Cell Signaling Technology Logo - Extra Large
Trial Size Available Flag
Recombinant Flag
Recombinant: Superior lot-to-lot consistency, continuous supply, and animal-free manufacturing.

PSMA3 (D4Y9O) Rabbit Monoclonal Antibody #12446

Filter:
  • WB
  • IP

    Product Specifications

    REACTIVITY H M R Mk
    SENSITIVITY Endogenous
    MW (kDa) 28
    Source/Isotype Rabbit IgG
    Application Key:
    • WB-Western Blotting 
    • IP-Immunoprecipitation 
    Species Cross-Reactivity Key:
    • H-Human 
    • M-Mouse 
    • R-Rat 
    • Mk-Monkey 

    Product Information

    Product Usage Information

    Application Dilution
    Western Blotting 1:1000
    Immunoprecipitation 1:50

    Storage

    Supplied in 10 mM sodium HEPES (pH 7.5), 150 mM NaCl, 100 µg/ml BSA, 50% glycerol and less than 0.02% sodium azide. Store at –20°C. Do not aliquot the antibody.

    Protocol

    Specificity / Sensitivity

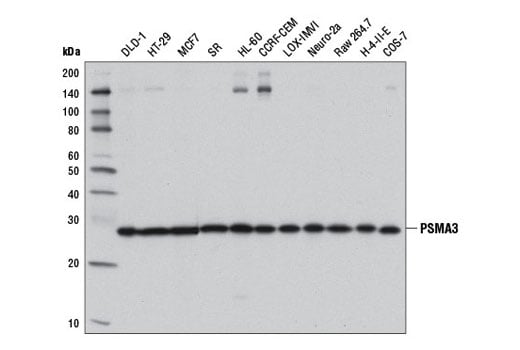
    PSMA3 (D4Y9O) Rabbit Monoclonal Antibody recognizes endogenous levels of total PSMA3 protein. This antibody does not cross-react with other α subunits of the 20S proteasome. This antibody cross-reacts with a 140 kDa protein of unknown identity in lysates from certain cell lines.

    Species Reactivity:

    Human, Mouse, Rat, Monkey

    The antigen sequence used to produce this antibody shares 100% sequence homology with the species listed here, but reactivity has not been tested or confirmed to work by CST. Use of this product with these species is not covered under our Product Performance Guarantee.

    Species predicted to react based on 100% sequence homology:

    Dog, Pig, Horse

    Source / Purification

    Monoclonal antibody is produced by immunizing animals with a synthetic peptide corresponding to residues surrounding Arg100 of human PSMA3 protein.

    Background

    The 26S proteasome is a highly abundant proteolytic complex involved in the degradation of ubiquitinated substrate proteins. It consists largely of two sub-complexes, the 20S catalytic core particle (CP) and the 19S/PA700 regulatory particle (RP) that can cap either end of the CP. The CP consists of two stacked heteroheptameric β-rings (β1-7) that contain three catalytic β-subunits and are flanked on either side by two heteroheptameric α-rings (α1-7). The RP includes a base and a lid, each having multiple subunits. The base, in part, is composed of a heterohexameric ring of ATPase subunits belonging to the AAA (ATPases Associated with diverse cellular Activities) family. The ATPase subunits function to unfold the substrate and open the gate formed by the α-subunits, thus exposing the unfolded substrate to the catalytic β-subunits. The lid consists of ubiquitin receptors and DUBs that function in recruitment of ubiquitinated substrates and modification of ubiquitin chain topology (1,2). Other modulators of proteasome activity, such as PA28/11S REG, can also bind to the end of the 20S CP and activate it (1,2).
    PSMA3 (HC8/α7) is an α subunit of the 20S proteasome. PSMA3 lacks any known proteolytic activity but may have an important role in the intiation of ring formation and 20S proteasome assembly (3). Research studies have demonstrated that PSMA3 serves as a receptor within the proteasome, recruiting substrates that are destined for degradation in a ubiquitination-independent manner (4,5).

    Alternate Names

    HC8; Macropain subunit C8; MGC12306; MGC32631; Multicatalytic endopeptidase complex subunit C8; proteasome (prosome, macropain) subunit, alpha type, 3; proteasome 20S subunit alpha 3; Proteasome component C8; proteasome subunit alpha 3; Proteasome subunit alpha type-3; proteasome subunit alpha7; proteasome subunit C8; PSA3; PSC3; PSC8; PSMA3; testicular secretory protein Li 43

    For Research Use Only. Not for Use in Diagnostic Procedures.
    Cell Signaling Technology is a trademark of Cell Signaling Technology, Inc.
    All other trademarks are the property of their respective owners. Visit our Trademark Information page.