44/42 ERK1/2 and ERK5 MAP kinases cooperatively phosphorylate p90RSK Thr573 (p90RSK1 numbering) located within the C-terminal kinase domain and Thr359/Ser363 in the linker region between the two kinase domains (3). Phosphorylation of Thr573 within the activation loop of the p90RSK C-terminal kinase domain promotes activation and directs phosphorylation of Ser380 within the hydrophobic stretch of the linker region (4,5). The phosphorylated p90RSK Ser380 acts as a docking site for the constitutively active Ser/Thr kinase PDK1, which in turn phosphorylates Ser221 within the N-terminal kinase domain activation loop, resulting in full enzymatic activation of the p90RSK (6). Antibodies against these phosphorylation sites are useful for understanding the kinetics and regulation of p90RSK activation.For more information regarding the phospho-regulatory sites within each RSK isoform, including more information regarding the seminal studies demonstrating the complex phosphorylation cascades involved, please see the references herein and PhosphoSitePlus® (www.phosphosite.org).
- Fisher, T.L. and Blenis, J. (1996) Mol Cell Biol 16, 1212-9.
- Smith, J.A. et al. (1999) J Biol Chem 274, 2893-8.
- Dalby, K.N. et al. (1998) J Biol Chem 273, 1496-505.
- Roux, P.P. et al. (2003) Mol Cell Biol 23, 4796-804.
- Cargnello, M. and Roux, P.P. (2011) Microbiol Mol Biol Rev 75, 50-83.
- Romeo, Y. et al. (2012) Biochem J 441, 553-69.
Alternate Names
90 kDa ribosomal protein S6 kinase 1; 90 kDa ribosomal protein S6 kinase 2; 90 kDa ribosomal protein S6 kinase 3; CLS; dJ590P13.1 (ribosomal protein S6 kinase, 90kD, polypeptide 1); epididymis secretory sperm binding protein; HU-1; HU-2; HU-3; Insulin-stimulated protein kinase 1; ISPK-1; ISPK1; KS6A1; KS6A2; KS6A3; MAP kinase-activated protein kinase 1a; MAP kinase-activated protein kinase 1b; MAP kinase-activated protein kinase 1c; MAPK-activated protein kinase 1a; MAPK-activated protein kinase 1b; MAPK-activated protein kinase 1c; MAPKAP kinase 1a; MAPKAP kinase 1b; MAPKAP kinase 1c; MAPKAPK-1a; MAPKAPK-1b; MAPKAPK-1c; MAPKAPK1; MAPKAPK1A; MAPKAPK1B; MAPKAPK1C; mental retardation, X-linked 19; mitogen-activated protein kinase-activated protein kinase 1C; MRX19; p90-RSK 1; p90-RSK 2; p90-RSK 3; p90-RSK2; p90-RSK3; p90RSK; p90RSK1; p90RSK2; p90RSK3; p90S6K; pp90RSK2; pp90RSK3; ribosomal protein S6 kinase A1; ribosomal protein S6 kinase A2; ribosomal protein S6 kinase A3; ribosomal protein S6 kinase alpha 1; ribosomal protein S6 kinase alpha 2; Ribosomal protein S6 kinase alpha-1; Ribosomal protein S6 kinase alpha-2; Ribosomal protein S6 kinase alpha-3; ribosomal protein S6 kinase, 90kDa, polypeptide 1; ribosomal protein S6 kinase, 90kDa, polypeptide 2; ribosomal protein S6 kinase, 90kDa, polypeptide 3; Ribosomal S6 kinase 1; Ribosomal S6 kinase 2; Ribosomal S6 kinase 3; RPS6KA1; RPS6KA2; RPS6KA3; RSK; RSK-1; RSK-2; RSK-3; RSK1; RSK2; RSK3; S6K-alpha; S6K-alpha 1; S6K-alpha-1; S6K-alpha-2; S6K-alpha-3; S6K-alpha2; S6K-alpha3
Limited Uses
Except as otherwise expressly agreed in a writing signed by a legally authorized representative of CST, the following terms apply to Products provided by CST, its affiliates or its distributors. Any Customer's terms and conditions that are in addition to, or different from, those contained herein, unless separately accepted in writing by a legally authorized representative of CST, are rejected and are of no force or effect.
Products are labeled with For Research Use Only or a similar labeling statement and have not been approved, cleared, or licensed by the FDA or other regulatory foreign or domestic entity, for any purpose. Customer shall not use any Product for any diagnostic or therapeutic purpose, or otherwise in any manner that conflicts with its labeling statement. Products sold or licensed by CST are provided for Customer as the end-user and solely for research and development uses. Any use of Product for diagnostic, prophylactic or therapeutic purposes, or any purchase of Product for resale (alone or as a component) or other commercial purpose, requires a separate license from CST. Customer shall (a) not sell, license, loan, donate or otherwise transfer or make available any Product to any third party, whether alone or in combination with other materials, or use the Products to manufacture any commercial products, (b) not copy, modify, reverse engineer, decompile, disassemble or otherwise attempt to discover the underlying structure or technology of the Products, or use the Products for the purpose of developing any products or services that would compete with CST products or services, (c) not alter or remove from the Products any trademarks, trade names, logos, patent or copyright notices or markings, (d) use the Products solely in accordance with CST Product Terms of Sale and any applicable documentation, and (e) comply with any license, terms of service or similar agreement with respect to any third party products or services used by Customer in connection with the Products.