Render Target: STATIC
Render Timestamp:
5/21/2026, 6:14:57 AM EDT
5/21/2026, 10:14:57 AM UTC
Commit: 7ed46ecc04b401f23a28df741b5078df405d23e4
XML generation date: 2025-11-12 16:13:41.567
Product last modified at: 2026-03-20T08:04:08.755Z
Cell Signaling Technology Logo - Extra Large
1% for the planet logo
PDP - Template Name: Monoclonal Antibody
PDP - Template ID: *******c5e4b77
Recombinant Flag
Recombinant: Superior lot-to-lot consistency, continuous supply, and animal-free manufacturing.

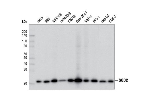
SOD2 (D3X8F) Rabbit Monoclonal Antibody (BSA and Azide Free) #30204

Filter:
  • WB
  • IHC

    Product Specifications

    REACTIVITY H M R Mk
    SENSITIVITY Endogenous
    MW (kDa) 22
    Source/Isotype Rabbit IgG
    Application Key:
    • WB-Western Blotting 
    • IHC-Immunohistochemistry 
    Species Cross-Reactivity Key:
    • H-Human 
    • M-Mouse 
    • R-Rat 
    • Mk-Monkey 

    Product Information

    Product Usage Information

    This product is the carrier free version of product #13141. All data were generated using the same antibody clone in the standard formulation which contains BSA and glycerol.

    This formulation is ideal for use with technologies requiring specialized or custom antibody labeling, including fluorophores, metals, lanthanides, and oligonucleotides. It is not recommended for ChIP, ChIP-seq, CUT&RUN or CUT&Tag assays. If you require a carrier free formulation for chromatin profiling, please contact us. Optimal dilutions/concentrations should be determined by the end user.

    BSA and Azide Free antibodies are quality control tested by size exclusion chromatography (SEC) to determine antibody integrity.

    Formulation

    Supplied in 1X PBS (10 mM Na2HPO4, 3 mM KCl, 2 mM KH2PO4, and 140 mM NaCl (pH 7.8)). BSA and Azide Free.

    For standard formulation of this product see product #13141

    Storage

    Store at -20°C. This product will freeze at -20°C so it is recommended to aliquot into single-use vials to avoid multiple freeze/thaw cycles. A slight precipitate may be present and can be dissolved by gently vortexing. This will not interfere with antibody performance.

    Specificity / Sensitivity

    SOD2 (D3X8F) Rabbit Monoclonal Antibody (BSA and Azide Free) recognizes endogenous levels of total SOD2 protein.

    Species Reactivity:

    Human, Mouse, Rat, Monkey

    Source / Purification

    Monoclonal antibody is produced by immunizing animals with a synthetic peptide corresponding to residues near the amino terminus of human SOD2 protein.

    Background

    Manganese superoxide dismutase (MnSOD or SOD2) is a mitochondrial detoxification enzyme that catalyzes the conversion of superoxide to hydrogen peroxide (1,2). Hydrogen peroxide is then decomposed to water by catalase, glutathione peroxidase, or peroxiredoxins (2). MnSOD/SOD2 and other enzymes involved in antioxidant defense protect cells from reactive oxygen species (ROS) (2). Calorie restriction leads to SIRT3-mediated deacetylation of MnSOD/SOD2 and the subsequent increase of its antioxidant activity (3). MnSOD/SOD2 also plays an essential role in mediating the protective effect of mTOR inhibition to reduce epithelial stem cell senescence (4).

    Alternate Names

    epididymis secretory sperm binding protein; gastric cancer-associated lncRNA 1; GClnc1; indophenoloxidase B; IPO-B; IPOB; manganese-containing superoxide dismutase; mangano-superoxide dismutase; Mn superoxide dismutase; Mn-SOD; MNSOD; MVCD6; SOD2; SODM; Superoxide dismutase [Mn], mitochondrial; superoxide dismutase 2; superoxide dismutase 2, mitochondrial

    For Research Use Only. Not for Use in Diagnostic Procedures.
    Cell Signaling Technology is a trademark of Cell Signaling Technology, Inc.
    SignalStain is a registered trademark of Cell Signaling Technology, Inc.
    All other trademarks are the property of their respective owners. Visit our Trademark Information page.