Cell Signaling Technology Logo - Extra Large
Recombinant Flag
Recombinant: Superior lot-to-lot consistency, continuous supply, and animal-free manufacturing.

Phospho-Paxillin (Tyr118) (E9U9F) Rabbit Monoclonal Antibody (BSA and Azide Free) #91115

Filter:
  • WB
  • IF

    Product Specifications

    REACTIVITY H M R Mk
    SENSITIVITY Endogenous
    MW (kDa) 68
    Source/Isotype Rabbit IgG
    Application Key:
    • WB-Western Blotting 
    • IF-Immunofluorescence 
    Species Cross-Reactivity Key:
    • H-Human 
    • M-Mouse 
    • R-Rat 
    • Mk-Monkey 

    Product Information

    Product Usage Information

    This product is the carrier free version of product #69363. All data were generated using the same antibody clone in the standard formulation which contains BSA and glycerol.

    This formulation is ideal for use with technologies requiring specialized or custom antibody labeling, including fluorophores, metals, lanthanides, and oligonucleotides. It is not recommended for ChIP, ChIP-seq, CUT&RUN or CUT&Tag assays. If you require a carrier free formulation for chromatin profiling, please contact us. Optimal dilutions/concentrations should be determined by the end user.

    BSA and Azide Free antibodies are quality control tested by size exclusion chromatography (SEC) to determine antibody integrity.

    Formulation

    Supplied in 1X PBS (10 mM Na2HPO4, 3 mM KCl, 2 mM KH2PO4, and 140 mM NaCl (pH 7.8)). BSA and Azide Free.

    For standard formulation of this product see product #69363

    Storage

    Store at -20°C. This product will freeze at -20°C so it is recommended to aliquot into single-use vials to avoid multiple freeze/thaw cycles. A slight precipitate may be present and can be dissolved by gently vortexing. This will not interfere with antibody performance.

    Specificity / Sensitivity

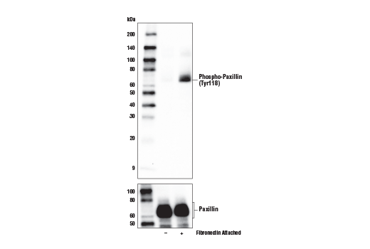
    Phospho-Paxillin (Tyr118) (E9U9F) Rabbit Monoclonal Antibody (BSA and Azide Free) recognizes endogenous levels of paxillin protein only when phosphorylated at Tyr118.

    Species Reactivity:

    Human, Mouse, Rat, Monkey

    The antigen sequence used to produce this antibody shares 100% sequence homology with the species listed here, but reactivity has not been tested or confirmed to work by CST. Use of this product with these species is not covered under our Product Performance Guarantee.

    Species predicted to react based on 100% sequence homology:

    Chicken

    Source / Purification

    Monoclonal antibody is produced by immunizing animals with a synthetic phosphopeptide corresponding to residues surrounding Tyr118 of human paxillin protein.

    Background

    Paxillin is a multidomain protein that localizes primarily to focal adhesion sites in the extracellular matrix (1). Paxillin is one of the key components of integrin signaling, and tyrosine phosphorylation of paxillin is required for integrin-mediated cytoskeletal reorganization (2). Paxillin is phosphorylated by another focal adhesion component, focal adhesion kinase (FAK), at Tyr118 (3,4). Phospho-paxillin (Tyr118) may provide a docking site for recruitment of other signaling molecules to focal adhesions. It has been shown that the SH2 domain of Crk binds to the phosphorylated Tyr118 of paxillin (5).

    Alternate Names

    FLJ16691; PAXI; Paxillin; PXN; testicular tissue protein Li 134

    For Research Use Only. Not for Use in Diagnostic Procedures.
    Cell Signaling Technology is a trademark of Cell Signaling Technology, Inc.
    All other trademarks are the property of their respective owners. Visit our Trademark Information page.