Cell Signaling Technology Logo - Extra Large
Trial Size Available Flag
Recombinant Flag
Recombinant: Superior lot-to-lot consistency, continuous supply, and animal-free manufacturing.

SETD2 (E9H7P) Rabbit Monoclonal Antibody #84384

Filter:
  • WB
  • ChIP

    Product Specifications

    REACTIVITY H Mk
    SENSITIVITY Endogenous
    MW (kDa) 288
    Source/Isotype Rabbit IgG
    Application Key:
    • WB-Western Blotting 
    • ChIP-Chromatin Immunoprecipitation 
    Species Cross-Reactivity Key:
    • H-Human 
    • Mk-Monkey 

    Product Information

    Product Usage Information

    For optimal ChIP and ChIP-Seq results, use 10 μl of antibody and 10 μg of chromatin (approximately 4 x 106 cells) per IP. This antibody has been validated using SimpleChIP® Enzymatic Chromatin IP Kits.
    Application Dilution
    Western Blotting 1:1000
    Chromatin IP 1:50
    Chromatin IP-seq 1:50

    Storage

    Supplied in 10 mM sodium HEPES (pH 7.5), 150 mM NaCl, 100 µg/ml BSA, 50% glycerol and less than 0.02% sodium azide. Store at –20°C. Do not aliquot the antibody.

    Protocol

    Specificity / Sensitivity

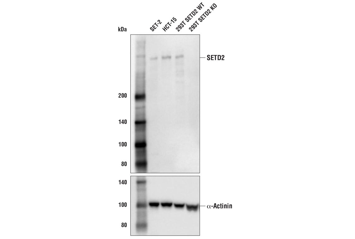
    SETD2 (E9H7P) Rabbit Monoclonal Antibody recognizes endogenous levels of total SETD2 protein.

    Species Reactivity:

    Human, Monkey

    Source / Purification

    Monoclonal antibody is produced by immunizing animals with a synthetic peptide corresponding to residues surrounding Gly1025 of human SETD2 protein.

    Background

    SET domain-containing protein 2 (SETD2 or SET2), also known as lysine N-methyltransferase 3 A (KMT3A), huntingtin yeast partner B (HYBP), and huntingtin-interacting factor (HIF-1), is a ubiquitously expressed nuclear protein methyltransferase that is responsible for the majority of tri-methylation of histone H3 on lysine 36 (H3K36Me3) (1-3). SETD2-mediated H3K36Me3 is critical for proper regulation of transcription elongation, RNA splicing and DNA mismatch repair (1). SETD2 interacts with RNA polymerase II (RNAPII) that is hyper-phosphorylated on the C-terminal domain (CTD) of the largest subunit Rpb1 (2-4). Upon hyper-phosphorylation of the RNAPII CTD during activation of transcriptional elongation, SETD2 is recruited and facilitates tri-methylation of histone H3 lysine 36 in the body of transcriptionally active genes (2-4). H3K36Me3 then acts to recruit the transcription elongation factor FACT, which modulates nucleosome dynamics to facilitate transcription elongation and prevent cryptic transcriptional initiation (5). In addition, H3K36Me3 acts to recruit RNA-splicing proteins and regulate proper splicing of introns concurrent with transcriptional elongation (3, 6-9). In addition to regulating transcription, SETD2-dependent H3K36Me3 regulates DNA mismatch repair by recruiting MutSα (MSH2 and MSH6) to chromatin during G1 and early S phase (10). Loss of SETD2 results in an increase in microsatellite instability and elevated levels of spontaneous mutations (10). SETD2 is often mutated and/or inactivated in multiple types of cancer, including renal cell carcinoma, leukemia, melanoma and liver cancer (11-13).

    Alternate Names

    FLJ16420; FLJ22472; FLJ23184; FLJ45883; FLJ46217; HBP231; HIF-1; HIF1; HIP-1; Histone-lysine N-methyltransferase SETD2; hSET2; HSPC069; huntingtin interacting protein 1; Huntingtin yeast partner B; Huntingtin-interacting protein 1; Huntingtin-interacting protein B; HYPB; KIAA1732; KMT3A; LLS; Lysine N-methyltransferase 3A; p231HBP; Protein-lysine N-methyltransferase SETD2; SET domain containing 2; SET domain containing 2, histone lysine methyltransferase; SET domain-containing protein 2; SET2; SETD2

    For Research Use Only. Not for Use in Diagnostic Procedures.
    Cell Signaling Technology is a trademark of Cell Signaling Technology, Inc.
    SimpleChIP is a registered trademark of Cell Signaling Technology, Inc.
    All other trademarks are the property of their respective owners. Visit our Trademark Information page.