Cell Signaling Technology Logo - Extra Large
Trial Size Available Flag
Recombinant Flag
Recombinant: Superior lot-to-lot consistency, continuous supply, and animal-free manufacturing.

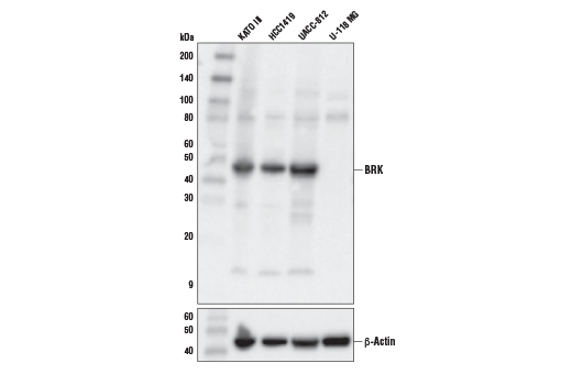
PTK6/BRK (D4O2D) Rabbit Monoclonal Antibody #55174

Filter:
  • WB
  • IP
  • IF

    Product Specifications

    REACTIVITY H
    SENSITIVITY Endogenous
    MW (kDa) 48
    Source/Isotype Rabbit IgG
    Application Key:
    • WB-Western Blotting 
    • IP-Immunoprecipitation 
    • IF-Immunofluorescence 
    Species Cross-Reactivity Key:
    • H-Human 

    Product Information

    Product Usage Information

    Application Dilution
    Western Blotting 1:1000
    Immunoprecipitation 1:100
    Immunofluorescence (Immunocytochemistry) 1:200

    Storage

    Supplied in 10 mM sodium HEPES (pH 7.5), 150 mM NaCl, 100 µg/ml BSA, 50% glycerol and less than 0.02% sodium azide. Store at –20°C. Do not aliquot the antibody.

    Protocol

    Specificity / Sensitivity

    PTK6/BRK (D4O2D) Rabbit Monoclonal Antibody recognizes endogenous levels of total PTK6/BRK protein.

    Species Reactivity:

    Human

    Source / Purification

    Monoclonal antibody is produced by immunizing animals with a synthetic peptide corresponding to residues near the amino terminus of human PTK6/BRK protein.

    Background

    PTK6/BRK (protein-tyrosine kinase 6, Breast Tumor Kinase) is a non-receptor tyrosine kinase that is closely related to the FRK family of kinases and distantly related to SRC family kinases (1). PTK6/BRK possesses an N-terminal SRC homology 3 (SH3) domain that regulates kinase-substrate interactions, an auto-inhibitory SRC homology 2 (SH2) domain, and a carboxy-terminal kinase domain. Phosphorylation at Tyr342 in the activation loop of the kinase domain upregulates kinase activity, whereas phosphorylation at Tyr447 inhibits kinase activity (2). PTK6/BRK is expressed in differentiated epithelial cells in normal skin, gastrointestinal tract and colon, and its expression level is reportedly upregulated in some cancer cell types, including breast carcinoma, prostate cancer and colon cancer (3-5). Although typically localized in the nucleus of normal cells, PTK6/BRK has also been observed in the cytosol and plasma membrane in some contexts, notably during tumor progression, where it likely interacts with unique substrates. In the nucleus, PTK6/BRK functions to mediate signaling events important for differentiation and apoptosis (4); outside the nucleus, PTK6/BRK may function to relay upstream RTK signaling to downstream pathways via phosphorylation and activation of substrates such as paxillin, STAT and AKT, which in turn activate pathways to promote cell survival, invasion and migration. The upregulation, altered subcellular localization and associated signaling functions of PTK6/BRK in tumor cells make it a promising target for cancer therapy (6).

    Alternate Names

    Breast tumor kinase; BRK; FLJ42088; protein tyrosine kinase 6; Protein-tyrosine kinase 6; protein-tyrosine kinase BRK; PTK6; PTK6 protein tyrosine kinase 6; Tyrosine-protein kinase BRK

    For Research Use Only. Not for Use in Diagnostic Procedures.
    Cell Signaling Technology is a trademark of Cell Signaling Technology, Inc.
    All other trademarks are the property of their respective owners. Visit our Trademark Information page.