Cell Signaling Technology Logo - Extra Large
Recombinant Flag
Recombinant: Superior lot-to-lot consistency, continuous supply, and animal-free manufacturing.

Stathmin-2 (E1D2M) Rabbit Monoclonal Antibody (BSA and Azide Free) #86508

Filter:
  • WB
  • ELISA+

    Product Specifications

    REACTIVITY H M R
    SENSITIVITY Endogenous
    MW (kDa) 21, 23
    Source/Isotype Rabbit IgG
    Application Key:
    • WB-Western Blotting 
    • ELISA+-ELISA and/or ELISA-like Assays 
    Species Cross-Reactivity Key:
    • H-Human 
    • M-Mouse 
    • R-Rat 

    Product Information

    Product Usage Information

    This product is the carrier free version of product #38752. All data were generated using the same antibody clone in the standard formulation which contains BSA and glycerol.

    This formulation is ideal for use with technologies requiring specialized or custom antibody labeling, including fluorophores, metals, lanthanides, and oligonucleotides. It is not recommended for ChIP, ChIP-seq, CUT&RUN or CUT&Tag assays. If you require a carrier free formulation for chromatin profiling, please contact us. Optimal dilutions/concentrations should be determined by the end user.

    BSA and Azide Free antibodies are quality control tested by size exclusion chromatography (SEC) to determine antibody integrity.

    Formulation

    Supplied in 1X PBS (10 mM Na2HPO4, 3 mM KCl, 2 mM KH2PO4, and 140 mM NaCl (pH 7.8)). BSA and Azide Free.

    For standard formulation of this product see product #38752.

    Storage

    Store at -20°C. This product will freeze at -20°C so it is recommended to aliquot into single-use vials to avoid multiple freeze/thaw cycles. A slight precipitate may be present and can be dissolved by gently vortexing. This will not interfere with antibody performance.

    Specificity / Sensitivity

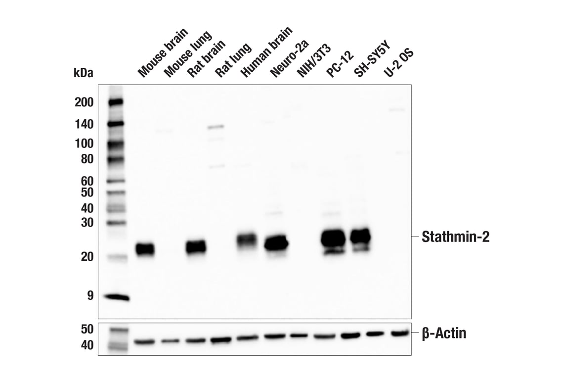
    Stathmin-2 (E1D2M) Rabbit Monoclonal Antibody (BSA and Azide Free) recognizes endogenous levels of total stathmin-2 protein.

    Species Reactivity:

    Human, Mouse, Rat

    Source / Purification

    Monoclonal antibody is produced by immunizing animals with recombinant protein specific to the amino terminus of human stathmin-2 protein.

    Background

    Stathmin is a family of microtubule-destabilizing phosphoproteins that play an important role in regulation of the microtubule cytoskeleton (1). The amino terminus of the protein contains multiple phosphorylation sites and is involved in the promotion of tubulin filament depolymerization. Phosphorylation at these sites inactivates the protein and stabilizes microtubules, regulating cellular processes, such as cell cycle and neuronal axon development (2). Stathmin family members include stathmin, stathmin-2, stathmin-3, and stathmin-4. Interestingly, stathmin-2 protein levels correlate with decreased TDP43 expression, an mRNA-binding protein that mislocalizes and aggregates in patients with the motor neuron disease, amyotrophic lateral sclerosis (ALS) (3). Interestingly, TDP43 directly regulates stathmin-2 expression by regulating STMN2 RNA splicing, suggesting that altered stathmin-2 expression might serve as a biomarker for disease progression or a therapeutic target.

    Alternate Names

    neuron-specific growth-associated protein; neuronal growth-associated protein (silencer element); Protein SCG10; SCG10; SCGN10; SGC10; stathmin 2; Stathmin-2; stathmin-like 2; STMN2; superior cervical ganglia, neural specific 10; Superior cervical ganglion-10 protein

    For Research Use Only. Not for Use in Diagnostic Procedures.
    Cell Signaling Technology is a trademark of Cell Signaling Technology, Inc.
    All other trademarks are the property of their respective owners. Visit our Trademark Information page.