Cell Signaling Technology Logo - Extra Large
Trial Size Available Flag
Recombinant Flag
Recombinant: Superior lot-to-lot consistency, continuous supply, and animal-free manufacturing.

Siglec-10 (D4E3Z) Rabbit Monoclonal Antibody #41262

Filter:
  • WB
  • IP

    Product Specifications

    REACTIVITY M
    SENSITIVITY Endogenous
    MW (kDa) 92, 100-105
    Source/Isotype Rabbit IgG
    Application Key:
    • WB-Western Blotting 
    • IP-Immunoprecipitation 
    Species Cross-Reactivity Key:
    • M-Mouse 

    Product Information

    Product Usage Information

    Application Dilution
    Western Blotting 1:1000
    Immunoprecipitation 1:50

    Storage

    Supplied in 10 mM sodium HEPES (pH 7.5), 150 mM NaCl, 100 µg/ml BSA, 50% glycerol and less than 0.02% sodium azide. Store at –20°C. Do not aliquot the antibody.

    Protocol

    Specificity / Sensitivity

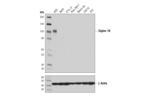
    Siglec-10 (D4E3Z) Rabbit Monoclonal Antibody recognizes endogenous levels of total Siglec-10 protein.

    Species Reactivity:

    Mouse

    Source / Purification

    Monoclonal antibody is produced by immunizing animals with a synthetic peptide corresponding to residues surrounding Pro250 of mouse Siglec-10 protein.

    Background

    Siglec-10 is a sialic acid-binding Ig-like lectin that has been shown to negatively regulate innate and adaptive immune system function (1). Siglec-10 is a type 1 transmembrane protein that has four extracellular Ig-like domains, a transmembrane region, and a cytoplasmic tail with two immunoreceptor tyrosine-based inhibitory motifs (ITIMs) (2). Siglec-10 is expressed in dendritic cells (DCs), monocytes, B cells, NK cells, and T cells (2,3). Siglec-10 interacts with CD24 to suppress immune responses to danger associated molecular patterns (DAMPs) by associating with the tyrosine phosphatase SHP-1, a negative regulator of nuclear factor-kappa B (NF-κB) (4). Siglec-10 has been shown to bind soluble CD52 leading to the impairment of phosphorylation of the T cell receptor–associated kinases Lck and Zap70 and T cell activation (3). It has been proposed that this mechanism of suppression could be involved in T cell homeostasis and the prevention of type I diabetes (3). Siglec-10 has also been identified as the leukocyte ligand for vascular adhesion protein-1 (VAP-1), which plays a key role in leukocyte trafficking (5). Lectin galactoside-binding soluble 3 binding protein (LGALS3BP), a tumor-associated immunomodulatory ligand, has also been shown to bind Siglec-10 (6).

    Alternate Names

    9830164H23; A630096C01Rik; mSigle; mSiglec-G; sialic acid binding Ig-like lectin 10; sialic acid binding Ig-like lectin G; Sialic acid-binding Ig-like lectin 10; Sialic acid-binding Ig-like lectin G; SIG10; Siglec-10; Siglec-G; Siglec10; Siglecg

    For Research Use Only. Not for Use in Diagnostic Procedures.
    Cell Signaling Technology is a trademark of Cell Signaling Technology, Inc.
    Alexa Fluor is a registered trademark of Life Technologies Corporation.
    All other trademarks are the property of their respective owners. Visit our Trademark Information page.