Cell Signaling Technology Logo - Extra Large
Recombinant Flag
Recombinant: Superior lot-to-lot consistency, continuous supply, and animal-free manufacturing.

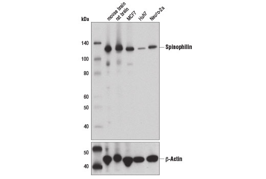
Spinophilin (E1E7R) Rabbit Monoclonal Antibody (BSA and Azide Free) #45071

Filter:
  • WB
  • IHC
  • IF

    Product Specifications

    REACTIVITY H M R
    SENSITIVITY Endogenous
    MW (kDa) 130
    Source/Isotype Rabbit IgG
    Application Key:
    • WB-Western Blotting 
    • IHC-Immunohistochemistry 
    • IF-Immunofluorescence 
    Species Cross-Reactivity Key:
    • H-Human 
    • M-Mouse 
    • R-Rat 

    Product Information

    Product Usage Information

    This product is the carrier free version of product #14136. All data were generated using the same antibody clone in the standard formulation which contains BSA and glycerol.

    This formulation is ideal for use with technologies requiring specialized or custom antibody labeling, including fluorophores, metals, lanthanides, and oligonucleotides. It is not recommended for ChIP, ChIP-seq, CUT&RUN or CUT&Tag assays. If you require a carrier free formulation for chromatin profiling, please contact us. Optimal dilutions/concentrations should be determined by the end user.

    BSA and Azide Free antibodies are quality control tested by size exclusion chromatography (SEC) to determine antibody integrity.

    Formulation

    Supplied in 1X PBS (10 mM Na2HPO4, 3 mM KCl, 2 mM KH2PO4, and 140 mM NaCl (pH 7.8)). BSA and Azide Free.

    For standard formulation of this product see product #14136

    Storage

    Store at -20°C. This product will freeze at -20°C so it is recommended to aliquot into single-use vials to avoid multiple freeze/thaw cycles. A slight precipitate may be present and can be dissolved by gently vortexing. This will not interfere with antibody performance.

    Specificity / Sensitivity

    Spinophilin (E1E7R) Rabbit Monoclonal Antibody (BSA and Azide Free) recognizes endogenous levels of total spinophilin protein.

    Species Reactivity:

    Human, Mouse, Rat

    Source / Purification

    Monoclonal antibody is produced by immunizing animals with a synthetic peptide corresponding to residues surrounding Pro298 of human spinophilin protein.

    Background

    Spinophilin is an 815 amino acid protein composed of a PDZ domain, 2 actin-binding domains, a receptor- and PP1-binding domain, three coiled-coiled domains, a potential leucine/isoleucine zipper motif, and three potential SH3 domains (1). Spinophilin interacts with a large number of proteins including ion channel components and G protein-coupled receptors (GPCRs). Spinophilin also interacts with actin filaments; phosphorylation of spinophilin at Ser94 and Ser177 disrupts this interaction (2). Spinophilin has been shown to affect GPCR function through two different mechanisms: spinophilin acts as a functional inhibitor of α-2 adrenergic receptor-mediated arrestin signaling by competing with GRK2 binding to the adrenergic receptor (3) and spinophilin facilitates μ-opioid receptor desensitization by promoting receptor endocytosis (4).

    Alternate Names

    FLJ30345; NEB2; neurabin II; Neurabin-2; Neurabin-II; PPP1R6; PPP1R9; PPP1R9B; Protein phosphatase 1 regulatory subunit 9B; protein phosphatase 1, regulatory (inhibitor) subunit 9B; protein phosphatase 1, regulatory subunit 9B; protein phosphatase 1, regulatory subunit 9B, spinophilin; SPINO; Spinophilin; SPL; Spn

    For Research Use Only. Not for Use in Diagnostic Procedures.
    Cell Signaling Technology is a trademark of Cell Signaling Technology, Inc.
    SignalStain is a registered trademark of Cell Signaling Technology, Inc.
    All other trademarks are the property of their respective owners. Visit our Trademark Information page.