Cell Signaling Technology Logo - Extra Large
Trial Size Available Flag
Recombinant Flag
Recombinant: Superior lot-to-lot consistency, continuous supply, and animal-free manufacturing.

Phospho-YB1 (Ser102) (C34A2) Rabbit Monoclonal Antibody #2900

Filter:
  • WB

    Product Specifications

    REACTIVITY H M Mk
    SENSITIVITY Endogenous
    MW (kDa) 49
    Source/Isotype Rabbit IgG
    Application Key:
    • WB-Western Blotting 
    Species Cross-Reactivity Key:
    • H-Human 
    • M-Mouse 
    • Mk-Monkey 

    Product Information

    Product Usage Information

    Application Dilution
    Western Blotting 1:1000

    Storage

    Supplied in 10 mM sodium HEPES (pH 7.5), 150 mM NaCl, 100 µg/ml BSA, 50% glycerol and less than 0.02% sodium azide. Store at –20°C. Do not aliquot the antibody.

    Protocol

    Specificity / Sensitivity

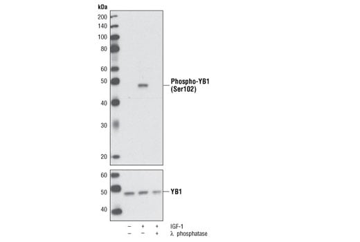
    Phospho-YB1 (Ser102) (C34A2) Rabbit Monoclonal Antibody detects endogenous levels of YB1 protein only when phosphorylated on Ser102.

    Species Reactivity:

    Human, Mouse, Monkey

    The antigen sequence used to produce this antibody shares 100% sequence homology with the species listed here, but reactivity has not been tested or confirmed to work by CST. Use of this product with these species is not covered under our Product Performance Guarantee.

    Species predicted to react based on 100% sequence homology:

    Rat, Bovine

    Source / Purification

    Monoclonal antibody is produced by immunizing animals with a synthetic phosphopeptide corresponding to residues surrounding Ser102 of the human YB1 protein.

    Background

    The Y-box binding protein 1 (YB1) belongs to a family of evolutionarily conserved, multifunctional Y-box proteins that bind single-stranded DNA and RNA and function as regulators of transcription, RNA metabolism, and protein synthesis (1). YB1 binds to Y-box sequences (TAACC) found in multiple gene promoters and can positively or negatively regulate transcription. YB1 activates genes associated with proliferation and cancer, such as cyclin A, cyclin B1, matrix metalloproteinase-2 (MMP-2), and the multi-drug resistance 1 (MDR1) gene (2-4). YB1 represses genes associated with cell death, including the Fas cell death-associated receptor and the p53 tumor suppressor gene (5-7). It also interacts with the RNA-splicing factor SRp30c and stabilizes interleukin-2 (IL-2) mRNA upon induction of T lymphocytes by IL-2 (8,9). The majority of YB1 protein localizes to the cytoplasm, with a minor pool found in the nucleus; however, nuclear localization appears to be critical for its role in promoting proliferation. Nuclear translocation is cell cycle regulated, with YB1 protein accumulating in the nucleus during G1/S phase (2). In addition, nuclear translocation is induced in response to extracellular stimuli such as hyperthermia and UV irradiation, or treatment of cells with thrombin, interferons, or insulin-like growth factor (IGF-I) (2,10). Treatment of the MCF7 breast cancer cell line with IGF-I results in Akt-mediated phosphorylation of YB1 at Ser102, which is required for nuclear translocation of YB1 and its ability to promote anchorage-independent growth (10). Research studies have shown that YB1 is overexpressed in many malignant tissues, including breast cancer, non-small cell lung carcinoma, ovarian adenocarcinomas, human osteosarcomas, colorectal carcinomas, and malignant melanomas. Investigators have shown that nuclear YB1 expression correlates with high levels of proliferation, drug resistance, and poor tumor prognosis (2,7,10).

    Alternate Names

    BP-8; CBF-A; CCAAT-binding transcription factor I subunit A; CSDA2; CSDB; DBPB; DNA-binding protein B; EFI-A; Enhancer factor I subunit A; major histocompatibility complex, class II, Y box-binding protein I; MDR-NF1; MGC104858; MGC110976; MGC117250; NSEP-1; NSEP1; nuclease sensitive element binding protein 1; Nuclease-sensitive element-binding protein 1; Y box binding protein 1; Y-box binding protein 1; Y-box transcription factor; Y-box-binding protein 1; YB-1; YB1; YBOX1; YBX1

    For Research Use Only. Not for Use in Diagnostic Procedures.
    Cell Signaling Technology is a trademark of Cell Signaling Technology, Inc.
    U.S. Patent No. 7,429,487, foreign equivalents, and child patents deriving therefrom.
    All other trademarks are the property of their respective owners. Visit our Trademark Information page.