Render Target: STATIC
Render Timestamp:
5/28/2026, 6:50:48 AM EDT
5/28/2026, 10:50:48 AM UTC
Commit: 7ed46ecc04b401f23a28df741b5078df405d23e4
XML generation date: 2026-01-14 22:01:10.840
Product last modified at: 2026-03-20T08:04:30.754Z
Cell Signaling Technology Logo - Extra Large
1% for the planet logo
PDP - Template Name: Monoclonal Antibody
PDP - Template ID: *******c5e4b77
Trial Size Available Flag
Recombinant Flag
Recombinant: Superior lot-to-lot consistency, continuous supply, and animal-free manufacturing.

Phospho-PDGF Receptor alpha (Tyr762) (D9B1N) Rabbit Monoclonal Antibody #24188

Filter:
  • WB
  • IP

    Product Specifications

    REACTIVITY H
    SENSITIVITY Endogenous
    MW (kDa) 190
    Source/Isotype Rabbit IgG
    Application Key:
    • WB-Western Blotting 
    • IP-Immunoprecipitation 
    Species Cross-Reactivity Key:
    • H-Human 

    Product Information

    Product Usage Information

    Application Dilution
    Western Blotting 1:1000
    Immunoprecipitation 1:100

    Storage

    Supplied in 10 mM sodium HEPES (pH 7.5), 150 mM NaCl, 100 µg/ml BSA, 50% glycerol and less than 0.02% sodium azide. Store at –20°C. Do not aliquot the antibody.

    Protocol

    Specificity / Sensitivity

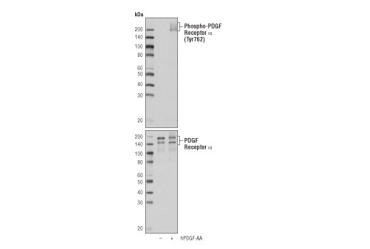
    Phospho-PDGF Receptor alpha (Tyr762) (D9B1N) Rabbit Monoclonal Antibody recognizes endogenous levels of PDGF Receptor α protein only when phosphorylated at Tyr762. The antibody might cross react slightly with other overexpressed phosphorylated receptor tyrosine kinase such as EGFR.

    Species Reactivity:

    Human

    The antigen sequence used to produce this antibody shares 100% sequence homology with the species listed here, but reactivity has not been tested or confirmed to work by CST. Use of this product with these species is not covered under our Product Performance Guarantee.

    Species predicted to react based on 100% sequence homology:

    Mouse, Rat

    Source / Purification

    Monoclonal antibody is produced by immunizing animals with a synthetic phosphopeptide corresponding to residues surrounding Tyr762 of human PDGF Receptor α protein.

    Background

    Platelet derived growth factor (PDGF) family proteins exist as several disulphide-bonded, dimeric isoforms (PDGF AA, PDGF AB, PDGF BB, PDGF CC, and PDGF DD) that bind in a specific pattern to two closely related receptor tyrosine kinases, PDGF receptor α (PDGFRα) and PDGF receptor β (PDGFRβ). PDGFRα and PDGFRβ share 75% to 85% sequence homology between their two intracellular kinase domains, while the kinase insert and carboxy-terminal tail regions display a lower level (27% to 28%) of homology (1). PDGFRα homodimers bind all PDGF isoforms except those containing PDGF D. PDGFRβ homodimers bind PDGF BB and DD isoforms, as well as the PDGF AB heterodimer. The heteromeric PDGF receptor α/β binds PDGF B, C, and D homodimers, as well as the PDGF AB heterodimer (2). PDGFRα and PDGFRβ can each form heterodimers with EGFR, which is also activated by PDGF (3). Various cells differ in the total number of receptors present and in the receptor subunit composition, which may account for responsive differences among cell types to PDGF binding (4). Ligand binding induces receptor dimerization and autophosphorylation, followed by binding and activation of cytoplasmic SH2 domain-containing signal transduction molecules, such as GRB2, Src, GAP, PI3 kinase, PLCγ, and NCK. A number of different signaling pathways are initiated by activated PDGF receptors and lead to control of cell growth, actin reorganization, migration, and differentiation (5).
    Phosphorylation of PDGFRα at Tyr762 was identified at Cell Signaling Technology using PTMScan®, our LC-MS/MS platform for phosphorylation site discovery (6). Tyr762 is located in the activation loop of the PDGFRα kinase domain. Phosphorylation of PDGFRα at this site was also reported by several other labs to be a docking site for CrkII and CrkL upon induction by growth factor treatment (7,8).

    Alternate Names

    Alpha platelet-derived growth factor receptor; Alpha-type platelet-derived growth factor receptor; CD140; CD140 antigen-like family member A; CD140A; CD140a antigen; MGC74795; PDGF-R-alpha; PDGFR alpha; PDGFR-2; PDGFR-alpha; PDGFR2; PDGFRA; PDGFRalpha; PGFRA; platelet derived growth factor receptor alpha; Platelet-derived growth factor alpha receptor; Platelet-derived growth factor receptor 2; Platelet-derived growth factor receptor alpha; platelet-derived growth factor receptor, alpha polypeptide; rearranged-in-hypereosinophilia-platelet derived growth factor receptor alpha fusion protein; RHEPDGFRA

    For Research Use Only. Not for Use in Diagnostic Procedures.
    Cell Signaling Technology is a trademark of Cell Signaling Technology, Inc.
    PTMScan is a registered trademark of Cell Signaling Technology, Inc.
    All other trademarks are the property of their respective owners. Visit our Trademark Information page.