Cell Signaling Technology Logo - Extra Large
Recombinant Flag
Recombinant: Superior lot-to-lot consistency, continuous supply, and animal-free manufacturing.

SOD1 (E4G1H) Rabbit Monoclonal Antibody (BSA and Azide Free) #65778

Filter:
  • WB
  • IHC

    Product Specifications

    REACTIVITY H M R
    SENSITIVITY Endogenous
    MW (kDa) 16-18
    Source/Isotype Rabbit IgG
    Application Key:
    • WB-Western Blotting 
    • IHC-Immunohistochemistry 
    Species Cross-Reactivity Key:
    • H-Human 
    • M-Mouse 
    • R-Rat 

    Product Information

    Product Usage Information

    This product is the carrier-free version of product #37385. All data were generated using the same antibody clone in the standard formulation which contains BSA and glycerol.

    This formulation is ideal for use with technologies requiring specialized or custom antibody labeling, including fluorophores, metals, lanthanides, and oligonucleotides. It is not recommended for ChIP, ChIP-seq, CUT&RUN, or CUT&Tag assays. If you require a carrier-free formulation for chromatin profiling, please contact us. Optimal dilutions/concentrations should be determined by the end user.

    BSA and Azide Free antibodies are quality control tested by size exclusion chromatography (SEC) to determine antibody integrity.

    Formulation

    Supplied in 1X PBS (10 mM Na2HPO4, 3 mM KCl, 2 mM KH2PO4, and 140 mM NaCl (pH 7.8)). BSA and Azide Free.

    For standard formulation of this product see product #www.cellsignal.com/products/primary-antibodies/sod1-e4g1h-xp-rabbit-mab/37385?_=1657551366122&Ntt=37385&tahead=true">37385.

    Storage

    Store at -20°C. This product will freeze at -20°C so it is recommended to aliquot into single-use vials to avoid multiple freeze/thaw cycles. A slight precipitate may be present and can be dissolved by gently vortexing. This will not interfere with antibody performance.

    Specificity / Sensitivity

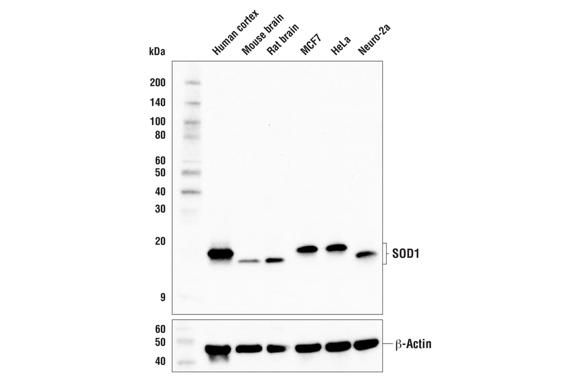
    SOD1 (E4G1H) Rabbit Monoclonal Antibody (BSA and Azide Free) recognizes endogenous levels of total SOD1 protein.

    Species Reactivity:

    Human, Mouse, Rat

    Source / Purification

    Monoclonal antibody is produced by immunizing animals with a synthetic peptide corresponding to residues near the amino terminus of human SOD1 protein.

    Background

    SOD1, Cu/Zn superoxide dismutase, is a major antioxidant enzyme that catalyzes the conversion of superoxide anion to hydrogen peroxide and molecular oxygen (1). SOD1 is ubiquitously expressed and is localized in the cytosol, nucleus, and mitochondrial intermembrane space. The SOD1 gene locus is on chromosome 21 in a region affected in Down Syndrome (2). In addition, over 100 distinct SOD1 inherited mutations have been identified in the familial form of amyotrophic lateral sclerosis (ALS), a progressive degenerative disease of motor neurons (3-5). Despite the fact that SOD1 helps to eliminate toxic reactive species, its mutations in ALS have been described as gain-of-function (5). The mechanism by which mutant SOD1 induces the neurodegeneration observed in ALS is still unclear. Mutant SOD1 proteins become misfolded and consequently oligomerize into high molecular weight species that aggregate and end up in proteinaceous inclusions (5).

    Alternate Names

    ALS; ALS1; Cu/Zn superoxide dismutase; epididymis secretory protein Li 44; HEL-S-44; homodimer; hSod1; indophenoloxidase A; IPOA; SOD; SOD, soluble; SOD1; SODC; STAHP; superoxide dismutase; Superoxide dismutase [Cu-Zn]; Superoxide dismutase 1; superoxide dismutase 1, soluble; superoxide dismutase, cystolic

    For Research Use Only. Not for Use in Diagnostic Procedures.
    Cell Signaling Technology is a trademark of Cell Signaling Technology, Inc.
    All other trademarks are the property of their respective owners. Visit our Trademark Information page.