Cell Signaling Technology Logo - Extra Large
Trial Size Available Flag
Recombinant Flag
Recombinant: Superior lot-to-lot consistency, continuous supply, and animal-free manufacturing.

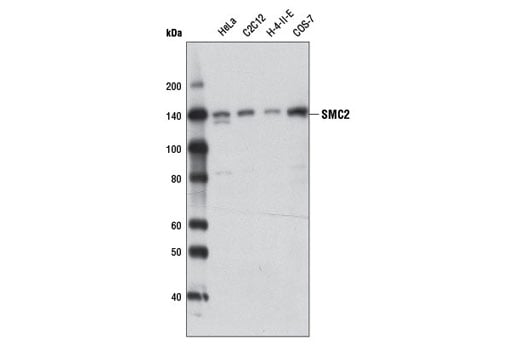
SMC2 (D11F9) Rabbit Monoclonal Antibody #8720

Filter:
  • WB
  • IP

    Product Specifications

    REACTIVITY H M R Mk
    SENSITIVITY Endogenous
    MW (kDa) 140
    Source/Isotype Rabbit IgG
    Application Key:
    • WB-Western Blotting 
    • IP-Immunoprecipitation 
    Species Cross-Reactivity Key:
    • H-Human 
    • M-Mouse 
    • R-Rat 
    • Mk-Monkey 

    Product Information

    Product Usage Information

    Application Dilution
    Western Blotting 1:1000
    Immunoprecipitation 1:100

    Storage

    Supplied in 10 mM sodium HEPES (pH 7.5), 150 mM NaCl, 100 µg/ml BSA, 50% glycerol and less than 0.02% sodium azide. Store at –20°C. Do not aliquot the antibody.

    Protocol

    Specificity / Sensitivity

    SMC2 (D11F9) Rabbit Monoclonal Antibody recognizes endogenous levels of total SMC2 protein. This antibody does not cross-react with other SMC proteins, including SMC1, SMC3, and SMC4.

    Species Reactivity:

    Human, Mouse, Rat, Monkey

    The antigen sequence used to produce this antibody shares 100% sequence homology with the species listed here, but reactivity has not been tested or confirmed to work by CST. Use of this product with these species is not covered under our Product Performance Guarantee.

    Species predicted to react based on 100% sequence homology:

    Pig, Horse

    Source / Purification

    Monoclonal antibody is produced by immunizing animals with a synthetic peptide corresponding to residues near the amino terminus of human SMC2 protein.

    Background

    Structural maintenance of chromosomes 2 (SMC2) and 4 (SMC4) proteins are subunits of the condensin complex, which enables chromosome condensation and maintains the compaction of chromosomes as they separate to opposite poles during anaphase (1-3). In addition to regulating chromosome condensation, condensin is a general regulator of chromosome architecture and may function to regulate gene expression and DNA repair. SMC proteins contain a hallmark bipartite ATPase domain of the ABC ATPase superfamily, which consists of an N-terminal Walker A motif nucleotide-binding domain and C-terminal Walker B motif catalytic domain that interact to form a functional ATPase (1-3). The two ATPase domains are connected by two coiled coil domains separated by a central hinge region that facilitates protein-protein interactions between partnering SMC proteins. In the case of the condensin complex, SMC2 and SMC4 interact to form a functional ATPase required for chromatin condensation; however, the mechanism by which this ATPase activity regulates chromsome architecture is still being determined. In addition to SMC proteins, condensin contains three auxiliary subunits, which function to regulate condensin ATPase activity. Higher eukaryotes contain two distinct condensin complexes (condensin I and II), both of which contain SMC2 and SMC4 (1-3). Condensin I also contains the auxiliary subunits CAP-D2, CAP-G and CAP-H, while condensin II contains the related auxiliary proteins CAP-D3, CAP-G2 and CAP-H2. The two condensin complexes show different localization patterns during the cell cycle and on chromosomes and both are required for successful mitosis, suggesting distinct functions for each complex (1-3).

    Alternate Names

    CAP-E; CAPE; Chromosome-associated protein E; FLJ10093; hCAP-E; SMC protein 2; SMC-2; SMC2; SMC2 (structural maintenance of chromosomes 2, yeast)-like 1; SMC2 structural maintenance of chromosomes 2-like 1; SMC2L1; structural maintenance of chromosomes (SMC) family member, chromosome-associated protein E; structural maintenance of chromosomes 2; Structural maintenance of chromosomes protein 2; XCAP-E homolog

    For Research Use Only. Not for Use in Diagnostic Procedures.
    Cell Signaling Technology is a trademark of Cell Signaling Technology, Inc.
    All other trademarks are the property of their respective owners. Visit our Trademark Information page.