Skp2 Antibody #4358
- WB
- IF
Product Specifications
| REACTIVITY | H Mk |
| SENSITIVITY | Endogenous |
| MW (kDa) | 48 |
| SOURCE | Rabbit |
Application Key:
- WB-Western Blotting
- IF-Immunofluorescence
Species Cross-Reactivity Key:
- H-Human
- Mk-Monkey
Product Information
Product Usage Information
| Application | Dilution |
|---|---|
| Western Blotting | 1:1000 |
| Immunofluorescence (Immunocytochemistry) | 1:50 |
Storage
Protocol
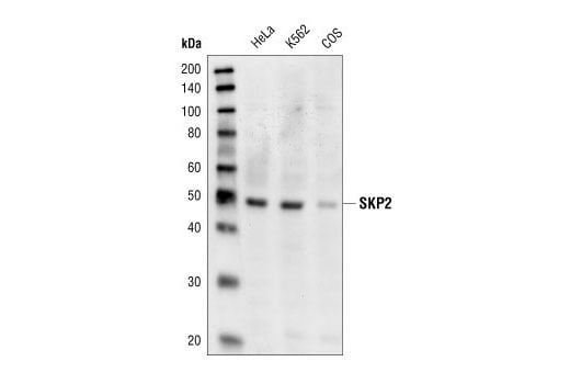
Specificity / Sensitivity
Species Reactivity:
Source / Purification
Background
Skp2 (S phase kinase-associated protein 2) interacts with cyclin A/CDK2 and mediates proper G1 to S and G2 to M phase transitions by targeting the cyclin-dependent kinase (CDK) inhibitors p27, p21, p130 and the FOXO1 transcription factor for ubiquitylation and subsequent proteolysis (3,4,5,6). Skp2 protein expression is low in G0 and early G1 phase, increases during late G1 phase, and peaks during S and G2 phases. Inactivation of Skp2 results in S/G2-phase arrested cells with endoduplication and multiple centrosomes (4). Overexpression of Skp2 results in increased CDK activity and contributes to the deregulated proliferation and genetic instabilities typical of cancer cells (7). Increased Skp2/decreased p27 levels are associated with many aggressive lymphomas and human carcinomas such as colon, breast, prostate and lung cancers (7).
- Pagano, M. (2004) Mol Cell 14, 414-6.
- Reed, S.I. (2003) Nat Rev Mol Cell Biol 4, 855-64.
- Zhang, H. et al. (1995) Cell 82, 915-925.
- Nakayama, K. et al. (2004) Dev. Cell 6(5) , 661-672.
- Bornstein, G. et al. (2003) J. Biol. Chem. 278(28) , 25752-25757.
- Tedesco, D. et al. (2002) Genes Dev. 16(22) , 2946-2957.
- Bloom, J. and Pagano, M. (2003) Semin. Cancer Biol. 13(1) , 41-47.
Alternate Names
CDK2/cyclin A-associated protein p45; cyclin A/CDK2-associated protein p45; Cyclin-A/CDK2-associated protein p45; F-box protein Skp2; F-box/LRR-repeat protein 1; FBL1; FBXL1; FLB1; MGC1366; p45; p45skp2; S-phase kinase associated protein 2; S-phase kinase-associated protein 2; S-phase kinase-associated protein 2 (p45); S-phase kinase-associated protein 2, E3 ubiquitin protein ligase; SKP2
Limited Uses
Except as otherwise expressly agreed in a writing signed by a legally authorized representative of CST, the following terms apply to Products provided by CST, its affiliates or its distributors. Any Customer's terms and conditions that are in addition to, or different from, those contained herein, unless separately accepted in writing by a legally authorized representative of CST, are rejected and are of no force or effect.
Products are labeled with For Research Use Only or a similar labeling statement and have not been approved, cleared, or licensed by the FDA or other regulatory foreign or domestic entity, for any purpose. Customer shall not use any Product for any diagnostic or therapeutic purpose, or otherwise in any manner that conflicts with its labeling statement. Products sold or licensed by CST are provided for Customer as the end-user and solely for research and development uses. Any use of Product for diagnostic, prophylactic or therapeutic purposes, or any purchase of Product for resale (alone or as a component) or other commercial purpose, requires a separate license from CST. Customer shall (a) not sell, license, loan, donate or otherwise transfer or make available any Product to any third party, whether alone or in combination with other materials, or use the Products to manufacture any commercial products, (b) not copy, modify, reverse engineer, decompile, disassemble or otherwise attempt to discover the underlying structure or technology of the Products, or use the Products for the purpose of developing any products or services that would compete with CST products or services, (c) not alter or remove from the Products any trademarks, trade names, logos, patent or copyright notices or markings, (d) use the Products solely in accordance with CST Product Terms of Sale and any applicable documentation, and (e) comply with any license, terms of service or similar agreement with respect to any third party products or services used by Customer in connection with the Products.