Cell Signaling Technology Logo - Extra Large
Recombinant Flag
Recombinant: Superior lot-to-lot consistency, continuous supply, and animal-free manufacturing.

Phospho-Stat5 (Tyr694) (C71E5) Rabbit Monoclonal Antibody (BSA and Azide Free) #40284

Filter:
  • WB
  • IHC
  • IF
  • F

    Product Specifications

    REACTIVITY H M
    SENSITIVITY Endogenous
    MW (kDa) 90
    Source/Isotype Rabbit IgG
    Application Key:
    • WB-Western Blotting 
    • IHC-Immunohistochemistry 
    • IF-Immunofluorescence 
    • F-Flow Cytometry 
    Species Cross-Reactivity Key:
    • H-Human 
    • M-Mouse 

    Product Information

    Product Usage Information

    This product is the carrier free version of product #9314. All data were generated using the same antibody clone in the standard formulation which contains BSA and glycerol.

    This formulation is ideal for use with technologies requiring specialized or custom antibody labeling, including fluorophores, metals, lanthanides, and oligonucleotides. It is not recommended for ChIP, ChIP-seq, CUT&RUN or CUT&Tag assays. If you require a carrier free formulation for chromatin profiling, please contact us. Optimal dilutions/concentrations should be determined by the end user.

    BSA and Azide Free antibodies are quality control tested by size exclusion chromatography (SEC) to determine antibody integrity.

    Formulation

    Supplied in 1X PBS (10 mM Na2HPO4, 3 mM KCl, 2 mM KH2PO4, and 140 mM NaCl (pH 7.8)). BSA and Azide Free.

    For standard formulation of this product see product #9314.

    Storage

    Store at -20°C. This product will freeze at -20°C so it is recommended to aliquot into single-use vials to avoid multiple freeze/thaw cycles. A slight precipitate may be present and can be dissolved by gently vortexing. This will not interfere with antibody performance.

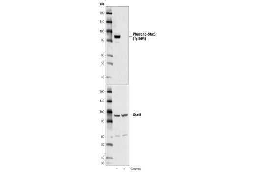
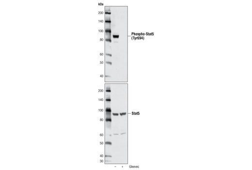
    Specificity / Sensitivity

    Phospho-Stat5 (Tyr694) (C71E5) Rabbit Monoclonal Antibody (BSA and Azide Free) detects endogenous levels of Stat5a only when phosphorylated at Tyr694 and Stat5b when phosphorylated at Tyr699.

    Species Reactivity:

    Human, Mouse

    The antigen sequence used to produce this antibody shares 100% sequence homology with the species listed here, but reactivity has not been tested or confirmed to work by CST. Use of this product with these species is not covered under our Product Performance Guarantee.

    Species predicted to react based on 100% sequence homology:

    Rat, Bovine

    Source / Purification

    Monoclonal antibody is produced by immunizing animals with a synthetic peptide corresponding to residues surrounding Tyr694 of Stat5.

    Background

    Stat5 is activated in response to a wide variety of ligands, including IL-2, GM-CSF, growth hormone, and prolactin. Phosphorylation at Tyr694 is obligatory for Stat5 activation (1,2). This phosphorylation is mediated by Src upon erythropoietin stimulation (3). Stat5 is constitutively active in some leukemic cell types (4). Phosphorylated Stat5 is found in some endothelial cells treated with IL-3, which suggests its involvement in angiogenesis and cell motility (5). Stat5a and Stat5b are independently regulated and activated in various cell types. For instance, interferon treatment predominantly activates Stat5a in U-937 cells and Stat5b in HeLa cells (6).

    Alternate Names

    epididymis secretory sperm binding protein; GHISID2; MGF; Signal transducer and activator of transcription 5A; Signal transducer and activator of transcription 5B; STA5A; STA5B; STAT5; STAT5A; STAT5B; transcription factor STAT5B

    For Research Use Only. Not for Use in Diagnostic Procedures.
    Cell Signaling Technology is a trademark of Cell Signaling Technology, Inc.
    U.S. Patent No. 7,429,487, foreign equivalents, and child patents deriving therefrom.
    All other trademarks are the property of their respective owners. Visit our Trademark Information page.