Cell Signaling Technology Logo - Extra Large
Recombinant Flag
Recombinant: Superior lot-to-lot consistency, continuous supply, and animal-free manufacturing.

RCAS1 (D2B6N) Rabbit Monoclonal Antibody (BSA and Azide Free) #35751

Filter:
  • WB
  • IF
  • F

    Product Specifications

    REACTIVITY H M R
    SENSITIVITY Endogenous
    MW (kDa) 32
    Source/Isotype Rabbit IgG
    Application Key:
    • WB-Western Blotting 
    • IF-Immunofluorescence 
    • F-Flow Cytometry 
    Species Cross-Reactivity Key:
    • H-Human 
    • M-Mouse 
    • R-Rat 

    Product Information

    Product Usage Information

    This product is the carrier free version of product #12290. All data were generated using the same antibody clone in the standard formulation which contains BSA and glycerol.

    This formulation is ideal for use with technologies requiring specialized or custom antibody labeling, including fluorophores, metals, lanthanides, and oligonucleotides. It is not recommended for ChIP, ChIP-seq, CUT&RUN or CUT&Tag assays. If you require a carrier free formulation for chromatin profiling, please contact us. Optimal dilutions/concentrations should be determined by the end user.

    BSA and Azide Free antibodies are quality control tested by size exclusion chromatography (SEC) to determine antibody integrity.

    Formulation

    Supplied in 1X PBS (10 mM Na2HPO4, 3 mM KCl, 2 mM KH2PO4, and 140 mM NaCl (pH 7.8)). BSA and Azide Free.

    For standard formulation of this product see product #12290

    Storage

    Store at -20°C. This product will freeze at -20°C so it is recommended to aliquot into single-use vials to avoid multiple freeze/thaw cycles. A slight precipitate may be present and can be dissolved by gently vortexing. This will not interfere with antibody performance.

    Specificity / Sensitivity

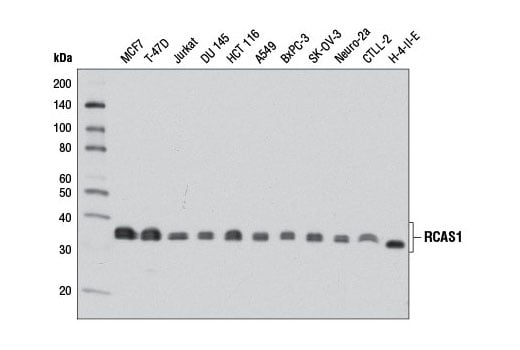
    RCAS1 (D2B6N) XP® Rabbit mAb (BSA and Azide Free) recognizes endogenous levels of total RCAS1 protein.

    Species Reactivity:

    Human, Mouse, Rat

    Source / Purification

    Monoclonal antibody is produced by immunizing animals with a synthetic peptide corresponding to residues surrounding Gly147 of human RCAS1 protein.

    Background

    Receptor binding cancer antigen expressed on SiSo cells (RCAS1) is also known as estrogen receptor-binding fragment-associated gene 9 (EBAG9). Originally identified as an estrogen-inducible gene (1), RCAS1 was recently found to play a novel role in the adaptive immune response by negatively regulating the cytolytic activity of cytotoxic T lymphocytes (CTLs) (2). RCAS1 is conserved in phylogeny and is ubiquitously expressed in most human tissues and cells (3,4). There is evidence that tissue expression of RCAS1 is increased in a variety of malignancies, including cancers of the gastrointestinal tract, liver, lung, breast, ovary, endometrium, and cervix. Research studies have shown that levels of RCAS1 tissue expression are negatively correlated with the prognosis of patients harboring the aforementioned malignancies (4). It is also noteworthy that research studies have detected elevated levels of RCAS1 in the sera of cancer patients (4). Initial studies indicated that RCAS1 was secreted from cancer cells and functioned as a ligand for a putative receptor expressed on NK cells, as well as T and B lymphocytes, inducing their apoptosis, which enabled cancer cells to evade immune surveillance (5,6). Subsequent studies have identified RCAS1 as a type III transmembrane Golgi protein with the ability to regulate vesicle formation, secretion, and protein glycosylation (2,7-9). Indeed, it has been shown that RCAS1 overexpression negatively regulates the cytolytic function of CTLs by negatively regulating protein trafficking from the trans-Golgi to secretory lysosomes (2). Furthermore, RCAS1 overexpression delays vesicle transport from the ER to Golgi and causes components of the ER quality control and glycosylation machinery to mislocalize. As a consequence, RCAS1 induces the deposition of tumor-associated glycan antigens on the cell surface, which are thought to contribute to tumor pathogenesis through the mediation of adhesion, invasion, and metastasis (8,9).

    Alternate Names

    cancer associated surface antigen; Cancer-associated surface antigen RCAS1; EB9; EBAG9; estrogen receptor binding site associated antigen 9; estrogen receptor binding site associated, antigen, 9; Estrogen receptor-binding fragment-associated gene 9 protein; PDAF; RCAS1; Receptor-binding cancer antigen expressed on SiSo cells

    For Research Use Only. Not for Use in Diagnostic Procedures.
    Cell Signaling Technology is a trademark of Cell Signaling Technology, Inc.
    All other trademarks are the property of their respective owners. Visit our Trademark Information page.