Cell Signaling Technology Logo - Extra Large
Trial Size Available Flag
Recombinant Flag
Recombinant: Superior lot-to-lot consistency, continuous supply, and animal-free manufacturing.

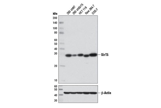
SirT5 (D5E11) Rabbit Monoclonal Antibody #8779

Filter:
  • WB

    Product Specifications

    REACTIVITY H M Mk
    SENSITIVITY Endogenous
    MW (kDa) 30
    Source/Isotype Rabbit IgG
    Application Key:
    • WB-Western Blotting 
    Species Cross-Reactivity Key:
    • H-Human 
    • M-Mouse 
    • Mk-Monkey 

    Product Information

    Product Usage Information

    Application Dilution
    Western Blotting 1:1000

    Storage

    Supplied in 10 mM sodium HEPES (pH 7.5), 150 mM NaCl, 100 µg/ml BSA, 50% glycerol and less than 0.02% sodium azide. Store at –20°C. Do not aliquot the antibody.

    Protocol

    Specificity / Sensitivity

    SirT5 (D5E11) Rabbit Monoclonal Antibody recognizes endogenous levels of total SirT5 protein. This antibody does not cross-react with other sirtuin proteins.

    Species Reactivity:

    Human, Mouse, Monkey

    Source / Purification

    Monoclonal antibody is produced by immunizing animals with a recombinant protein specific to the full-length human SirT5 protein.

    Background

    The Silent Information Regulator (SIR2) family of genes is a highly conserved group of genes that encode nicotinamide adenine dinucleotide (NAD)-dependent protein deacetylases, also known as Class III histone deacetylases. The first discovered and best characterized of these genes is Saccharomyces cerevisiae Sir2, which is involved in silencing of mating type loci, telomere maintenance, DNA damage response, and cell aging (1). SirT5, a mammalian homolog of Sir2, is localized to the mitochondria and has been implicated in the regulation of cell metabolism (2,3). SirT5 deacetylates carbamoyl phosphate synthetase 1 (CPS1) in the mitochondrial matrix and increases its activity in response to fasting, allowing for adaptation to increased amino acid catabolism (4). SirT5 has also been shown to deacetylate cytochrome c in the mitochondrial intermembrane space (5). In addition to its deacetylase activity, SirT5 contains lysine desuccinylase and demalonylase activity (6,7). Succinyl-lysine and malonyl-lysine modifications occur in a variety of organisms and these post-translational modifications are found on many metabolic enzymes (6-8). Like phosphorylation of serine, threonine, and tyrosine residues, lysine succinylation and malonylation induces a change of two negative charges from a +1 to a -1 charge at physiological pH, and are thought to serve similar functions in the regulation of protein activity, protein-protein interactions, and protein stability. SirT5 knockout mice show increased levels of succinyl-lysine and malonyl-lysine protein modifications in the liver, including increased succinylation of CPS1, a known target of SirT5, suggesting that SirT5 functions to regulate metabolic enzymes through its deacetylase, desuccinylase, and demalonylase activities (6,7).

    Alternate Names

    FLJ36950; NAD-dependent deacetylase sirtuin-5; NAD-dependent lysine demalonylase and desuccinylase sirtuin-5, mitochondrial; NAD-dependent protein deacylase sirtuin-5, mitochondrial; Regulatory protein SIR2 homolog 5; silent mating type information regulation 2, S.cerevisiae, homolog 5; sir2-like 5; SIR2-like protein 5; SIR2L5; SIR5; SIRT5; sirtuin (silent mating type information regulation 2 homolog) 5 (S. cerevisiae); sirtuin 5; sirtuin type 5

    For Research Use Only. Not for Use in Diagnostic Procedures.
    Cell Signaling Technology is a trademark of Cell Signaling Technology, Inc.
    All other trademarks are the property of their respective owners. Visit our Trademark Information page.