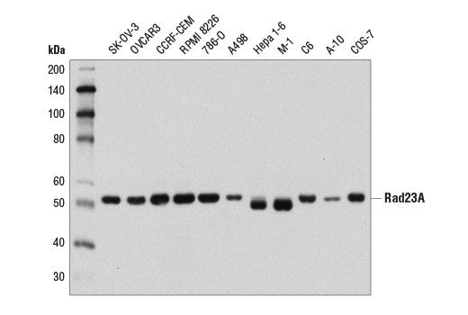
Rad23A (D7U7Z) Rabbit Monoclonal Antibody #24555
- WB
- IP
Product Specifications
| REACTIVITY | H M R Mk |
| SENSITIVITY | Endogenous |
| MW (kDa) | 52 |
| Source/Isotype | Rabbit IgG |
Application Key:
- WB-Western Blotting
- IP-Immunoprecipitation
Species Cross-Reactivity Key:
- H-Human
- M-Mouse
- R-Rat
- Mk-Monkey
Product Information
Product Usage Information
| Application | Dilution |
|---|---|
| Western Blotting | 1:1000 |
| Immunoprecipitation | 1:50 |
Storage
Protocol
Specificity / Sensitivity
Species Reactivity:
Source / Purification
Background
The UV excision repair protein Rad23A is a multi-domain scaffold protein that plays an important role in ubiquitin-dependent proteasomal degradation. Rad23A protein contains an amino-terminal ubiquitin-like (UBL) domain and two ubiquitin binding domains, UBA1 and UBA2, that flank an XPC binding domain (2). Rad23A is thought to form a closed conformation that is dictated by an intramolecular interaction between the UBL and UBA domains. Binding of the Rad23A UBL domain to the S5a/PSMD4 subunit of the proteasome lid disrupts the intramolecular UBL-UBA association within Rad23A and promotes its association with the proteasome (3). Research studies show that Rad23A can be recruited to the proteasome through an interaction between its UBL domain and the S2/PSMD2 proteasome subunit (4). The UBA domains of Rad23A bind mono- and polyubiquitin and are thought to shuttle proteins modified with Lys48-linked polyubiquitin chains to the proteasome for degradation (1,5-7). In addition to its role as an ubiquitin-binding protein, Rad23A also participates in nucleotide excision repair (NER) by binding and stabilizing the NER DNA binding protein XPC (2,8).
- Verma, R. et al. (2004) Cell 118, 99-110.
- Masutani, C. et al. (1994) EMBO J 13, 1831-43.
- Walters, K.J. et al. (2003) Proc Natl Acad Sci U S A 100, 12694-9.
- Elsasser, S. et al. (2002) Nat Cell Biol 4, 725-30.
- Raasi, S. et al. (2005) Nat Struct Mol Biol 12, 708-14.
- Nathan, J.A. et al. (2013) EMBO J 32, 552-65.
- Elsasser, S. et al. (2004) J Biol Chem 279, 26817-22.
- Ng, J.M. et al. (2003) Genes Dev 17, 1630-45.
Alternate Names
hHR23A; HR23A; MGC111083; RAD23 homolog A (S. cerevisiae); RAD23 homolog A, nucleotide excision repair protein; RAD23, yeast homolog, A; RAD23A; RD23A; UV excision repair protein RAD23 homolog A
Limited Uses
Except as otherwise expressly agreed in a writing signed by a legally authorized representative of CST, the following terms apply to Products provided by CST, its affiliates or its distributors. Any Customer's terms and conditions that are in addition to, or different from, those contained herein, unless separately accepted in writing by a legally authorized representative of CST, are rejected and are of no force or effect.
Products are labeled with For Research Use Only or a similar labeling statement and have not been approved, cleared, or licensed by the FDA or other regulatory foreign or domestic entity, for any purpose. Customer shall not use any Product for any diagnostic or therapeutic purpose, or otherwise in any manner that conflicts with its labeling statement. Products sold or licensed by CST are provided for Customer as the end-user and solely for research and development uses. Any use of Product for diagnostic, prophylactic or therapeutic purposes, or any purchase of Product for resale (alone or as a component) or other commercial purpose, requires a separate license from CST. Customer shall (a) not sell, license, loan, donate or otherwise transfer or make available any Product to any third party, whether alone or in combination with other materials, or use the Products to manufacture any commercial products, (b) not copy, modify, reverse engineer, decompile, disassemble or otherwise attempt to discover the underlying structure or technology of the Products, or use the Products for the purpose of developing any products or services that would compete with CST products or services, (c) not alter or remove from the Products any trademarks, trade names, logos, patent or copyright notices or markings, (d) use the Products solely in accordance with CST Product Terms of Sale and any applicable documentation, and (e) comply with any license, terms of service or similar agreement with respect to any third party products or services used by Customer in connection with the Products.