Render Target: STATIC
Render Timestamp:
5/21/2026, 7:22:53 AM EDT
5/21/2026, 11:22:53 AM UTC
Commit: 7ed46ecc04b401f23a28df741b5078df405d23e4
XML generation date: 2025-11-12 16:11:34.273
Product last modified at: 2026-03-20T08:00:33.856Z
Cell Signaling Technology Logo - Extra Large
1% for the planet logo
PDP - Template Name: Monoclonal Antibody
PDP - Template ID: *******c5e4b77
Trial Size Available Flag
Recombinant Flag
Recombinant: Superior lot-to-lot consistency, continuous supply, and animal-free manufacturing.

Phospho-PKA Substrate (RRXS*/T*) (100G7E) Rabbit Monoclonal Antibody #9624

Filter:
  • WB
  • IP

    Product Specifications

    REACTIVITY All
    SENSITIVITY Endogenous
    MW (kDa)
    Source/Isotype Rabbit IgG
    Application Key:
    • WB-Western Blotting 
    • IP-Immunoprecipitation 
    Species Cross-Reactivity Key:
    • All-All Species Expected 

    Product Information

    Product Usage Information

    Application Dilution
    Western Blotting 1:1000
    Immunoprecipitation 1:50
    Peptide ELISA (DELFIA) 1:1000

    Storage

    Supplied in 10 mM sodium HEPES (pH 7.5), 150 mM NaCl, 100 µg/ml BSA, 50% glycerol and less than 0.02% sodium azide. Store at –20°C. Do not aliquot the antibody.

    Protocol

    Specificity / Sensitivity

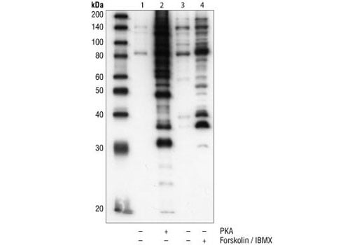
    Phospho-PKA Substrate (RRXS*/T*) (100G7E) Rabbit Monoclonal Antibody detects peptides and proteins containing a phospho-Ser/Thr residue with arginine at the -3 and -2 positions. This antibody is a useful tool in identifying new substrates of PKA. This antibody recognizes other -3 arginine-bearing phospho-Ser/Thr peptides, such as substrate motifs for Akt and PKC, to a lesser extent. This antibody does not recognize the nonphosphorylated substrate motif peptides.

    Species Reactivity:

    All Species Expected

    Source / Purification

    Monoclonal antibody is produced by immunizing animals with synthetic phospho-PKA substrate peptides .

    Background

    An important class of kinases, refered to as Arg-directed kinases or AGC-family kinases, includes cAMP-dependent protein kinase (PKA), cGMP-dependent protein kinase (PKG), protein kinase C, Akt and RSK. These kinases share a substrate specificity characterized by Arg at position -3 relative to the phosphorylated Ser or Thr (1,2). Phospho-PKA substrate-specific antibodies from Cell Signaling Technology are powerful tools for investigating the regulation of phosphorylation by PKA and other Arg-directed kinases, as well as for high throughput kinase drug discovery.
    For Research Use Only. Not for Use in Diagnostic Procedures.
    Cell Signaling Technology is a trademark of Cell Signaling Technology, Inc.
    All other trademarks are the property of their respective owners. Visit our Trademark Information page.