Render Target: STATIC
Render Timestamp:
5/29/2026, 6:42:43 AM EDT
5/29/2026, 10:42:43 AM UTC
Commit: 7ed46ecc04b401f23a28df741b5078df405d23e4
XML generation date: 2026-01-05 21:01:09.442
Product last modified at: 2026-03-20T08:03:45.721Z
Cell Signaling Technology Logo - Extra Large
1% for the planet logo
PDP - Template Name: Monoclonal Antibody
PDP - Template ID: *******c5e4b77
Recombinant Flag
Recombinant: Superior lot-to-lot consistency, continuous supply, and animal-free manufacturing.

Phospho-PLC gamma1 (Tyr783) (D6M9S) Rabbit Monoclonal Antibody (BSA and Azide Free) #36721

Filter:
  • WB
  • F

    Product Specifications

    REACTIVITY H M
    SENSITIVITY Endogenous
    MW (kDa) 155
    Source/Isotype Rabbit IgG
    Application Key:
    • WB-Western Blotting 
    • F-Flow Cytometry 
    Species Cross-Reactivity Key:
    • H-Human 
    • M-Mouse 

    Product Information

    Product Usage Information

    This product is the carrier free version of product #14008. All data were generated using the same antibody clone in the standard formulation which contains BSA and glycerol.

    This formulation is ideal for use with technologies requiring specialized or custom antibody labeling, including fluorophores, metals, lanthanides, and oligonucleotides. It is not recommended for ChIP, ChIP-seq, CUT&RUN or CUT&Tag assays. If you require a carrier free formulation for chromatin profiling, please contact us. Optimal dilutions/concentrations should be determined by the end user.

    BSA and Azide Free antibodies are quality control tested by size exclusion chromatography (SEC) to determine antibody integrity.

    Formulation

    Supplied in 1X PBS (10 mM Na2HPO4, 3 mM KCl, 2 mM KH2PO4, and 140 mM NaCl (pH 7.8)). BSA and Azide Free.

    For standard formulation of this product see product #14008.

    Storage

    Store at -20°C. This product will freeze at -20°C so it is recommended to aliquot into single-use vials to avoid multiple freeze/thaw cycles. A slight precipitate may be present and can be dissolved by gently vortexing. This will not interfere with antibody performance.

    Specificity / Sensitivity

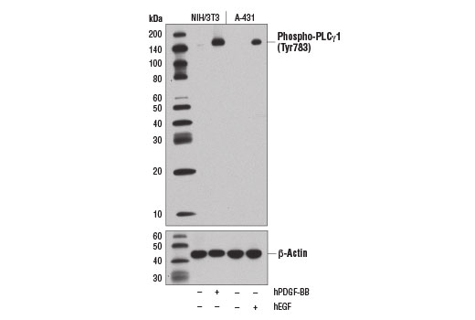
    Phospho-PLC gamma1 (Tyr783) (D6M9S) Rabbit Monoclonal Antibody (BSA and Azide Free) recognizes endogenous levels of PLCγ1 protein only when phosphorylated at Tyr783.

    Species Reactivity:

    Human, Mouse

    The antigen sequence used to produce this antibody shares 100% sequence homology with the species listed here, but reactivity has not been tested or confirmed to work by CST. Use of this product with these species is not covered under our Product Performance Guarantee.

    Species predicted to react based on 100% sequence homology:

    Rat, Xenopus, Bovine, Dog

    Source / Purification

    Monoclonal antibody is produced by immunizing animals with a synthetic phosphopeptide corresponding to residues surrounding Tyr783 of human PLCγ1 protein.

    Background

    Phosphoinositide-specific phospholipase C (PLC) plays a significant role in transmembrane signaling. In response to extracellular stimuli, such as hormones, growth factors, and neurotransmitters, PLC hydrolyzes phosphatidylinositol 4,5-bisphosphate (PIP2) to generate two secondary messengers: inositol 1,4,5-triphosphate (IP3) and diacylglycerol (DAG) (1). At least four families of PLCs have been identified: PLCβ, PLCγ, PLCδ, and PLCε. Phosphorylation is one of the key mechanisms that regulate the activity of PLC. PLCγ is activated by both receptor and non-receptor tyrosine kinases (2). PLCγ forms a complex with EGF and PDGF receptors, which leads to the phosphorylation of PLCγ at Tyr771, 783, and 1248 (3). Phosphorylation by Syk at Tyr783 activates the enzymatic activity of PLCγ1 (4). PLCγ2 is engaged in antigen-dependent signaling in B cells and collagen-dependent signaling in platelets. Phosphorylation by Btk or Lck at Tyr753, 759, 1197, and 1217 is correlated with PLCγ2 activity (5,6).

    Alternate Names

    1-phosphatidyl-D-myo-inositol-4,5-bisphosphate; 1-phosphatidylinositol 4,5-bisphosphate phosphodiesterase gamma-1; 1-phosphatidylinositol-4,5-bisphosphate phosphodiesterase gamma 1; 1-phosphatidylinositol-4,5-bisphosphate phosphodiesterase gamma-1; inositoltrisphosphohydrolase; monophosphatidylinositol phosphodiesterase; NCKAP3; phosphatidylinositol phospholipase C; phosphoinositidase C; phosphoinositide phospholipase C; Phosphoinositide phospholipase C-gamma-1; phospholipase C gamma 1; phospholipase C-148; Phospholipase C-gamma-1; Phospholipase C-II; phospholipase C, gamma 1; phospholipase C, gamma 1 (formerly subtype 148); PLC-148; PLC-gamma-1; PLC-II; PLC1; PLC148; PLCG1; PLCgamma1; triphosphoinositide phosphodiesterase

    For Research Use Only. Not for Use in Diagnostic Procedures.
    Cell Signaling Technology is a trademark of Cell Signaling Technology, Inc.
    All other trademarks are the property of their respective owners. Visit our Trademark Information page.