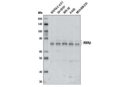
RXR-beta Antibody #8715
- WB
- IP
Inquiry Info. # 8715
Please see our recommended alternatives.
Product Specifications
| REACTIVITY | H M |
| SENSITIVITY | Endogenous |
| MW (kDa) | 70-72 |
| SOURCE | Rabbit |
Application Key:
- WB-Western Blotting
- IP-Immunoprecipitation
Species Cross-Reactivity Key:
- H-Human
- M-Mouse
Product Information
Product Usage Information
| Application | Dilution |
|---|---|
| Western Blotting | 1:1000 |
| Immunoprecipitation | 1:50 |
Storage
Protocol
Specificity / Sensitivity
Species Reactivity:
The antigen sequence used to produce this antibody shares 100% sequence homology with the species listed here, but reactivity has not been tested or confirmed to work by CST. Use of this product with these species is not covered under our Product Performance Guarantee.
Species predicted to react based on 100% sequence homology:
Source / Purification
Background
RXRβ, like other members of the RXR subfamily, possesses a characteristic tripartite modular structure consisting of (a) a highly conserved central region containing the C4/C5 zinc-finger domain, which is responsible for DNA binding; (b) a relatively well-conserved C-terminal region, which contains the hormone binding and dimerization domains; and (c) a variable N-terminal domain, which has been implicated in either transactivation or repression of target genes (2). Variability within the N-terminal domain is thought to be the result of alternative splicing and/or differential promoter usage (3-5). The murine RXRβ was initially identified because of its ability to bind to the regulatory region II in the murine major histocompatability complex (MHC) class I promoter and is therefore also referred to as H-2RIIBP (6). Genetic ablation of murine Rxrb produced approximately 50% lethality in utero and males that survived had defects of spermatazoa, which resulted in sterility (7). Further studies revealed that expression of a Rxrb mutant with an impaired AF-2 core led to abnormal lipid metabolism in Sertoli cells, suggesting functional interactions between Rxrb and other nuclear receptors that control lipid metabolism (8).
- Gronemeyer, H. et al. (2004) Nat Rev Drug Discov 3, 950-64.
- Mangelsdorf, D.J. et al. (1992) Genes Dev 6, 329-44.
- Nagata, T. et al. (1994) Gene 142, 183-9.
- Fleischhauer, K. et al. (1993) Hum Genet 90, 505-10.
- Fleischhauer, K. et al. (1992) Nucleic Acids Res 20, 1801.
- Hamada, K. et al. (1989) Proc Natl Acad Sci USA 86, 8289-93.
- Kastner, P. et al. (1996) Genes Dev 10, 80-92.
- Mascrez, B. et al. (2004) EMBO Rep 5, 285-90.
Alternate Names
DAUDI6; H-2RIIBP; MGC1831; MHC class I promoter binding protein; NR2B2; Nuclear receptor subfamily 2 group B member 2; RCoR-1; Retinoic acid receptor RXR-beta; Retinoid X receptor beta; retinoid X receptor, beta; RXRB
Limited Uses
Except as otherwise expressly agreed in a writing signed by a legally authorized representative of CST, the following terms apply to Products provided by CST, its affiliates or its distributors. Any Customer's terms and conditions that are in addition to, or different from, those contained herein, unless separately accepted in writing by a legally authorized representative of CST, are rejected and are of no force or effect.
Products are labeled with For Research Use Only or a similar labeling statement and have not been approved, cleared, or licensed by the FDA or other regulatory foreign or domestic entity, for any purpose. Customer shall not use any Product for any diagnostic or therapeutic purpose, or otherwise in any manner that conflicts with its labeling statement. Products sold or licensed by CST are provided for Customer as the end-user and solely for research and development uses. Any use of Product for diagnostic, prophylactic or therapeutic purposes, or any purchase of Product for resale (alone or as a component) or other commercial purpose, requires a separate license from CST. Customer shall (a) not sell, license, loan, donate or otherwise transfer or make available any Product to any third party, whether alone or in combination with other materials, or use the Products to manufacture any commercial products, (b) not copy, modify, reverse engineer, decompile, disassemble or otherwise attempt to discover the underlying structure or technology of the Products, or use the Products for the purpose of developing any products or services that would compete with CST products or services, (c) not alter or remove from the Products any trademarks, trade names, logos, patent or copyright notices or markings, (d) use the Products solely in accordance with CST Product Terms of Sale and any applicable documentation, and (e) comply with any license, terms of service or similar agreement with respect to any third party products or services used by Customer in connection with the Products.