PSMB8/LMP7 (1A5) Mouse Monoclonal Antibody (BSA and Azide Free) #60347
- WB
- IF
- F
Product Specifications
| REACTIVITY | H R |
| SENSITIVITY | Endogenous |
| MW (kDa) | 23, 28 |
| Source/Isotype | Mouse IgG1 |
Application Key:
- WB-Western Blotting
- IF-Immunofluorescence
- F-Flow Cytometry
Species Cross-Reactivity Key:
- H-Human
- R-Rat
Product Information
Product Usage Information
This formulation is ideal for use with technologies requiring specialized or custom antibody labeling, including fluorophores, metals, lanthanides, and oligonucleotides. It is not recommended for ChIP, ChIP-seq, CUT&RUN or CUT&Tag assays. If you require a carrier free formulation for chromatin profiling, please contact us. Optimal dilutions/concentrations should be determined by the end user.
BSA and Azide Free antibodies are quality control tested by size exclusion chromatography (SEC) to determine antibody integrity.
Formulation
For standard formulation of this product see product #13726.
Storage
Specificity / Sensitivity
Species Reactivity:
Source / Purification
Background
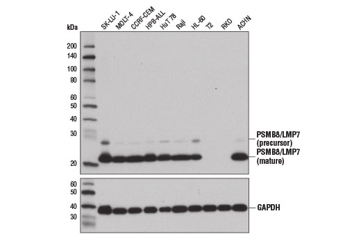
Constitutively expressed core particle subunits PSMB5, PSMB7, and PSMB6 provide chymotrypsin-like, trypsin-like, and caspase-like activities, respectively (3). In immune cells involved in antigen presentation, these subunits are replaced by highly homologous, induced β-subunits to form the immunoproteasome (4,5).
Proteasome subunit beta type-8 (PSMB8, LMP7) is expressed as a proenzyme that is cleaved to form the mature PSMB8 (LMP7) immunoproteasome core particle subunit (6). Interferon-γ induces expression of PSMB8, which functionally replaces the PSMB5 core particle subunit in immunoproteasome processing of MHC class I-restricted peptide antigens (7). Research studies suggest that reduced PSMB8 expression or expression of the non-functional LMP7-E1 isoform may impair immunoproteasome assembly, and that PSMB8 deficiency results in reduced MHC class I molecule expression (8-10). Inhibition of PSMB8 in murine rheumatoid arthritis models attenuates disease indicators, suggesting that PSMB8 is a potential therapeutic target in the treatment of some proinflammatory autoimmune diseases (11). Mutations in the corresponding PSMB8 gene can cause an autoinflammatory syndrome known as CANDLE Syndrome (12).
- Finley, D. (2009) Annu Rev Biochem 78, 477-513.
- Lee, M.J. et al. (2011) Mol Cell Proteomics 10, R110.003871.
- Murata, S. et al. (2009) Nat Rev Mol Cell Biol 10, 104-15.
- Boes, B. et al. (1994) J Exp Med 179, 901-9.
- Cardozo, C. and Kohanski, R.A. (1998) J Biol Chem 273, 16764-70.
- Groettrup, M. et al. (2010) Nat Rev Immunol 10, 73-8.
- Akiyama, K. et al. (1994) FEBS Lett 343, 85-8.
- Heink, S. et al. (2006) Cancer Res 66, 649-52.
- De, M. et al. (2003) J Biol Chem 278, 6153-9.
- Fehling, H.J. et al. (1994) Science 265, 1234-7.
- Muchamuel, T. et al. (2009) Nat Med 15, 781-7.
- Liu, Y. et al. (2012) Arthritis Rheum 64, 895-907.
- Salter, R.D. et al. (1985) Immunogenetics 21, 235-46.
Alternate Names
ALDD; D6S216; D6S216E; JMP; LMP7; Low molecular mass protein 7; low molecular weight protein 7; Macropain subunit C13; MGC1491; Multicatalytic endopeptidase complex subunit C13; NKJO; PRAAS1; protease component C13; proteasome (prosome, macropain) subunit, beta type, 8 (large multifunctional peptidase 7); proteasome 20S subunit beta 8; proteasome catalytic subunit 3i; Proteasome component C13; proteasome subunit beta 5i; proteasome subunit beta 8; Proteasome subunit beta type-8; Proteasome subunit beta-5i; proteasome subunit Y2; proteasome-related gene 7; PSB8; PSMB5i; PSMB8; Really interesting new gene 10 protein; RING10; Y2
Limited Uses
Except as otherwise expressly agreed in a writing signed by a legally authorized representative of CST, the following terms apply to Products provided by CST, its affiliates or its distributors. Any Customer's terms and conditions that are in addition to, or different from, those contained herein, unless separately accepted in writing by a legally authorized representative of CST, are rejected and are of no force or effect.
Products are labeled with For Research Use Only or a similar labeling statement and have not been approved, cleared, or licensed by the FDA or other regulatory foreign or domestic entity, for any purpose. Customer shall not use any Product for any diagnostic or therapeutic purpose, or otherwise in any manner that conflicts with its labeling statement. Products sold or licensed by CST are provided for Customer as the end-user and solely for research and development uses. Any use of Product for diagnostic, prophylactic or therapeutic purposes, or any purchase of Product for resale (alone or as a component) or other commercial purpose, requires a separate license from CST. Customer shall (a) not sell, license, loan, donate or otherwise transfer or make available any Product to any third party, whether alone or in combination with other materials, or use the Products to manufacture any commercial products, (b) not copy, modify, reverse engineer, decompile, disassemble or otherwise attempt to discover the underlying structure or technology of the Products, or use the Products for the purpose of developing any products or services that would compete with CST products or services, (c) not alter or remove from the Products any trademarks, trade names, logos, patent or copyright notices or markings, (d) use the Products solely in accordance with CST Product Terms of Sale and any applicable documentation, and (e) comply with any license, terms of service or similar agreement with respect to any third party products or services used by Customer in connection with the Products.