Cell Signaling Technology Logo - Extra Large
Trial Size Available Flag
Recombinant Flag
Recombinant: Superior lot-to-lot consistency, continuous supply, and animal-free manufacturing.

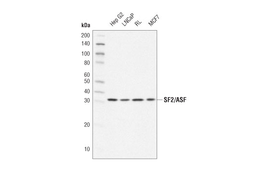
SF2/ASF (D1N3S) Rabbit Monoclonal Antibody #14902

Filter:
  • WB

    Product Specifications

    REACTIVITY H M R Mk
    SENSITIVITY Endogenous
    MW (kDa) 33
    Source/Isotype Rabbit IgG
    Application Key:
    • WB-Western Blotting 
    Species Cross-Reactivity Key:
    • H-Human 
    • M-Mouse 
    • R-Rat 
    • Mk-Monkey 

    Product Information

    Product Usage Information

    Application Dilution
    Western Blotting 1:1000

    Storage

    Supplied in 10 mM sodium HEPES (pH 7.5), 150 mM NaCl, 100 µg/ml BSA, 50% glycerol and less than 0.02% sodium azide. Store at –20°C. Do not aliquot the antibody.

    Protocol

    Specificity / Sensitivity

    SF2/ASF (D1N3S) Rabbit Monoclonal Antibody recognizes endogenous levels of total SF2/ASF protein.

    Species Reactivity:

    Human, Mouse, Rat, Monkey

    Source / Purification

    Monoclonal antibody is produced by immunizing animals with a synthetic peptide corresponding to residues surrounding Val172 of human SF2/ASF protein.

    Background

    SF2/ASF is a member of the Ser-Arg-rich (SR) protein family of highly conserved nuclear phosphoproteins involved in pre-mRNA splicing (1). Besides its role in nuclear pre-mRNA splicing, SF2/ASF has been shown to shuttle between the nucleus and cytoplasm, suggesting additional roles in mRNA transport and cytoplasmic events (2). SF2/ASF associates with translating ribosomes and stimulates translation (3). It also activates translation initiation by suppressing the activity of 4E-BP1, which is mediated by SF2/ASF association with mTOR and the phosphatase PP2A (4). More recent studies have demonstrated a role for SF2/ASF in microRNA processing (5).

    Alternate Names

    Alternative-splicing factor 1; ASF; ASF-1; MGC5228; pre-mRNA-splicing factor SF2, P33 subunit; serine and arginine rich splicing factor 1; Serine/arginine-rich splicing factor 1; SF2; SF2P33; SFRS1; splicing factor 2; Splicing factor, arginine/serine-rich 1; splicing factor, arginine/serine-rich, 30-KD, A; SR splicing factor 1; SRp30a; SRSF1

    For Research Use Only. Not for Use in Diagnostic Procedures.
    Cell Signaling Technology is a trademark of Cell Signaling Technology, Inc.
    All other trademarks are the property of their respective owners. Visit our Trademark Information page.