Cell Signaling Technology Logo - Extra Large
Trial Size Available Flag
Recombinant Flag
Recombinant: Superior lot-to-lot consistency, continuous supply, and animal-free manufacturing.

Phospho-ULK1 (Ser638) (D8K9O) Rabbit Monoclonal Antibody #14205

Filter:
  • WB

    Product Specifications

    REACTIVITY H M Mk
    SENSITIVITY Endogenous
    MW (kDa) 140-150
    Source/Isotype Rabbit IgG
    Application Key:
    • WB-Western Blotting 
    Species Cross-Reactivity Key:
    • H-Human 
    • M-Mouse 
    • Mk-Monkey 

    Product Information

    Product Usage Information

    Application Dilution
    Western Blotting 1:1000

    Storage

    Supplied in 10 mM sodium HEPES (pH 7.5), 150 mM NaCl, 100 µg/ml BSA, 50% glycerol and less than 0.02% sodium azide. Store at –20°C. Do not aliquot the antibody.

    For a carrier free (BSA and azide free) version of this product see product #92582.

    Protocol

    Specificity / Sensitivity

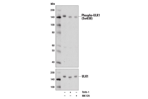
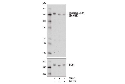
    Phospho-ULK1 (Ser638) (D8K9O) Rabbit Monoclonal Antibody recognizes endogenous levels of ULK1 protein only when phosphorylated at Ser638.

    Species Reactivity:

    Human, Mouse, Monkey

    Source / Purification

    Monoclonal antibody is produced by immunizing animals with a synthetic phosphopeptide corresponding to residues surrounding Ser638 of human ULK1 protein.

    Background

    Two related serine/threonine kinases, UNC-51-like kinase 1 and 2 (ULK1, ULK2), were discovered as mammalian homologs of the C. elegans gene unc-51 in which mutants exhibited abnormal axonal extension and growth (1-4). Both proteins are widely expressed and contain an amino-terminal kinase domain followed by a central proline/serine rich domain and a highly conserved carboxy-terminal domain. The roles of ULK1 and ULK2 in axon growth have been linked to studies showing that the kinases are localized to neuronal growth cones and are involved in endocytosis of critical growth factors, such as NGF (5). Yeast two-hybrid studies found ULK1/2 associated with modulators of the endocytic pathway, SynGAP, and syntenin (6). Structural similarity of ULK1/2 has also been recognized with the yeast autophagy protein Atg1/Apg1 (7). Knockdown experiments using siRNA demonstrated that ULK1 is essential for autophagy (8), a catabolic process for the degradation of bulk cytoplasmic contents (9,10). It appears that Atg1/ULK1 can act as a convergence point for multiple signals that control autophagy (11), and can bind to several autophagy-related (Atg) proteins, regulating phosphorylation states and protein trafficking (12-16).~Phosphorylation of ULK1 at Ser638 and Ser757 is mediated by mTOR, which is a regulator of cell growth and an inhibitor of autophagy that disrupts the interaction between ULK1 and AMPK (17,18). Conversely, AMPK is activated during low nutrient conditions and directly phosphorylates ULK1 at multiple sites including Ser317, Ser555, and Ser777 (17-19).
    1. Ogura, K. et al. (1994) Genes Dev 8, 2389-400.
    2. Kuroyanagi, H. et al. (1998) Genomics 51, 76-85.
    3. Yan, J. et al. (1998) Biochem Biophys Res Commun 246, 222-7.
    4. Yan, J. et al. (1999) Oncogene 18, 5850-9.
    5. Zhou, X. et al. (2007) Proc Natl Acad Sci USA 104, 5842-7.
    6. Tomoda, T. et al. (2004) Genes Dev 18, 541-58.
    7. Matsuura, A. et al. (1997) Gene 192, 245-50.
    8. Chan, E.Y. et al. (2007) J Biol Chem 282, 25464-74.
    9. Reggiori, F. and Klionsky, D.J. (2002) Eukaryot Cell 1, 11-21.
    10. Codogno, P. and Meijer, A.J. (2005) Cell Death Differ 12 Suppl 2, 1509-18.
    11. Stephan, J.S. and Herman, P.K. (2006) Autophagy 2, 146-8.
    12. Okazaki, N. et al. (2000) Brain Res Mol Brain Res 85, 1-12.
    13. Young, A.R. et al. (2006) J Cell Sci 119, 3888-900.
    14. Kamada, Y. et al. (2000) J Cell Biol 150, 1507-13.
    15. Lee, S.B. et al. (2007) EMBO Rep 8, 360-5.
    16. Hara, T. et al. (2008) J Cell Biol 181, 497-510.
    17. Kim, J. et al. (2011) Nat Cell Biol 13, 132-41.
    18. Shang, L. et al. (2011) Proc Natl Acad Sci U S A 108, 4788-93.
    19. Egan, D.F. et al. (2011) Science 331, 456-61.

    Alternate Names

    ATG1; ATG1 autophagy related 1 homolog; ATG1A; Autophagy-related protein 1 homolog; FLJ38455; FLJ46475; hATG1; KIAA0722; Serine/threonine-protein kinase ULK1; ULK1; unc-51 like autophagy activating kinase 1; Unc-51-like kinase 1; unc-51-like kinase 1 (C. elegans); UNC51; Unc51.1

    For Research Use Only. Not for Use in Diagnostic Procedures.
    Cell Signaling Technology is a trademark of Cell Signaling Technology, Inc.
    All other trademarks are the property of their respective owners. Visit our Trademark Information page.