PRAME Antibody #45084
- WB
- IP
Product Specifications
| REACTIVITY | H |
| SENSITIVITY | Endogenous |
| MW (kDa) | 50 |
| SOURCE | Rabbit |
Application Key:
- WB-Western Blotting
- IP-Immunoprecipitation
Species Cross-Reactivity Key:
- H-Human
Product Information
Product Usage Information
| Application | Dilution |
|---|---|
| Western Blotting | 1:1000 |
| Immunoprecipitation | 1:200 |
Storage
Protocol
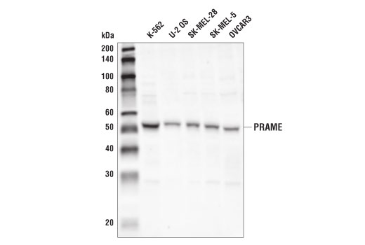
Specificity / Sensitivity
Species Reactivity:
Source / Purification
Background
PRAME (preferentially expressed antigen in melanoma) is a cancer/testis antigen not normally expressed in any tissues except testis, but is upregulated in tumors. PRAME is expressed in melanoma cells and is recognized by cytolytic T-cells (4). It is also upregulated in other diseases, such as synovial sarcoma (5), NSCLC (6), and breast cancer, where it is thought to contribute to tumorigenesis and metastasis (7). PRAME is also highly expressed in liquid tumors such as AML (8) and can be predictive of clinical outcome in some circumstances (9). PRAME and other cancer/testis antigens are currently being pursued as novel immunotherapy targets and diagnostic biomarkers (10).
- Caballero, O.L. and Chen, Y.T. (2009) Cancer Sci 100, 2014-21.
- De Smet, C. et al. (1999) Mol Cell Biol 19, 7327-35.
- Gjerstorff, M.F. et al. (2015) Oncotarget 6, 15772-87.
- Ikeda, H. et al. (1997) Immunity 6, 199-208.
- Iura, K. et al. (2017) Hum Pathol 61, 130-139.
- Gunn, R.B. and Fröhlich, O. (1989) Methods Enzymol 173, 54-80.
- Sun, Z. et al. (2016) Gene 594, 160-164.
- Qin, Y.Z. et al. (2017) Oncol Lett 13, 2823-2830.
- Oehler, V.G. et al. (2009) Blood 114, 3299-308.
- Salmaninejad, A. et al. (2016) Immunol Invest 45, 619-40.
Alternate Names
cancer/testis antigen 130; CT130; MAPE; Melanoma antigen preferentially expressed in tumors; OIP-4; OIP4; Opa-interacting protein 4; Opa-interacting protein OIP4; PRAME; PRAME nuclear receptor transcriptional regulator; preferentially expressed antigen in melanoma; Preferentially expressed antigen of melanoma
Limited Uses
Except as otherwise expressly agreed in a writing signed by a legally authorized representative of CST, the following terms apply to Products provided by CST, its affiliates or its distributors. Any Customer's terms and conditions that are in addition to, or different from, those contained herein, unless separately accepted in writing by a legally authorized representative of CST, are rejected and are of no force or effect.
Products are labeled with For Research Use Only or a similar labeling statement and have not been approved, cleared, or licensed by the FDA or other regulatory foreign or domestic entity, for any purpose. Customer shall not use any Product for any diagnostic or therapeutic purpose, or otherwise in any manner that conflicts with its labeling statement. Products sold or licensed by CST are provided for Customer as the end-user and solely for research and development uses. Any use of Product for diagnostic, prophylactic or therapeutic purposes, or any purchase of Product for resale (alone or as a component) or other commercial purpose, requires a separate license from CST. Customer shall (a) not sell, license, loan, donate or otherwise transfer or make available any Product to any third party, whether alone or in combination with other materials, or use the Products to manufacture any commercial products, (b) not copy, modify, reverse engineer, decompile, disassemble or otherwise attempt to discover the underlying structure or technology of the Products, or use the Products for the purpose of developing any products or services that would compete with CST products or services, (c) not alter or remove from the Products any trademarks, trade names, logos, patent or copyright notices or markings, (d) use the Products solely in accordance with CST Product Terms of Sale and any applicable documentation, and (e) comply with any license, terms of service or similar agreement with respect to any third party products or services used by Customer in connection with the Products.