Cell Signaling Technology Logo - Extra Large
Trial Size Available Flag
Recombinant Flag
Recombinant: Superior lot-to-lot consistency, continuous supply, and animal-free manufacturing.

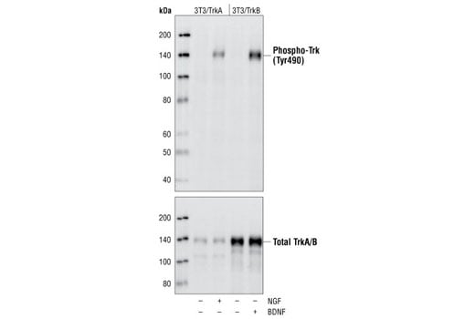
Phospho-TrkA (Tyr490)/TrkB (Tyr516) (C35G9) Rabbit Monoclonal Antibody #4619

Filter:
  • WB
  • IP

    Product Specifications

    REACTIVITY H R
    SENSITIVITY Endogenous
    MW (kDa) 140
    Source/Isotype Rabbit IgG
    Application Key:
    • WB-Western Blotting 
    • IP-Immunoprecipitation 
    Species Cross-Reactivity Key:
    • H-Human 
    • R-Rat 

    Product Information

    Product Usage Information

    Application Dilution
    Western Blotting 1:1000
    Immunoprecipitation 1:50

    Storage

    Supplied in 10 mM sodium HEPES (pH 7.5), 150 mM NaCl, 100 µg/ml BSA, 50% glycerol and less than 0.02% sodium azide. Store at –20°C. Do not aliquot the antibody.

    For a carrier free (BSA and azide free) version of this product see product #71761.

    Protocol

    Specificity / Sensitivity

    Phospho-TrkA (Tyr490)/TrkB (Tyr516) (C35G9) Rabbit Monoclonal Antibody detects endogenous levels of TrkA and TrkB only when phosphorylated at Tyr490 and Tyr516, respectively. This antibody may cross-react with Bcr-Abl phosphorylated at an unkown tyrosine residue.

    Species Reactivity:

    Human, Rat

    The antigen sequence used to produce this antibody shares 100% sequence homology with the species listed here, but reactivity has not been tested or confirmed to work by CST. Use of this product with these species is not covered under our Product Performance Guarantee.

    Species predicted to react based on 100% sequence homology:

    Mouse

    Source / Purification

    Monoclonal antibody is produced by immunizing animals with a synthetic phosphopeptide corresponding to residues surrounding Tyr490 of human TrkA.

    Background

    The family of Trk receptor tyrosine kinases consists of TrkA, TrkB, and TrkC. While the sequence of these family members is highly conserved, they are activated by different neurotrophins: TrkA by NGF, TrkB by BDNF or NT4, and TrkC by NT3 (1). Neurotrophin signaling through these receptors regulates a number of physiological processes, such as cell survival, proliferation, neural development, and axon and dendrite growth and patterning (1). In the adult nervous system, the Trk receptors regulate synaptic strength and plasticity. TrkA regulates proliferation and is important for development and maturation of the nervous system (2). Phosphorylation at Tyr490 is required for Shc association and activation of the Ras-MAP kinase cascade (3,4). Residues Tyr674/675 lie within the catalytic domain, and phosphorylation at these sites reflects TrkA kinase activity (3-6). Point mutations, deletions, and chromosomal rearrangements (chimeras) cause ligand-independent receptor dimerization and activation of TrkA (7-10). TrkA is activated in many malignancies including breast, ovarian, prostate, and thyroid carcinomas (8-13). Research studies suggest that expression of TrkA in neuroblastomas may be a good prognostic marker as TrkA signals growth arrest and differentiation of cells originating from the neural crest (10).
    The phosphorylation sites are conserved between TrkA and TrkB: Tyr490 of TrkA corresponds to Tyr512 in TrkB, and Tyr674/675 of TrkA to Tyr706/707 in TrkB of the human sequence (14). TrkB is overexpressed in tumors, such as neuroblastoma, prostate adenocarcinoma, and pancreatic ductal adenocarcinoma (15). Research studies have shown that in neuroblastomas, overexpression of TrkB correlates with an unfavorable disease outcome when autocrine loops signaling tumor survival are potentiated by additional overexpression of brain-derived neurotrophic factor (BDNF) (16-18). An alternatively spliced truncated TrkB isoform lacking the kinase domain is overexpressed in Wilms’ tumors and this isoform may act as a dominant-negative regulator of TrkB signaling (17).
    1. Huang, E.J. and Reichardt, L.F. (2003) Annu Rev Biochem 72, 609-42.
    2. Segal, R.A. and Greenberg, M.E. (1996) Annu Rev Neurosci 19, 463-89.
    3. Stephens, R.M. et al. (1994) Neuron 12, 691-705.
    4. Marsh, H.N. et al. (2003) J Cell Biol 163, 999-1010.
    5. Obermeier, A. et al. (1993) EMBO J 12, 933-41.
    6. Obermeier, A. et al. (1994) EMBO J 13, 1585-90.
    7. Arevalo, J.C. et al. (2001) Oncogene 20, 1229-34.
    8. Reuther, G.W. et al. (2000) Mol Cell Biol 20, 8655-66.
    9. Greco, A. et al. (1997) Genes Chromosomes Cancer 19, 112-23.
    10. Pierotti, M.A. and Greco, A. (2006) Cancer Lett 232, 90-8.
    11. Lagadec, C. et al. (2009) Oncogene 28, 1960-70.
    12. Greco, A. et al. (2010) Mol Cell Endocrinol 321, 44-9.
    13. Ødegaard, E. et al. (2007) Hum Pathol 38, 140-6.
    14. Huang, E.J. and Reichardt, L.F. (2003) Annu. Rev. Biochem. 72, 609-42.
    15. Geiger, T.R. and Peeper, D.S. (2005) Cancer Res 65, 7033-6.
    16. Han, L. et al. (2007) Med Hypotheses 68, 407-9.
    17. Aoyama, M. et al. (2001) Cancer Lett 164, 51-60.
    18. Desmet, C.J. and Peeper, D.S. (2006) Cell Mol Life Sci 63, 755-9.

    Alternate Names

    BDNF-tropomyosine receptor kinase B; BDNF/NT-3 growth factors receptor; DKFZp781I14186; EIEE58; gp140trk; GP145-TrkB; High affinity nerve growth factor receptor; MTC; neurotrophic receptor tyrosine kinase 1; neurotrophic receptor tyrosine kinase 2; Neurotrophic tyrosine kinase receptor type 1; Neurotrophic tyrosine kinase receptor type 2; neurotrophic tyrosine kinase, receptor, type 1; neurotrophic tyrosine kinase, receptor, type 2; NTRK1; NTRK2; OBHD; Oncogene TRK; p140-TrkA; TRK; Trk-A; Trk-B; TRK1; TRK1-transforming tyrosine kinase protein; TRKA; TRKB; TrkB tyrosine kinase; Tropomyosin-related kinase A; Tropomyosin-related kinase B; Tyrosine kinase receptor; tyrosine kinase receptor A; tyrosine kinase receptor B

    For Research Use Only. Not for Use in Diagnostic Procedures.
    Cell Signaling Technology is a trademark of Cell Signaling Technology, Inc.
    U.S. Patent No. 7,429,487, foreign equivalents, and child patents deriving therefrom.
    All other trademarks are the property of their respective owners. Visit our Trademark Information page.