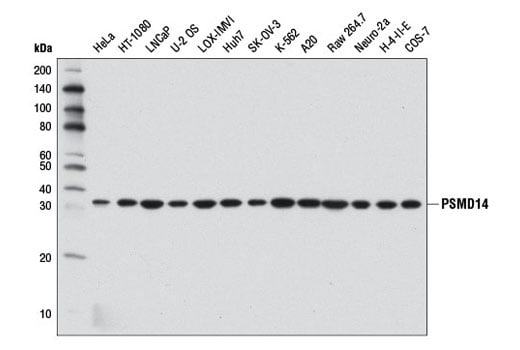
PSMD14 (D18C7) Rabbit Monoclonal Antibody #4197
- WB
- IP
Product Specifications
| REACTIVITY | H M R Mk |
| SENSITIVITY | Endogenous |
| MW (kDa) | 34 |
| Source/Isotype | Rabbit IgG |
Application Key:
- WB-Western Blotting
- IP-Immunoprecipitation
Species Cross-Reactivity Key:
- H-Human
- M-Mouse
- R-Rat
- Mk-Monkey
Product Information
Product Usage Information
| Application | Dilution |
|---|---|
| Western Blotting | 1:1000 |
| Immunoprecipitation | 1:100 |
Storage
Protocol
Specificity / Sensitivity
Species Reactivity:
The antigen sequence used to produce this antibody shares 100% sequence homology with the species listed here, but reactivity has not been tested or confirmed to work by CST. Use of this product with these species is not covered under our Product Performance Guarantee.
Species predicted to react based on 100% sequence homology:
Source / Purification
Background
Of the subunits that comprise the 19S RP lid, only PSMD14 (POH1) has a known function. PSMD14 is classified as a metalloenzyme DUB and its activity has been shown to be critical for proteasome function in both yeast and humans (3-6). Indeed, PSMD14 harbors an Mpr1-Pad1-N-terminal (MPN) domain with an embedded, highly conserved signature motif for metal-dependent isopeptidases that has been dubbed JAMM, from Jab1/Pad1/MPN domain metalloenzyme. The JAMM motif of PSMD14 consists of a pattern of four charged amino acids: a glutamate residue followed by two histidines and an aspartate (EXnHXHX10D). It has been proposed that the histidine residues, in concert with the aspartate, bind to a zinc ion that, together with the preceding glutamate, forms the catalytic site of PSMD14 (3,4). PSMD14 is thought to cleave ubiquitin chains with proximal specificity relative to the substrate, thus removing whole ubiquitin chains en bloc (3). Recent studies have implicated PSMD14 as an important regulator of ErbB2 (7) and c-Jun (8) protein levels.
- Finley, D. (2009) Annu Rev Biochem 78, 477-513.
- Lee, M.J. et al. (2011) Mol Cell Proteomics 10, R110.003871.
- Verma, R. et al. (2002) Science 298, 611-5.
- Yao, T. and Cohen, R.E. (2002) Nature 419, 403-7.
- Maytal-Kivity, V. et al. (2002) BMC Biochem 3, 28.
- Gallery, M. et al. (2007) Mol Cancer Ther 6, 262-8.
- Liu, H. et al. (2009) PLoS One 4, e5544.
- Nabhan, J.F. and Ribeiro, P. (2006) J Biol Chem 281, 16099-107.
Alternate Names
26S proteasome non-ATPase regulatory subunit 14; 26S proteasome regulatory subunit rpn11; 26S proteasome-associated PAD1 homolog 1; PAD1; POH1; proteasome (prosome, macropain) 26S subunit, non-ATPase, 14; proteasome 26S subunit, non-ATPase 14; PSDE; PSMD14; RPN11; testis tissue sperm-binding protein Li 69n
Limited Uses
Except as otherwise expressly agreed in a writing signed by a legally authorized representative of CST, the following terms apply to Products provided by CST, its affiliates or its distributors. Any Customer's terms and conditions that are in addition to, or different from, those contained herein, unless separately accepted in writing by a legally authorized representative of CST, are rejected and are of no force or effect.
Products are labeled with For Research Use Only or a similar labeling statement and have not been approved, cleared, or licensed by the FDA or other regulatory foreign or domestic entity, for any purpose. Customer shall not use any Product for any diagnostic or therapeutic purpose, or otherwise in any manner that conflicts with its labeling statement. Products sold or licensed by CST are provided for Customer as the end-user and solely for research and development uses. Any use of Product for diagnostic, prophylactic or therapeutic purposes, or any purchase of Product for resale (alone or as a component) or other commercial purpose, requires a separate license from CST. Customer shall (a) not sell, license, loan, donate or otherwise transfer or make available any Product to any third party, whether alone or in combination with other materials, or use the Products to manufacture any commercial products, (b) not copy, modify, reverse engineer, decompile, disassemble or otherwise attempt to discover the underlying structure or technology of the Products, or use the Products for the purpose of developing any products or services that would compete with CST products or services, (c) not alter or remove from the Products any trademarks, trade names, logos, patent or copyright notices or markings, (d) use the Products solely in accordance with CST Product Terms of Sale and any applicable documentation, and (e) comply with any license, terms of service or similar agreement with respect to any third party products or services used by Customer in connection with the Products.