Cell Signaling Technology Logo - Extra Large
Trial Size Available Flag
Recombinant Flag
Recombinant: Superior lot-to-lot consistency, continuous supply, and animal-free manufacturing.

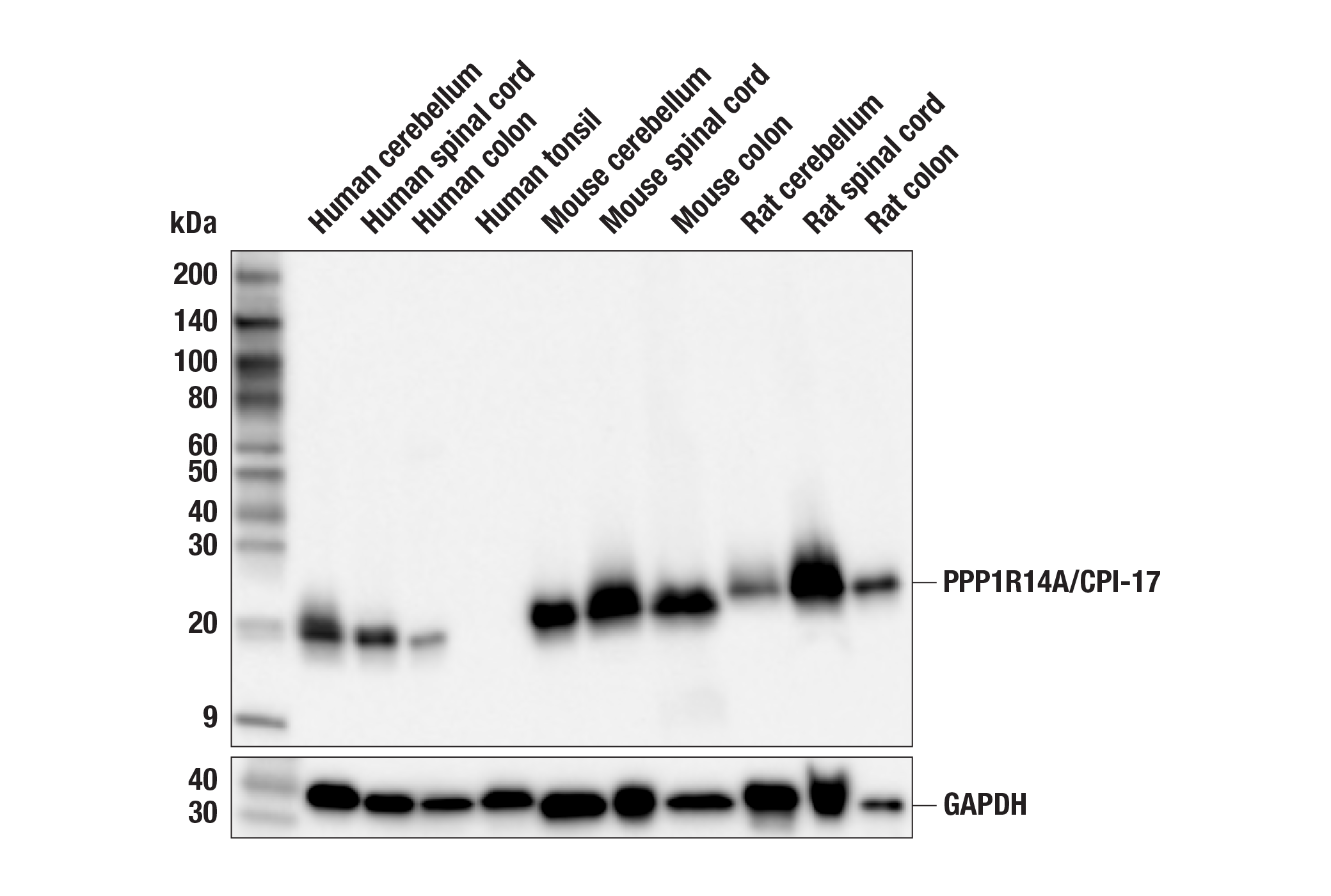
PPP1R14A/CPI-17 (F1I6X) Rabbit Monoclonal Antibody #66256

Filter:
  • WB
  • IP
  • IHC
  • IF

    Product Specifications

    REACTIVITY H M R
    SENSITIVITY Endogenous
    MW (kDa) 19, 17
    Source/Isotype Rabbit IgG
    Application Key:
    • WB-Western Blotting 
    • IP-Immunoprecipitation 
    • IHC-Immunohistochemistry 
    • IF-Immunofluorescence 
    Species Cross-Reactivity Key:
    • H-Human 
    • M-Mouse 
    • R-Rat 

    Product Information

    Product Usage Information

    Application Dilution
    Western Blotting 1:1000
    Immunoprecipitation 1:200
    Immunohistochemistry (Paraffin) 1:50 - 1:200
    Immunofluorescence (Immunocytochemistry) 1:1000 - 1:4000

    Storage

    Supplied in 10 mM sodium HEPES (pH 7.5), 150 mM NaCl, 100 µg/mL BSA, 50% glycerol, and less than 0.02% sodium azide. Store at –20°C. Do not aliquot the antibody.

    Protocol

    Specificity / Sensitivity

    PPP1R14A/CPI-17 (F1I6X) Rabbit Monoclonal Antibody recognizes endogenous levels of total PPP1R14A/CPI-17 protein. This antibody does not cross-react with PPP1R14B/PHI-1. This antibody detects a 70 kDa protein of unknown identity in some cell lines. Non-specific staining was observed at the apical membrane of normal human colon epithelium by immunohistochemistry. Immunocytochemistry reactivity is human only.

    Species Reactivity:

    Human, Mouse, Rat

    Source / Purification

    Monoclonal antibody is produced by immunizing animals with a synthetic peptide corresponding to residues near the amino terminus of human PPP1R14A/CPI-17 protein.

    Background

    Protein kinase C-potentiated inhibitor protein of 17 kDa (CPI-17), encoded by the protein phosphatase 1 (PP1) regulatory subunit 14A (PPP1R14A) gene, promotes smooth muscle contraction by inhibiting the activity of the PP1 holoenzyme, smooth muscle myosin phosphatase (MYPT1) (1). CPI-17 belongs to a family of proteins, including PPP1R14B/PHI-1, PPP1R14C/KEPI, and PPP1R14D/GEPI, that each specifically inhibits a subset of PP1 holoenzymes (1). CPI-17 expression, localization, and enzymatic activity are driven by a combination of epigenetic and posttranslational modifications, all of which have downstream effects on PP1-dependent cellular processes. CPI-17 is a substrate for PKC, ROCK1, ZIPK, MST3/MST4, and CaMKII, with established phosphorylation target sites at Ser12, Thr38, and Ser130 (1-6). Additional putative phosphorylation sites with as yet undefined upstream kinases may be regulated by luteinizing hormone signaling in rodent ovary (7). CPI-17 is translocated from the cytoplasm to the nucleus via the importin complex, and phosphorylation of CPI-17 at Ser12 disrupts the N-terminal nuclear localization signal (8). Nuclear CPI-17 inhibits PP1-mediated dephosphorylation of histone H3, and CPI-17 protein knockdown by siRNA decreased PANC-1 pancreatic carcinoma cell proliferation (8). Thr38 phosphorylation increases CPI-17 inhibitory activity 1,000-fold, and can be induced in vitro by upstream kinase agonists (9,10). In a pan-cancer analysis, PPP1R14A mRNA and protein expression were found to be decreased across a wide variety of cancer types, including breast, colon, and ovarian cancers, kidney renal clear cell carcinoma, lung adenocarcinoma, and uterine corpus endometrial carcinoma (11). The pan-cancer expression profile correlated with increased PPP1R14A promoter methylation (11). Increased PPP1R14A gene silencing by DNA methylation was also observed in nearly 80% of non-Hodgkin lymphoma patient samples relative to control B lymphocytes (12).

    Alternate Names

    17 kDa PKC-potentiated inhibitory protein of PP1; 17-KDa protein; 17-kDa PKC-potentiated inhibitory protein of PP1; 17-KDa protein; CPI-17; CPI17; PKC-potentiated inhibitory protein of PP1; PP14A; PPP1INL; PPP1R14A; Protein kinase C-potentiated inhibitor protein of 17 kDa; protein phosphatase 1 regulatory inhibitor subunit 14A; Protein phosphatase 1 regulatory subunit 14A; protein phosphatase 1, regulatory (inhibitor) subunit 14A

    For Research Use Only. Not for Use in Diagnostic Procedures.
    Cell Signaling Technology is a trademark of Cell Signaling Technology, Inc.
    All other trademarks are the property of their respective owners. Visit our Trademark Information page.