Cell Signaling Technology Logo - Extra Large
Trial Size Available Flag
Recombinant Flag
Recombinant: Superior lot-to-lot consistency, continuous supply, and animal-free manufacturing.

Phospho-SLP-76 (Ser376) (D7S1K) Rabbit Monoclonal Antibody #92711

Filter:
  • WB
  • F

    Product Specifications

    REACTIVITY H
    SENSITIVITY Endogenous
    MW (kDa) 76
    Source/Isotype Rabbit IgG
    Application Key:
    • WB-Western Blotting 
    • F-Flow Cytometry 
    Species Cross-Reactivity Key:
    • H-Human 

    Product Information

    Product Usage Information

    Application Dilution
    Western Blotting 1:1000
    Flow Cytometry (Fixed/Permeabilized) 1:400

    Storage

    Supplied in 10 mM sodium HEPES (pH 7.5), 150 mM NaCl, 100 µg/ml BSA, 50% glycerol and less than 0.02% sodium azide. Store at –20°C. Do not aliquot the antibody.

    For a carrier free (BSA and azide free) version of this product see product #72511.

    Protocol

    Specificity / Sensitivity

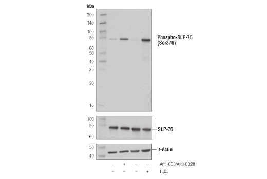
    Phospho-SLP-76 (Ser376) (D7S1K) Rabbit Monoclonal Antibody recognizes endogenous levels of SLP-76 protein only when phosphorylated at Ser376. This product reacts with mouse by western blot only. Clone E3G9U is more sensitive by flow cytometry than clone D7S1K.

    Species Reactivity:

    Human

    Source / Purification

    Monoclonal antibody is produced by immunizing animals with a synthetic phosphopeptide corresponding to residues surrounding Ser376 of human SLP-76 protein.

    Background

    SH2 domain-containing leukocyte protein of 76 kDa (SLP-76) is a hematopoietic adaptor protein that is important in multiple biochemical signaling pathways and necessary for T cell development and activation (1). ZAP-70 phosphorylates SLP-76 and LAT as a result of TCR ligation. SLP-76 has amino-terminal tyrosine residues followed by a proline-rich domain and a carboxy-terminal SH2 domain. Phosphorylation of Tyr113 and Tyr128 result in recruitment of the GEF Vav and the adaptor protein Nck (2). TCR ligation also leads to phosphorylation of Tyr145, which mediates an association between SLP-76 and Itk, which is accomplished in part via the proline-rich domain of SLP-76 and the SH3 domain of Itk (3). Furthermore, the proline-rich domain of SLP-76 binds to the SH3 domains of Grb2-like adaptor Gads (3,4). In resting cells, SLP-76 is predominantly in the cytosol. Upon TCR ligation, SLP-76 translocates to the plasma membrane and promotes the assembly of a multi-protein signaling complex that includes Vav, Nck, Itk, and PLCγ1 (1). The expression of SLP-76 is tightly regulated; the protein is detected at very early stages of thymocyte development, increases as thymocyte maturation progresses, and is reduced as cells mature to CD4+ CD8+ double-positive thymocytes (5).

    Following TCR ligation, SLP-76 is phosphorylated at Ser376 by the hematopoietic progenitor kinase 1 (HPK1) (6,7). This phosphorylation induces interaction with 14-3-3ε, which leads to the disassembly of TCR signaling complexes and downregulation of TCR signaling (6-8).

    Alternate Names

    76 kDa tyrosine phosphoprotein; LCP2; Lymphocyte cytosolic protein 2; lymphocyte cytosolic protein 2 (SH2 domain containing leukocyte protein of 76kDa); SH2 domain-containing leukocyte protein of 76 kDa; SH2 domain-containing leukocyte protein of 76kD; SLP-76; SLP-76 tyrosine phosphoprotein; SLP76

    For Research Use Only. Not for Use in Diagnostic Procedures.
    Cell Signaling Technology is a trademark of Cell Signaling Technology, Inc.
    Alexa Fluor is a registered trademark of Life Technologies Corporation.
    All other trademarks are the property of their respective owners. Visit our Trademark Information page.