Render Target: STATIC
Render Timestamp:
5/22/2026, 6:45:46 AM EDT
5/22/2026, 10:45:46 AM UTC
Commit: 7ed46ecc04b401f23a28df741b5078df405d23e4
XML generation date: 2026-02-24 18:32:09.461
Product last modified at: 2026-03-20T08:05:46.834Z
Cell Signaling Technology Logo - Extra Large
1% for the planet logo
PDP - Template Name: Monoclonal Antibody
PDP - Template ID: *******c5e4b77
Trial Size Available Flag
Recombinant Flag
Recombinant: Superior lot-to-lot consistency, continuous supply, and animal-free manufacturing.

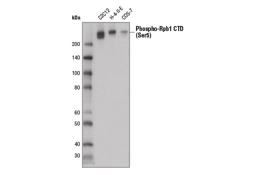
Phospho-Rpb1 CTD (Ser5) (D9N5I) Rabbit Monoclonal Antibody #13523

Filter:
  • WB
  • IP
  • ChIP
  • C&R
  • C&T

Explore our Rpb1 Portfolio of Products for ChIP

Compare Data

    Product Specifications

    REACTIVITY H M R Mk
    SENSITIVITY Endogenous
    MW (kDa) 250
    Source/Isotype Rabbit IgG
    Application Key:
    • WB-Western Blotting 
    • IP-Immunoprecipitation 
    • ChIP-Chromatin Immunoprecipitation 
    • C&R-CUT & RUN 
    • C&T-CUT & Tag 
    Species Cross-Reactivity Key:
    • H-Human 
    • M-Mouse 
    • R-Rat 
    • Mk-Monkey 

    Product Information

    Product Usage Information

    For optimal ChIP and ChIP-seq results, use 10 μl of antibody and 10 μg of chromatin (approximately 4 x 106 cells) per IP. This antibody has been validated using SimpleChIP® Enzymatic Chromatin IP Kits.

    The CUT&RUN dilution was determined using CUT&RUN Assay Kit #86652.

    The CUT&Tag dilution was determined using CUT&Tag Assay Kit #77552.

    Application Dilution
    Western Blotting 1:1000
    Simple Western™ 1:10 - 1:50
    Immunoprecipitation 1:100
    Chromatin IP 1:50
    Chromatin IP-seq 1:50
    CUT&RUN 1:50
    CUT&Tag 1:50

    Storage

    Supplied in 10 mM sodium HEPES (pH 7.5), 150 mM NaCl, 100 µg/ml BSA, 50% glycerol and less than 0.02% sodium azide. Store at –20°C. Do not aliquot the antibody.

    Protocol

    Specificity / Sensitivity

    Phospho-Rpb1 CTD (Ser5) (D9N5I) Rabbit Monoclonal Antibody recognizes endogenous levels of Rpb1 only when the carboxy-terminal domain (CTD) heptapeptide repeat [Tyr1, Ser2, Pro3, Thr4, Ser5, Pro6, Ser7] is phosphorylated at Ser5. This antibody does not cross-react with Rpb1 CTD phosphorylated at Ser2 or Ser7.

    Species Reactivity:

    Human, Mouse, Rat, Monkey

    The antigen sequence used to produce this antibody shares 100% sequence homology with the species listed here, but reactivity has not been tested or confirmed to work by CST. Use of this product with these species is not covered under our Product Performance Guarantee.

    Species predicted to react based on 100% sequence homology:

    Hamster, D. melanogaster, Xenopus, Bovine, Pig, S. cerevisiae, C. elegans

    Source / Purification

    Monoclonal antibody is produced by immunizing animals with a synthetic phosphopeptide corresponding to residues surrounding Ser5 of the human Rpb1 CTD heptapeptide repeat.

    Background

    RNA polymerase II (RNAPII) is a large multi-protein complex that functions as a DNA-dependent RNA polymerase, catalyzing the transcription of DNA into RNA using the four ribonucleoside triphosphates as substrates (1). The largest subunit, RNAPII subunit B1 (Rpb1), also known as RNAPII subunit A (POLR2A), contains a unique heptapeptide sequence (Tyr1,Ser2,Pro3,Thr4,Ser5,Pro6,Ser7), which is repeated up to 52 times in the carboxy-terminal domain (CTD) of the protein (1). This CTD heptapeptide repeat is subject to multiple post-translational modifications, which dictate the functional state of the polymerase complex. Phosphorylation of the CTD during the active transcription cycle integrates transcription with chromatin remodeling and nascent RNA processing by regulating the recruitment of chromatin modifying enzymes and RNA processing proteins to the transcribed gene (1). During transcription initiation, RNAPII contains a hypophosphorylated CTD and is recruited to gene promoters through interactions with DNA-bound transcription factors and the Mediator complex (1). The escape of RNAPII from gene promoters requires phosphorylation at Ser5 by CDK7, the catalytic subunit of transcription factor IIH (TFIIH) (2). Phosphorylation at Ser5 mediates the recruitment of RNA capping enzymes, in addition to histone H3 Lys4 methyltransferases, which function to regulate transcription initiation and chromatin structure (3,4). After promoter escape, RNAPII proceeds down the gene to an intrinsic pause site, where it is halted by the negative elongation factors NELF and DSIF (5). At this point, RNAPII is unstable and frequently aborts transcription and dissociates from the gene. Productive transcription elongation requires phosphorylation at Ser2 by CDK9, the catalytic subunit of the positive transcription elongation factor P-TEFb (6). Phosphorylation at Ser2 creates a stable transcription elongation complex and facilitates recruitment of RNA splicing and polyadenylation factors, in addition to histone H3 Lys36 methyltransferases, which function to promote elongation-compatible chromatin (7,8). Ser2/Ser5-phosphorylated RNAPII then transcribes the entire length of the gene to the 3' end, where transcription is terminated. RNAPII dissociates from the DNA and is recycled to the hypophosphorylated form by various CTD phosphatases (1).In addition to Ser2/Ser5 phosphorylation, Ser7 of the CTD heptapeptide repeat is also phosphorylated during the active transcription cycle. Phosphorylation at Ser7 is required for efficient transcription of small nuclear (sn) RNA genes (9,10). snRNA genes, which are neither spliced nor poly-adenylated, are structurally different from protein-coding genes. Instead of a poly(A) signal found in protein-coding RNAs, snRNAs contain a conserved 3'-box RNA processing element, which is recognized by the Integrator snRNA 3' end processing complex (11,12). Phosphorylation at Ser7 by CDK7 during the early stages of transcription facilitates recruitment of RPAP2, which dephosphorylates Ser5, creating a dual Ser2/Ser7 phosphorylation mark that facilitates recruitment of the Integrator complex and efficient processing of nascent snRNA transcripts (13-15).

    Alternate Names

    DNA-directed RNA polymerase II largest subunit, RNA polymerase II 220 kd subunit; DNA-directed RNA polymerase II subunit A; DNA-directed RNA polymerase II subunit RPB1; DNA-directed RNA polymerase III largest subunit; hRPB220; hsRPB1; MGC75453; NEDHIB; POL II; POLR2; POLR2A; POLRA; polymerase (RNA) II (DNA directed) polypeptide A, 220kDa; polymerase (RNA) II subunit A; RNA polymerase II subunit A; RNA polymerase II subunit B1; RNA-directed RNA polymerase II subunit RPB1; RNAPII; RPB1; RPBh1; RpIILS; RPO2; RPOL2

    For Research Use Only. Not for Use in Diagnostic Procedures.
    Cell Signaling Technology is a trademark of Cell Signaling Technology, Inc.
    SimpleChIP is a registered trademark of Cell Signaling Technology, Inc.
    All other trademarks are the property of their respective owners. Visit our Trademark Information page.