Cell Signaling Technology Logo - Extra Large
Trial Size Available Flag
Recombinant Flag
Recombinant: Superior lot-to-lot consistency, continuous supply, and animal-free manufacturing.

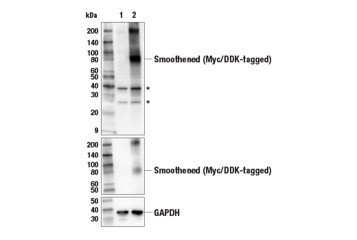
Smoothened (E6Z5T) Rabbit Monoclonal Antibody #92981

Filter:
  • WB
  • IP

    Product Specifications

    REACTIVITY H
    SENSITIVITY Transfected Only
    MW (kDa) 85
    Source/Isotype Rabbit IgG
    Application Key:
    • WB-Western Blotting 
    • IP-Immunoprecipitation 
    Species Cross-Reactivity Key:
    • H-Human 

    Product Information

    Product Usage Information

    Application Dilution
    Western Blotting 1:1000
    Immunoprecipitation 1:200

    Storage

    Supplied in 10 mM sodium HEPES (pH 7.5), 150 mM NaCl, 100 µg/ml BSA, 50% glycerol and less than 0.02% sodium azide. Store at –20°C. Do not aliquot the antibody.

    Protocol

    Specificity / Sensitivity

    Smoothened (E6Z5T) Rabbit Monoclonal Antibody recognizes transfected levels of total Smoothened protein.

    Species Reactivity:

    Human

    Source / Purification

    Monoclonal antibody is produced by immunizing animals with recombinant protein specific to human Smoothened protein.

    Background

    Smoothened is a 7-pass transmembrane G protein-coupled receptor that functions as a key transmembrane transducer of Hedgehog signaling (1). The primary function of Smoothened is to regulate the activity of GLI-family transcription factors (GLI1-3). In the canonical (mammalian) Hedgehog signaling pathway, Smoothened activity is constitutively repressed by the 12-pass transmembrane receptor Patched (PTCH1). PTCH1 represses Smoothened activity by controlling the availability of cholesterol, which serves as a second messenger agonist for Smoothened (2). This repression results in the association of GLI proteins with the STK36/SUFU protein complex, promoting GLI protein cleavage and nuclear translocation of “repressor” GLI protein fragments that suppress target gene transcription (1). Binding of Hedgehog ligands inactivates the PTCH1 receptor, resulting in the derepression of Smoothened. Active Smoothened promotes the release of GLI proteins from the STK36/SUFU protein complex, enabling cytoplasmic-to-nuclear translocation of full-length GLI proteins that activate target gene expression. The Hedgehog signaling pathway regulates cell fate, embryonic patterning, and postnatal tissue repair, but is generally quiescent in healthy postnatal tissues. However, research studies have shown that ectopic activation of the pathway (e.g., through aberrant Smoothened activity) can be oncogenic, making Smoothened and other components of the Hedgehog signaling pathway attractive targets for therapeutic intervention in some cancer types (3-5).

    Alternate Names

    CRJS; frizzled family member 11; FZD11; Gx; PHLS; Protein Gx; Protein smoothened; seven transmembrane helix receptor; SMO; SMOH; Smoothened homolog; smoothened homolog (Drosophila); smoothened, frizzled class receptor; smoothened, frizzled family receptor; smoothened, seven transmembrane spanning receptor

    For Research Use Only. Not for Use in Diagnostic Procedures.
    Cell Signaling Technology is a trademark of Cell Signaling Technology, Inc.
    All other trademarks are the property of their respective owners. Visit our Trademark Information page.