Render Target: STATIC
Render Timestamp:
5/26/2026, 6:02:08 AM EDT
5/26/2026, 10:02:08 AM UTC
Commit: 7ed46ecc04b401f23a28df741b5078df405d23e4
XML generation date: 2025-11-12 16:17:57.575
Product last modified at: 2026-03-20T08:01:21.606Z
Cell Signaling Technology Logo - Extra Large
1% for the planet logo
PDP - Template Name: Monoclonal Antibody
PDP - Template ID: *******c5e4b77
Recombinant Flag
Recombinant: Superior lot-to-lot consistency, continuous supply, and animal-free manufacturing.

RAR gamma1 (D3A4) Rabbit Monoclonal Antibody (BSA and Azide Free) #82517

Filter:
  • WB
  • IHC
  • IF
  • F

    Product Specifications

    REACTIVITY H M
    SENSITIVITY Endogenous
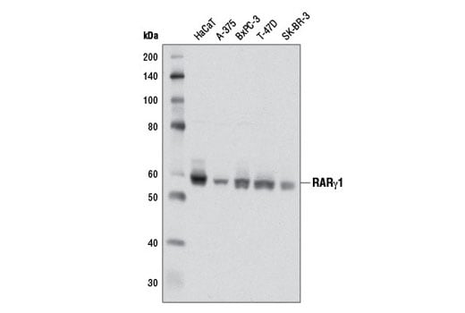
    MW (kDa) 58
    Source/Isotype Rabbit IgG
    Application Key:
    • WB-Western Blotting 
    • IHC-Immunohistochemistry 
    • IF-Immunofluorescence 
    • F-Flow Cytometry 
    Species Cross-Reactivity Key:
    • H-Human 
    • M-Mouse 

    Product Information

    Product Usage Information

    This product is the carrier free version of product #8965. All data were generated using the same antibody clone in the standard formulation which contains BSA and glycerol.

    This formulation is ideal for use with technologies requiring specialized or custom antibody labeling, including fluorophores, metals, lanthanides, and oligonucleotides. It is not recommended for ChIP, ChIP-seq, CUT&RUN or CUT&Tag assays. If you require a carrier free formulation for chromatin profiling, please contact us. Optimal dilutions/concentrations should be determined by the end user.

    BSA and Azide Free antibodies are quality control tested by size exclusion chromatography (SEC) to determine antibody integrity.

    Formulation

    Supplied in 1X PBS (10 mM Na2HPO4, 3 mM KCl, 2 mM KH2PO4, and 140 mM NaCl (pH 7.8)). BSA and Azide Free.

    For standard formulation of this product see product #8965

    Storage

    Store at -20°C. This product will freeze at -20°C so it is recommended to aliquot into single-use vials to avoid multiple freeze/thaw cycles. A slight precipitate may be present and can be dissolved by gently vortexing. This will not interfere with antibody performance.

    Specificity / Sensitivity

    RAR gamma1 (D3A4) Rabbit Monoclonal Antibody (BSA and Azide Free) recognizes endogenous levels of total RARγ1 protein. Based upon sequence alignment, this antibody is not predicted to cross-react with RARγ2. This antibody does not cross-react with either RARα or RARβ.

    Species Reactivity:

    Human, Mouse

    The antigen sequence used to produce this antibody shares 100% sequence homology with the species listed here, but reactivity has not been tested or confirmed to work by CST. Use of this product with these species is not covered under our Product Performance Guarantee.

    Species predicted to react based on 100% sequence homology:

    Rat, Hamster, Bovine, Dog

    Source / Purification

    Monoclonal antibody is produced by immunizing animals with a synthetic peptide corresponding to residues near the amino terminus of human RARγ1 protein.

    Background

    Nuclear retinoic acid (RA) receptors (RARs) consist of three subtypes encoded by separate genes: α (NR1B1), β (NR1B2), and γ (NR1B3). For each subtype, there are at least two isoforms, which are generated by differential promoter usage and alternative splicing and differ only in their N-terminal regions. Retinoids, which are metabolites of vitamin A, serve as ligands for RARs (1). RARs function as ligand-dependent transcriptional regulators and are found to be heterodimerized with retinoid X receptors (RXRs). These transcriptionally active dimers regulate the expression of genes involved in cellular differentiation, proliferation, and apoptosis (2,3). Consequently, RARs play critical roles in a variety of biological processes, including development, reproduction, immunity, and organogenesis (4-6). RAR mutations, fusion proteins, altered expression levels, or aberrant post-translational modifications result in multiple diseases due to altered RAR function and disruption of homeostasis.

    In contrast to the ubiquitously expressed RARα subtype, RARγ displays a complex tissue-specific expression pattern (7). The hematopoietic system expresses significant levels of RARγ, and a recent study identified a role for RARγ in hematopoietic stem cell maintenance (8). RARγ is the predominant subtype in human and mouse epidermis, representing 90% of the RARs in this tissue (9-11). Given the high level of RARγ expression in the skin, it has been suggested that this nuclear receptor participates in a transcriptional program that governs maintenance and differentiation of normal epidermis and skin appendages. The transcriptional activity of RARγ is under stringent control, in part, through retinoic acid-induced phosphorylation and proteasomal degradation (12).

    Alternate Names

    NR1B3; Nuclear receptor subfamily 1 group B member 3; RAR-gamma; RARC; RARG; retinoic acid nuclear receptor gamma variant 1; retinoic acid nuclear receptor gamma variant 2; Retinoic acid receptor gamma; retinoic acid receptor, gamma

    For Research Use Only. Not for Use in Diagnostic Procedures.
    Cell Signaling Technology is a trademark of Cell Signaling Technology, Inc.
    All other trademarks are the property of their respective owners. Visit our Trademark Information page.