Cell Signaling Technology Logo - Extra Large
Trial Size Available Flag
Recombinant Flag
Recombinant: Superior lot-to-lot consistency, continuous supply, and animal-free manufacturing.

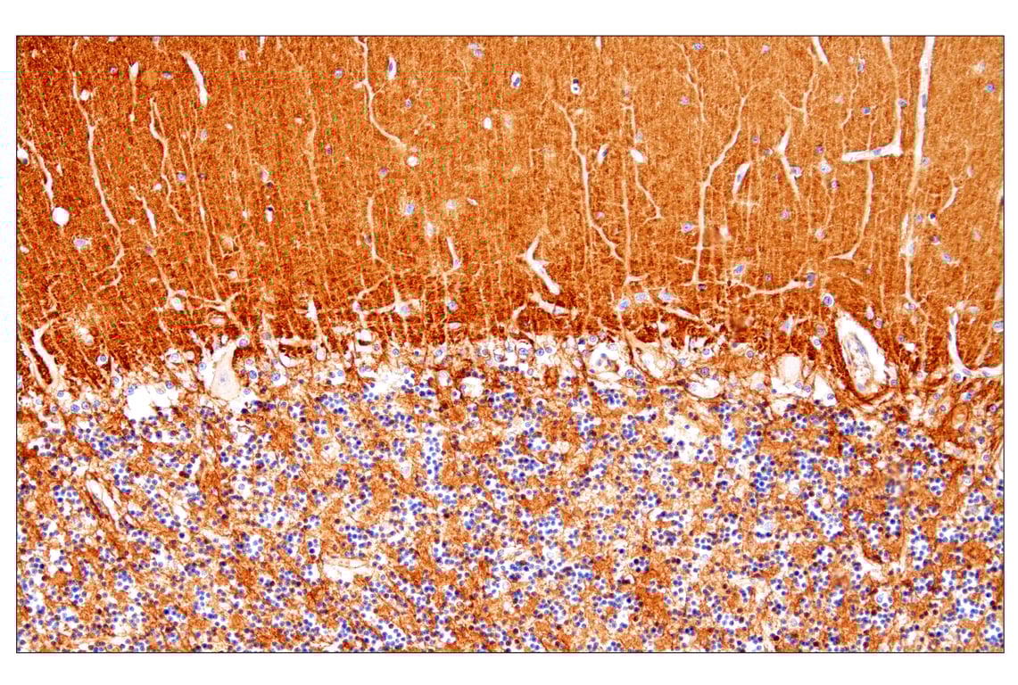
PTPRZ1 (E7C8Z) Rabbit Monoclonal Antibody #15641

Filter:
  • IHC

    Product Specifications

    REACTIVITY H M
    SENSITIVITY Endogenous
    MW (kDa)
    Source/Isotype Rabbit IgG
    Application Key:
    • IHC-Immunohistochemistry 
    Species Cross-Reactivity Key:
    • H-Human 
    • M-Mouse 

    Product Information

    Product Usage Information

    Application Dilution
    Immunohistochemistry (Paraffin) 1:500 - 1:2000

    Storage

    Supplied in 10 mM sodium HEPES (pH 7.5), 150 mM NaCl, 100 µg/mL BSA, 50% glycerol, and less than 0.02% sodium azide. Store at –20°C. Do not aliquot the antibody.

    For a carrier free (BSA and azide free) version of this product see product #19558.

    Protocol

    Specificity / Sensitivity

    PTPRZ1 (E7C8Z) Rabbit Monoclonal Antibody detects endogenous levels of total PTPRZ1 protein. Non-specific staining was observed in mouse kidney tubules by immunohistochemistry.

    Species Reactivity:

    Human, Mouse

    Source / Purification

    Monoclonal antibody is produced by immunizing animals with recombinant protein specific to the amino terminus of human PTPRZ1 protein.

    Background

    PTPRZ1, also known as protein tyrosine phosphatase receptor zeta, is a highly glycosylated membrane protein that is expressed abundantly in normal brain, in a spatially restricted pattern. The functions of PTPRZ1 in neural tissue are thought to be diverse, including development, neural development, neural myelination, and memory formation (1). PTPRZ1 can be found in 2 forms, a membrane-associated glycosylated form and a non-glycosylated, secreted form. In patients with glioma, the soluble form is found to be unregulated in cerebrospinal fluid (2). It is for this and other reports, that PTPRZ1 is a target of pharmaceutical interest. PTPRZ1 has also been reported to be upregulated. Interestingly, increased expression of both membrane bound and soluble PTPRZ1 has also been found in various cancer types, including breast, lung, cervical, hepatocellular carcinoma, and renal tumors (3). In breast cancer, the distribution between localizations of membrane and soluble forms has been reported to change with cancer development, progression, and metastasis.

    Alternate Names

    HPTPZ; HPTPzeta; HTPZP2; phosphacan; protein tyrosine phosphatase receptor type Z1; protein tyrosine phosphatase, receptor-type, Z polypeptide 1; protein tyrosine phosphatase, receptor-type, zeta polypeptide 1; Protein-tyrosine phosphatase receptor type Z polypeptide 1; Protein-tyrosine phosphatase receptor type Z polypeptide 2; PTP-ZETA; PTP18; PTPRZ; PTPRZ1; PTPRZ2; PTPZ; R-PTP-zeta; R-PTP-zeta-2; receptor-type tyrosine phosphatase beta/zeta; Receptor-type tyrosine-protein phosphatase zeta; RPTPB; RPTPbeta

    For Research Use Only. Not for Use in Diagnostic Procedures.
    Cell Signaling Technology is a trademark of Cell Signaling Technology, Inc.
    All other trademarks are the property of their respective owners. Visit our Trademark Information page.