Phospho-PLK1 (Thr210) Antibody #5472
- WB
Product Specifications
| REACTIVITY | H |
| SENSITIVITY | Endogenous |
| MW (kDa) | 62 |
| SOURCE | Rabbit |
Application Key:
- WB-Western Blotting
Species Cross-Reactivity Key:
- H-Human
Product Information
Product Usage Information
| Application | Dilution |
|---|---|
| Western Blotting | 1:1000 |
Storage
Protocol
Specificity / Sensitivity
Species Reactivity:
The antigen sequence used to produce this antibody shares 100% sequence homology with the species listed here, but reactivity has not been tested or confirmed to work by CST. Use of this product with these species is not covered under our Product Performance Guarantee.
Species predicted to react based on 100% sequence homology:
Source / Purification
Background
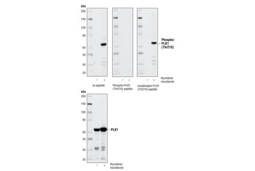
Substitution of Thr210 with Asp has been reported to elevate PLK1 kinase activity and delay/arrest cells in mitosis, while a Ser137Asp substitution leads to S-phase arrest (12). In addition, while DNA damage has been found to inhibit PLK1 kinase activity, the Thr210Asp mutant is resistant to this inhibition (13). PLK1 has been reported to be phosphorylated in vivo at Ser137 and Thr210 in mitosis; DNA damage prevents phosphorylation at these sites (14).
- Nigg, E.A. (1998) Curr Opin Cell Biol 10, 776-83.
- Toyoshima-Morimoto, F. et al. (2002) EMBO Rep 3, 341-8.
- Toyoshima-Morimoto, F. et al. (2001) Nature 410, 215-20.
- Peter, M. et al. (2002) EMBO Rep 3, 551-6.
- Jackman, M. et al. (2003) Nat Cell Biol 5, 143-8.
- Nakajima, H. et al. (2003) J Biol Chem 278, 25277-80.
- Sumara, I. et al. (2002) Mol Cell 9, 515-25.
- Hauf, S. et al. (2001) Science 293, 1320-3.
- Peters, J.M. (1999) Exp. Cell Res. 248, 339-49.
- Kraft, C. et al. (2003) EMBO J 22, 6598-609.
- Kotani, S. et al. (1998) Mol Cell 1, 371-80.
- Jang, Y.J. et al. (2002) J Biol Chem 277, 44115-20.
- Smits, V.A. et al. (2000) Nat Cell Biol 2, 672-6.
- Tsvetkov, L. and Stern, D.F. (2005) Cell Cycle 4, 166-71.
Alternate Names
cell cycle regulated protein kinase; PLK; PLK-1; PLK1; polo (Drosophia)-like kinase; polo like kinase; polo like kinase 1; Polo-like kinase 1; polo-like kinase 1 (Drosophila); Serine/threonine-protein kinase 13; Serine/threonine-protein kinase PLK1; STPK13
Limited Uses
Except as otherwise expressly agreed in a writing signed by a legally authorized representative of CST, the following terms apply to Products provided by CST, its affiliates or its distributors. Any Customer's terms and conditions that are in addition to, or different from, those contained herein, unless separately accepted in writing by a legally authorized representative of CST, are rejected and are of no force or effect.
Products are labeled with For Research Use Only or a similar labeling statement and have not been approved, cleared, or licensed by the FDA or other regulatory foreign or domestic entity, for any purpose. Customer shall not use any Product for any diagnostic or therapeutic purpose, or otherwise in any manner that conflicts with its labeling statement. Products sold or licensed by CST are provided for Customer as the end-user and solely for research and development uses. Any use of Product for diagnostic, prophylactic or therapeutic purposes, or any purchase of Product for resale (alone or as a component) or other commercial purpose, requires a separate license from CST. Customer shall (a) not sell, license, loan, donate or otherwise transfer or make available any Product to any third party, whether alone or in combination with other materials, or use the Products to manufacture any commercial products, (b) not copy, modify, reverse engineer, decompile, disassemble or otherwise attempt to discover the underlying structure or technology of the Products, or use the Products for the purpose of developing any products or services that would compete with CST products or services, (c) not alter or remove from the Products any trademarks, trade names, logos, patent or copyright notices or markings, (d) use the Products solely in accordance with CST Product Terms of Sale and any applicable documentation, and (e) comply with any license, terms of service or similar agreement with respect to any third party products or services used by Customer in connection with the Products.